Review Report

Cryptorchidism in stallions

Eduardo Arroyo,a and Ahmed Tibarya,b

aComparative Theriogenology, Department of Veterinary Clinical Sciences, College of Veterinary Medicine, Washington State University, Pullman, WA, USA
bCenter for Reproductive Biology, Washington State University, Pullman, WA, USA

Abstract

Cryptorchidism is the most common disorder of sexual development in the male. The etiopathogenesis of cryptorchidism remains poorly understood and may involve genetic and environmental factors. The condition is obvious in horses with a good history, but diagnosis of cryptorchidism can be challenging in an apparently gelded horse presenting with stallion-like behavior and hemicastrated horses. Determination of the location of the retained testis is important for the selection of the surgical approach for cryptorchidectomy. The objective of this paper is to review current knowledge regarding pathogenesis of cryptorchidism in the equine, and methods for diagnosis including ultrasonographic determination of the location of the retained testis. A discussion of cryptorchidectomy approaches and possible complications is presented.

Keywords: Equine, testis, sexual disorders, cryptorchid, male

Citation: Clinical Theriogenology 2023, 15, 9648, http://dx.doi.org/10.58292/CT.v15.9648

Copyright: © 2023 The Author(s). This is an Open Access article distributed under the terms of the Creative Commons Attribution-NonCommercial 4.0 International License (http://creativecommons.org/licenses/by-nc/4.0/), permitting all non-commercial use, distribution, and reproduction in any medium, provided the original work is properly cited.

Published: 07 July 2023

CONTACT Eduardo Arroyo eduardo.arroyo@wsu.edu

 

Introduction

Cryptorchidism, the failure of one or both testes to complete testicular descent into the scrotum, is the most common disorder of sexual development in males.1 In the equine, the reported prevalence of cryptorchidism ranges from 2 to 12%.24 In the equine industry, cryptorchid horses may be referred to as rigs, ridglings, or high flankers by some horse owners. Geldings with stallion-like behavior sometimes are referred to as false rigs.5

A multicenter study on 5009 cryptorchid horses showed that some breeds (American Quarter Horses, American Saddlebreds, and Percherons) are overrepresented while others (Thoroughbred, Standardbred, Morgan, Tennessee Walking Horse and Arabian) are less represented.2 This breed predisposition was confirmed by other authors.3,6,7 A high incidence of cryptorchidism was reported in Friesian,8 Swedish Icelandic,9 and Mangalarga horses.6 This suggests a genetic component in the etiology of the defect. The authors have seen a high incidence in some Akhal Teke colts (5/16) and Paso Fino colts (7 /18), the latter being sired by a cryptorchid stallion. A review of the records of 76 colts born at Washington State University’s Arabian herd, showed a cryptorchidism incidence of 2.6%.

Cryptorchidism may be suspected upon examination of yearlings, but most cases are diagnosed at 2 years of age or older as most male horses not intended for breeding are castrated at this age.10 Although uncommon, cryptorchidism may be associated with other more severe urinary or urogenital malformations such as renal dysplasia, ectopic ureters, uretectasia,11 umbilical or inguinal hernias, and hypoplastic testis.2 This emphasizes the importance of thorough physical examination prior to castration to avoid surgical complications.

In horses with no clear castration history, it can be clinically challenging to distinguish between geldings with stallion-like behavior and bilateral or unilaterally castrated (hemicastrated) cryptorchid horses. Hemicastrated cryptorchid horses may have been sold as geldings and started to display stallion-like behavior later in life. The reported prevalence of hemicastration among stallions undergoing castration is around 4.5%, while the prevalence of hemicastration in cryptorchid horses can be as high as 41%.1113 In one study, the prevalence of hemicastration in suspected unilateral cryptorchid horses aged 4 years, 5 years and > 6 years or more was 57%, 73%, and 84%.10,13

Hemicastration (removal of the descended testicle) may be intentional, due to the inability to complete the surgery when attempting a cryptorchidectomy, or due to surgical error in which a portion of the epididymis is misidentified as a testicle and removed during an attempted castration.10

Several ethical issues are raised when dealing with cryptorchidism. In some countries and for some breed registries, cryptorchid stallions disqualify them from being approved for breeding. Breeding of unilateral cryptorchid stallion is discouraged. Hemicastration of unilateral cryptorchid horses is strongly discouraged when they are intended to be sold as gelding. Some breed associations require reporting hemicastration prior to registering the horse. Other associations require that stallion owners disclose hemicastration, because of cryptorchidism, in their breeding contracts.

Veterinarians are often asked for treatment options that will promote or enhance testicular descent. Human chorionic gonadotropin (hCG) has been used in humans to promote testicular descent and has been tested in horses as well. In a small trial, inguinal retained testes descended into the scrotum in 4/8 colts after treatment with 2500 IU of hCG twice weekly for 4 weeks.14 Acupuncture has also been reported anecdotally to promote testicular descent.15

The aim of this paper is to review the etiopathogenesis, diagnosis, and surgical management of cryptorchidism in horses. A special emphasis is given to clinical procedures for the determination of the location of the retained testes.

Pathophysiology of cryptorchidism

In the normal horse, testicular descent is completed between 30 days prepartum and 10 days after birth. Testicular descent in mammals was reviewed thoroughly in a landmark paper by Amann and Veeramacheneni.1

The vaginal process, the gubernaculum, and the inguinal canal are the anatomic structures involved in the process of testicular descent. At mid-pregnancy (~5 months), the equine fetal gonad is large enough to restrict the passage of the fetal testes through the inguinal canal1 (Figure 1). In mid-pregnancy, the length of the caudal gonadal ligament, size of the testis, small diameter of the inguinal ring, and the lack of tension on the gubernaculum prevent descent of the testes through the inguinal canal. After the 8th month of gestation, the gubernaculum proprium begins to decrease in size and only the fibrous connection within the inguinal canal holds the vaginal process outside the inguinal ring. In late pregnancy or early in the neonatal period, the testes have descended into the scrotum and the vaginal ring constricts to about 1 cm in diameter preventing their return to an abdominal position.1618

Fig. 1.
Figure 1. Large fetal testes (arrow) in abdominal location in a 7-month-old fetus.

Testicular descent into the scrotum occurs in 2 phases: the transabdominal phase and the inguinoscrotal phase. The anatomical changes leading to testicular descent are controlled by hormonal signals such as insulin-like peptide 3, it’s receptor that belongs to the relaxin family peptide 2 (RXFP2), and testosterone.1,19,20 Insulin-like peptide 3 (INSL3) is a member of the insulin hormone superfamily expressed in the developing testes and is involved in the transabdominal phase of testicular descent through a proper development of the gubernaculum.20 INSL3, RXFP2, nuclear receptor 5 Orphenus 1, and HOXA10 are all implicated with the estrogen receptor 1 controlled growth of the gubernaculum. Additionally, androgen receptor (AR) is involved in the regression of the cranial suspensory ligament of the testis. Testicular descent is also regulated by calcitonin/calcitonin-related polypeptide alpha gene (CALCA) acting on the genitofemoral nerve.21 Polymorphism in the AR, TGFBR3, and HOXA11 genes and polymorphism in genetic loci coding for cytoskeleton-associated proteins are also considered to be contributing factors for cryptorchidism.22

Cryptorchidism has been attributed to 4 primary mechanisms: failure of the gubernaculum to enlarge the inguinal ring, failure of regression of the gubernaculum, primary testicular abnormalities (cystic rete testis or neoplasia) and persistence of the suspensory ligament of the testis.1,3,23,24 It has been shown that equine cryptorchid testes have a decreasein immunoreactive INSL-3 in the testicular interstitial cells.25 Also, serum INSL3 was found to be lower in bilaterally cryptorchid stallions and unilaterally cryptorchid stallions following removal of the scrotal testis compared to intact and unilateral cryptorchid stallions with 1 scrotal testis.20 These observations strongly suggest the potential role of the INSL-3 gene in the pathogenesis of cryptorchidism. Other genes have been associated with cryptorchidism in various species.26

Role of genetics in cryptorchidism

The role of genetics and the heritability of cryptorchidism have long been suspected. In the 1940s, Hamori suggested a hereditary nature of cryptorchidism based on observation of the defect in 11 of 17 related horses.27 In the early 1950s, a unilateral cryptorchid Anglo-Arab stallion in the Trakehner stud book sired 8 cryptorchid colts out of 24 (2 bilateral and 6 unilateral cryptorchids).28 Recently, the heritability of cryptorchidism was estimated to be between 0.12 and 0.32 in Swedish-born Icelandic horses.9 In Friesian horses, a prevalence of cryptorchidism of 14.2% and a heritability estimate of 0.13 were reported in one study.29

Investigation of 7 candidate genes potentially involved in abnormal testicular descent (Androgen receptor, insulin-like peptide 3, relaxin/insulin like family peptide receptor 2, nuclear receptor 5 Orpheus 1 gene, and the HOXA 10) failed to demonstrate an association.21 Genomic studies showed that 9% of cryptorchid horses share the same 200-kb deletion around AKR1C genes in ECA29. The region is considered as a putative risk factor for cryptorchidism. TSPY and ETSTY2 showed significant copy number variations between cryptorchid and normal males.30 No genetic tests are currently available for heritable genetic defects associated with cryptorchidism.31

Cryptorchidism may be associated with other disorders of sexual differentiation32,33 (Figures 2, 3). Several cases of 64 XX, SRY negative disorder of sexual development with ambiguous external genitalia, stallion-like behavior have been described in various breeds.3439 In one case, cryptorchidism was associated with an autosomal 27 trisomy.40 In these intersex animals, the abdominal gonad can be testes,38,39,41 bilateral ovotestis,42,43 a single ovotestis, or an ovary and a testis.44,45

Fig. 2.
Figure 2. Abnormal vulvar conformation and large clitoris (left), normal mammary gland (right), in a 4-year-old XX-sex reverse horse with bilateral abdominal testes.

Fig. 3.
Figure 3. Same horse in Figure 2 after teasing a mare in heat (maybe not).

All these observations point to a multifactorial etiopathogenesis of cryptorchidism involving possibly genetics, and other external factor such as fetal exposure to endocrine disruptors.

Location of the retained testis

A retained testis may be located anywhere along the course of normal testicular descent. For classification, 3 locations are described: complete abdominal cryptorchidism when the testis and epididymis are located entirely within the abdomen (Figure 4); partial abdominal cryptorchidism when the testis is in the abdomen and the epididymis in the inguinal canal (Figure 5); inguinal cryptorchidism when the testis and epididymis are located within the inguinal canal or adjacent to the external inguinal ring within the inguinal fascia (Figure 6).

Fig. 4.
Figure 4. Laparoscopic view of a complete abdominal testis. The spermatic cord of the retained testis is indicated by the arrow.

Fig. 5.
Figure 5. Laparoscopic view of a partial abdominal testis.

Fig. 6.
Figure 6. Laparoscopic view of an inguinal testis.

Cryptorchidism is predominantly unilateral, occurring with equal frequency on the left and right testis; only 10 to 15% of cases are bilateral (Table).29,4650 Early studies showed an equal frequency of left and right side cryptorchidism in older ponies and other breeds of horses but a higher incidence of right side cryptorchidism was reported in younger ponies.12 In a recent study on Friesian horses, the right testis was retained significantly more often than the left (64.5% vs. 35.5%, n = 188).29 According to many publications, the left testicle is more likely to be retained abdominally than the right.6,7,13 However, in a study on 94 cases, the abdominally retained testes were right-sided and left-sided in 48.9% and 51.1% of the cases respectively.8 In bilateral cryptorchid cases, both testes are generally found in the abdominal position and only a small proportion are bilaterally inguinal or a combination of an inguinal and an abdominal testis.6,8,47

Table. Prevalence of cryptorchidism based on side and location of the retained testis
Authors Number of cases Unilateral (%) Bilateral (%) Position of the retained testis
Abdominal (%) Inguinal (%) Incomplete abdominal (%)
Bartman 2001 67 86.6 13.4 56.7 43.3 n/a
Cattelan et al. 2004 42 95.2 4.8 64 34 n/a
Cox et al. 1979 100 81 19 33 67 n/a
Hartman et al. 2015 601 86.5 13.3 49.9 40.1 8.7
Hughes 2006 100 90 10 47 53 n/a
Huppes et al. 2017 280 85.7 14.3 65 46 n/a
Leipold et al. 1986 100 93 7 60 39 n/a
Roderson & Hansen, 1997 100 86 14 59 41 n/a
Stratico et al. 2020 70 92.8 7.2 54.3 24.3 21.4

Effect of cryptorchidism on fertility

The role of testicular thermoregulation on establishment and maintenance of normal spermatogenesis is well established.51 Transcriptomic analysis showed downregulation of 11 genes associated with spermatogenesis in cryptorchid compared to normal testes.22 Bilaterally cryptorchid horses are sterile while unilaterally affected horses have varying degrees of fertility.

In one case report, a unilaterally cryptorchid stallion achieved a 90% live foal rate with an average of 1.4 cycles per pregnancy despite a high percentage of abnormal spermatozoa.52 In another case, a unilaterally cryptorchid stallion achieved a foaling rate of 17.7% on 259 mares compared to 42.5% on control mares (n = 2457) bred to a non-cryptorchid stallion.28 Fertility of cryptorchid horses may decrease over the years as illustrated by a case of a unilaterally cryptorchid stallion that achieved pregnancy rates of 81%, 90%, 73%, and 48% in the first, second, third, and 4th breeding seasons, respectively.53

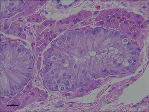
Histopathology of retained testis

Because of the lack of appropriate testicular thermoregulation, the undescended testis undergoes several histological and endocrine disturbances.54,55 A 45% and 31% reduction in seminiferous tubules density was observed in abdominal and inguinal testes respectively, compared to a normal descended testicle.56 On histopathology seminiferous tubules have a wider lumen with vacuolation of the cells within the seminiferous epithelium (Figure 7). Seminiferous tubules may be poorly differentiated and appear as solid cords with Sertoli cell cytoplasm filling the tubules (Figure 8). Some tubules are lined by only 1 or 2 layers of spermatogonia. In inguinal retained testes, germ cells can be found at different stages of maturation but not beyond the stage of secondary spermatocytes, whereas in abdominal testes spermatogenesis is arrested at type A or B spermatogonia.55,57,58 A few spermatogonia and occasional degenerating primary spermatocytes may be present in some cases.40 Atypical germ cells may be seen in the basal area of the seminiferous tubules.53 The population of Leydig cells observed in cryptorchid testes is similar to that of the scrotal testes.56

Fig. 7.
Figure 7. Photomicrograph of a section of an abdominal testis: ST = seminiferous tubules showing vacuolization, arrow indicates Leydig cells (H& E stain; Bar = 100µm).

Fig. 8.
Figure 8. Photomicrograph of a section of an abdominal testis. The seminiferous tubule is filled with the cytoplasm of Sertoli cells (H& E stain; Bar = 20µm).

With advancing age, the testicular parenchyma of the retained gonad undergoes further degenerative changes and fibrosis with increase thickening of the albuginea. These changes are more pronounced in abdominal than in inguinal testes.56,59,60 Severe testicular compromise following torsion of the spermatic cord may lead ischemia,59,61,62 tissue necrosis and atrophy, which may sometimes be confused with true monorchidism, a much less common condition.6367

Histochemical studies of cryptorchid testes revealed a disruption of the morphology and histochemistry of both Leydig and Sertoli cells. Leydig cells are poorly differentiated and have a deviation in α-actin expression.59 Sertoli cells of cryptorchid testes show degenerative changes and alteration of the distribution of vimentin, a component of the intermediate filaments postulated to play an important role in regulation of spermatogenesis.59,68,69

Abdominally retained testes sometimes become enlarged due to neoplastic changes. The retained testis can become extremely large (up to 60 cm) in some cases.70 It is not clear if these changes are a cause or a result of cryptorchidism.24,54,58,71 The most common neoplasms described in undescended testes include teratomas and seminomas.32 Seminomas can be malignant and metastasize to peritoneal cavity and other organs, resulting in progressive debilitation and various clinical signs such as colic, fever, weight loss, tachycardia and dyspnea59,70,72,73 (Figures 9, 10). Development of seminoma may be due to over expression of aromatase. The excess estrogens may lead to a suppression of INSL-3 responsible for testicular descent and is associated with reproductive disturbances including testicular neoplasia in humans.74,75

Fig. 9.
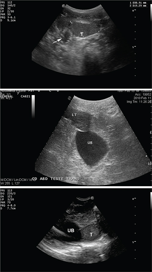
Figure 9. Gross (top) and ultrasonographic (bottom) of an abdominal testis with seminoma in a bilateral cryptorchid miniature horse.

Fig. 10.
Figure 10. Photomicrographs of histological section of the testis shown in Figure 9: metastatic seminoma with several abnormal mitotic figure (a, c), giant neoplastic cells (b) and raft of neoplastic cells within a blood vessel (d).

Several cases of teratomas of the retained testes have been described in the literature7681 (Figure 11). The morphological, gross appearance, and ultrasonographic features of teratomas vary depending on the tissue present. In some cases, large cystic formations may be detected through ultrasonography along with tissue of various echogenicity82,83 (Figure 12). Other neoplasms reported in undescended testes including carcinomas,53 interstitial cell tumors,71,84 malignant Sertoli cells tumors,85 and leiomyosarcoma.86

Fig. 11.
Figure 11. Gross appearance of a testicular teratoma from an abdominal cryptorchid stallion.

Fig. 12.
Figure 12. Transrectal ultrasonogram (top) and gross (bottom) appearance of cystic testicular teratoma from an abdominal cryptorchid horse.

Horses with abdominal retention of a testis may sometimes present with an acute abdomen (colic) due to torsion of the spermatic cord61 or jejunal entrapment and strangulation.73,87

Diagnostic approach

Diagnosis of cryptorchidism is usually evident when animals are presented with a single scrotal testis and no history of attempted castration. In cases of ‘geldings’ with no scrotal testes but presenting with stallion-like behavior, diagnosis becomes more challenging, especially when the history of castration is lacking or uncertain. In the latter case, clinical and endocrinal evaluations are necessary to establish the diagnosis.88 Clinical evaluation of all suspect cryptorchid horses is important prior to surgery to locate the retained testis, and determine its size and morphological features.88,89

Endocrine diagnostic tests

Endocrine testing is helpful to differentiate cryptorchid horses with no scrotal testis from geldings with stallion like behavior unrelated to the presence of gonadal tissues. Mature equine testes, whether descended or undescended, produce testosterone, estrogens, and Anti-Müllerian Hormone (AMH). Detection and quantification of these hormones are the basis for endocrine diagnostics.90

Androgens

Basal serum testosterone concentrations in normal and cryptorchid stallions are generally higher (> 100pg/ml) than in geldings (< 40pg/ml). Contrary to common belief, the epididymis and spermatic cord of the horse do not produce testosterone.91 Unfortunately, relying on a single measure of serum testosterone may be associated with inconclusive results due to diurnal fluctuations, seasonal effects (lower out of the breeding season) and age-related variations (lower in horses < 2 years or > 9 years of age) variations.90,9295 Serial determination of serum testosterone concentration before and after stimulation with hCG or GnRH improves diagnostic accuracy,96 as testosterone concentration is expected to rise within 25 to 35 minutes following administration treatment.91 The most commonly protocol used, is to determine serum testosterone concentration on blood samples taken, before and 2 hours after intravenous administration of 6000 to 12,000 IU hCG.95,97 A marked rise of testosterone level (> 100 pg/ml), consistent with presence of testicular tissue, is expected in cryptorchid stallions. Even with this protocol 6.7% of results may be inconclusive.97 Because a larger increase in serum testosterone concentration occurs between 24 and 76 hours after hCG administration.98 an additional sample collected 24 to 48 hours after challenge is often recommended to improve diagnostic sensitivity. Testosterone sensitivity is 85% and specificity is 91%.

An amplified enzyme immunoassay for serum androstenedione has been shown to have a sensitivity and specificity of 92% and 93% respectively when used to detect the presence of testicular tissue but is not commercially available for routine use.

Estrogens

Because estrogen biosynthesis occurs in both descended and cryptorchid testis in mature stallions,98 determination of estrone sulphate concentration in serum has been proposed for diagnosis of cryptorchidism. This test may not be consistently accurate in horses less than 3 years of age.98 Reference ranges depend on the time of the year the sample was taken and vary from 10 to 50 ng/ml for normal horses and from 0.1 to 10 ng/ml for cryptorchid horses. Diagnosis of cryptorchidism could be achieved via measurement of the concentration of unconjugated estrogens in feces, but this assay is not commonly used.90 Estrone sulphate sensitivity is 88% and specificity is 84%.99

Anti-Müllerian hormone (AMH)

AMH is produced by Sertoli cells and has proven to be an excellent biomarker for presence of testicular tissue. Serum AMH is higher in cryptorchid stallions (32.4±5.0 ng/ml) than in either intact stallions (14.7±2.4ng/ml) or geldings (0.07±0.01 ng/ml).100,101 Serum AMH concentrations are higher during the breeding season in stallions.100 A high specificity for diagnosis of cryptorchidism has been shown for all ages.20,94,101 False negative results are possible if the testes have undergone necrosis or were not sufficiently differentiated (i.e., low number of Sertoli cells).102

Clinical evaluation and location of the retained testicle

Determination of the location of the retained testis is important when deciding on the appropriate surgical approach.8,88,89,103 Ultrasonography is an important aspect of the examination of suspected cryptorchid horses, not only for location of the testis but also to determine the size and if potential pathology is present.71,85 For a complete examination, the horse should be sedated and placed in stocks. The authors prefer to sedate the horse with detomidine (0.01–0.02 mg/k, IV) and butorphanol (0.01–0.02 mg/kg, IV). The general clinical approach for determination of the location of the testis includes external inspection and palpation, followed by percutaneous ultrasonography (inguinal and transabdominal), and transrectal palpation and transrectal ultrasonography if the previous examinations are inconclusive. Ultrasonographic examination of the lateral aspect of the flank has been described. It is performed by the authors only when transrectal examination is not possible (small breeds or very young horses)104 (Figure 13).

Fig. 13.
Figure 13. Region of the flank to scan ultrasonographically. Note that this scanning is often not necessary compared to inguinal and lower abdominal scanning.

Inspection and external palpation

The inguinal area is first inspected visually, and each external inguinal ring is palpated from the ipsilateral side. The external inguinal ring varies in length from 1 to 4 centimeters.89,105 Inguinal testes may be recognized by palpation of the epididymal tail. Inguinal palpation allows identification of 60% of the superficially retained testes and 7% of the deep inguinal testes with a specify of 100%. Identification of the retained testes by inguinal palpation can be difficult, particularly in younger horses. Palpation of fatty tissue or the ligament of the cauda epididymis may be confused with a testis especially in young colts.106 Complete abdominal testes cannot be palpated in the inguinal region.

Percutaneous ultrasonography

Although a linear transducer may be used for percutaneous ultrasonography, the authors prefer to use a convex 3.5 to 5 MHz transducer. Higher frequencies (7.5 to 10 MHz) for linear transducers may be helpful to have a better definition of superficial testes. The inguinal area is cleaned, sprayed with 70% isopropyl alcohol, or coupling gel to improve the image quality. The transducer is placed over the external inguinal ring oriented in a dorsolateral fashion, following the course of the inguinal canal107 (Figure 14). If the testis cannot be visualized, the examination continues by placing the transducer more caudal over the midline, aiming at the urinary bladder. The examination proceeds by moving the transducer cranially from midline to the fold of the flank104 (Figure 15).

Fig. 14.
Figure 14. Illustration of the area for percutaneous of inguinal ultrasonographic evaluation of a suspected cryptorchid horse.

Fig. 15.
Figure 15. Illustration of the area for per cutaneous low abdominal ultrasonographic evaluation of a suspected cryptorchid horse.

The retained testis can be recognized by the characteristic hyperechoic appearance of the tunica albuginea and the presence of a central vein104,107 (Figures 16). An inguinal retained testis is often misshapen and has a less echogenic parenchyma than normal scrotal testis. The superficial inguinal and deep inguinal cryptorchid testis can be accurately localized in 100% and 93% of the cases respectively.108,109 In one report that included 127 horses with 141 cryptorchid testes, the sensitivity and specificity of percutaneous inguinal ultrasonography to determine the location of the testis were 98% and 97%, respectively.110

Fig. 16.
Figure 16. Ultrasonogram of an inguinal testis (T). Note the hyperechoic albuginea (arrow).

Abdominal testes are often visualized on the ventral abdominal wall within a few centimeters of or adjacent to the urinary bladder (Figures 17, 18) and lying between the intestinal loops or colon haustra. Left abdominal testis are more difficult to visualize. They may be found between the left ventral colon and the spleen. Other factors that may hinder visualization of the abdominal testes include higher location due to short testicular cord, gas, or food-filled large colon. Examination of the horse after a period of 24 to 36 hours fasting may improve ultrasonographic localization of the abdominal testis.104

Fig. 17.
Figure 17. Ultrasonogram of abdominal testis testis (T) showing clearly an anechoic area corresponding to the central vein (top arrow), and a teratoma.

Fig. 18.
Figure 18. Examples of ultrasonograms of abdominal testes visualized by abdominal scanning (T = testis, UB = urinary bladder, arrow indicates intestinal loops).

The combination of inguinal and abdominal ultrasonographic examination allow location of the testes with very high sensitivity (97.6%) and specificity (100%).104,111 However, some authors reported only a 50% localization of incomplete abdominal testis with a specificity of 75%.109 Other authors reported localization of the abdominal testis in 72.7% of the cases.108 This difference of results may be due to a difference in experience and/or type of horses examined, gas or content in the large colon.

Transrectal palpation and ultrasonography

Transrectal palpation and ultrasonography should be performed on cryptorchid horses whenever possible if the percutaneous ultrasonographic exam is inconclusive. In addition to heavy sedation, administration of a spasmolytic (n-butyl scopolamine bromide, 0.3 mg/kg slow IV) helps to reduce intestinal peristalsis and relaxes the rectum to allow a more thorough examination. The objective of transrectal palpation is not to find the testes, but rather to determine if the vas deferens is entering the internal inguinal ring.

The inguinal ring is palpated just cranial and ventrolateral to the brim of the pelvis as a slit-like opening accommodating one or 2 fingers (Figure 19). Palpation of the inguinal ring may be facilitated by the aid of a second examiner introducing two fingers in the external inguinal ring. The vas deferens can be felt entering the inguinal ring in cases of incomplete abdominal or inguinal cryptorchidism. The location of the retained tests could be determined in 67% to 94% of the cases. Experienced clinicians are significantly more likely to correctly determine the location of the testis.47 An incorrect diagnosis is more likely to occur in patients who have undergone a prior attempt at castration.

Fig. 19.
Figure 19. Illustration of transrectal palpation of the vaginal ring and the vas deferens (arrow) entering it.

Transrectal ultrasonography should be performed in a systematic manner scanning the entire internal genitalia. After fecal evacuation and palpation of the inguinal ring, a 5 to 10 MHz frequency linear transducer is introduced into the rectum. The accessory sex glands are often larger and active in a cryptorchid horse compared to a gelding88 (Figure 20). The technique used by the authors is similar the one described by Pozor et al. and consists of following the ampullae along their course.107 The ampulla of the vas deferens is identified on each side just cranial to the pelvic urethra (Figures 20, 21). In inguinal and incomplete abdominal cryptorchids, the ampulla and vas deferens gradually curve laterally and ventrally toward the inguinal ring. In the case of abdominally retained testis, the ampulla runs craniolaterally or craniodorsally without bending. A sweeping motion from midline to the lateral abdominal wall while moving the hand cranially usually allows the identification of the testis. The testis may be recognized first as one approaches the tail of the epididymis or the pampiniform plexus and testicular artery (Figures 2123).

Fig. 20.
Figure 20. Transrectal ultrasonography of a cryptorchid stallion: arrows indicate bulbourethral gland (a), protate (b and c), ampulla of the vas deferens (d) (UB: urinary bladder).

Fig. 21.
Figure 21. Transrectal ultrasonography of a cryptorchid stallion: UB: urinary bladder, T = testis Arrow indicate vas deferens.

Fig. 22.
Figure 22. Transrectal ultrasonograms in a horse with inguinal cryptorchidism. Note the curving of the ampulla of the vas deference (top) and misshapen testis (T, bottom image).

Fig. 23.
Figure 23. Transrectal ultrasonograms in a horse with inguinal cryptorchidism: Note the abnormal testis.

Using this approach of examination including transrectal palpation and ultrasonography, the authors were able to locate 100% of the testes in unilaterally cryptorchid horses (n = 43) and 9 out of 10 bilaterally retained testes.88

The sensitivity and specificity of ultrasonographic examination of suspected cryptorchid horses including transrectal evaluation is 91 and 97% for abdominal testis and 88 and 99% for inguinal testes.8,46 A 100% agreement between testicular location determined by ultrasonography and surgery has been reported in some studies.112

Although rare, failure to locate the testicle in a cryptorchid stallion may be due to true monorchidism,113115 or ischemic necrosis of the testis following spermatic cord torsion.116

Cryptorchidectomy

Surgical approaches for equine cryptorchidectomy can be grouped into 2 large categories: traditional surgical techniques, and minimally invasive techniques (laparoscopic techniques). Traditional surgical techniques include inguinal, para-inguinal, suprapubic, and flank approaches. The choice of a surgical technique is primarily dictated by the location and size of the retained testis. With exception for the flank and laparoscopic techniques, which are performed in the standing horses, all approaches are performed under general anesthesia in the recumbent horse.

Patient preparation and preoperative considerations

Cryptorchidectomy is an elective procedure and should be performed on otherwise healthy horses. As for any surgery, a thorough physical examination and pre-operative blood work should be conducted prior to surgery. Food is withheld for 12 to 24 hours for conventional surgeries. Longer fasting (24 to 36 hours) is recommended for laparoscopic approaches to reduce the risk of perforation of viscera during introduction of the trocar and allows a better exploration of the abdominal cavity.8,117,118

Preoperative medication consists of tetanus prophylaxis and administration of a nonsteroidal anti-inflammatories (phenylbutazone 4.4 mg/kg IV or per os; or flunixin meglumine 1.1 mg/kg IV, or meloxicam 0.6mg/kg IV). Flunixin meglumine is the preferred option for all horses undergoing laparoscopic cryptorchidectomy to minimize the abdominal discomfort associated with carbon dioxide insufflation. Antibiotics are administered preoperatively.119121

Sedation for standing cryptorchidectomy is achieved using xylazine (0.5 mg/kg IV) or detomidine (0.01–0.02 mg/kg IV) in combination with butorphanol (0.01 mg/kg IV). Intravenous constant rate infusion of detomidine (20 mg/L) and butorphanol (10 mg/L) is given to effect following sedation.120,122,123 Some authors recommend a caudal epidural with detomidine (0.03–0.06 mg/kg) diluted to 10 mL with 0.9% saline. However, this treatment has been associated with collapse.118,124,125

For flank and laparoscopic techniques, the paralumbar fossa region is desensitized with local injection of lidocaine in an inverted ‘L’ pattern.113,126

General anesthesia is required for inguinal, para-inguinal, and suprapubic surgeries and for laparoscopic approach in dorsal recumbency. The most common anesthesia protocol used for field surgery is the triple drip (Guaifenesin 5% to 10%, Xylazine 10% in combination with ketamine).57,127129 However, injectable anesthesia protocols usually limit time available for surgery, and inhalational anesthesia is preferred when surgical time is anticipated to exceed 60 minutes.

Inguinal approach

The inguinal approach to cryptorchidectomy has been described by several authors.105,128,130,131 The anesthetized horse is placed in dorsal recumbency, and the entire inguinal area is sterilely prepared for surgery and draped. An 8 to 12 cm incision is made through the skin over the superficial (external) inguinal ring or directly in the scrotum. The inguinal fascia is dissected bluntly to expose the superficial inguinal ring. If the retained testis is inguinal, it should be easily exposed and excised. It is important to open the common vaginal tunic to expose the testes and the epididymis prior to ligation or emasculation. In case of partial abdominal testis, the vaginal process containing the tail of the epididymis is identified, grasped with sponge forceps, and incised with scissors. The testicle is exteriorized by gentle traction on the tail of the epididymis and the proper ligament of the testis. The spermatic cord and cremaster may be emasculated together or separately. Some authors prefer to place a single transfixing suture proximal to the site of emasculation. The incision may be left to close by second intention. Primary closure is advocated by some practitioners and consists of suturing the deep fascia using a simple continuous pattern and finishing with a subcuticular pattern to oppose the skin edges.

In abdominal cryptorchidism, the vaginal process remains inverted into the abdomen and can be everted into the inguinal canal by identifying the gubernaculum (narrow fibrous band of tissue). It is important to avoid confusing the gubernaculum and the genital femoral nerve. Once everted the vaginal process is opened with scissors and the testis is exposed by traction on the epididymis after digital dilation of the internal inguinal ring. Sometimes, the inguinal extension of the gubernaculum is deep and cannot be palpated readily. A long (25 cm) Foerster sponge forceps is introduced into the inguinal canal along the fingers of the surgeon and the apex of the vaginal process is grasped at the level of the inguinal ring and everted (Figure 24). A deeper exploration of the abdominal cavity using two fingers through blunt penetration through the inguinal ring is necessary to identify the vas deferens, epididymis, or testis. An even deeper manual exploration may be needed if these structures cannot be identified. Following identification, exteriorization, and excision of the gonad, the superficial inguinal ring is closed with heavy suture to prevent evisceration, and the skin is closed routinely with a subcuticular suture pattern.

Fig. 24.
Figure 24. Cryptorchidectomy: inguinal approach, exteriorization of the testicle.

Para-inguinal approach

The para-inguinal approach (also known as the Danish method) to cryptorchidectomy was developed in the late 1800s.132 The technique underwent several modifications, the most notable one was proposed by Wilson and Reinertson in 1987.4,105,132134 This approach should be considered if the testis is determined to be abdominal. The horse is prepared as described above. A 4 to 6 cm incision is made through the skin and the aponeurosis of the external abdominal oblique muscle 2 cm medial, parallel to the superficial inguinal ring (Figure 25). The internal abdominal oblique muscle is opened along its muscle fibers and the peritoneum is entered bluntly with the fingers. Using one or two fingers placed into the abdomen, the ductus deferens, epididymis or gubernaculum can be identified coursing in the direction of the inguinal ring just caudal and lateral to the incision and then followed toward the tail of the epididymis and proper ligament of the testis (Figure 26). The testicle is exteriorized by traction on the proper ligament and emasculated. The incision may be extended to accommodate the entire hand for better exploration if the gubernaculum and epididymis cannot be identified. The aponeurosis of the external abdominal oblique muscle is closed in a continuous pattern using heavy absorbable material. The subcutaneous tissues are opposed.

Fig. 25.
Figure 25. Parainguinal approach to cryptorchidectomy. Illustration of the superficial inguinal ring (a) and the incision site (b) in unilateral cryptorchid stallion in dorsal recumbency.

Fig. 26.
Figure 26. Cryptorchidectomy: parainguinal approach, exteriorization of the testicle.

Flank approach

Cryptorchidectomy using the flank approach is used for abdominally retained testes.105,135 The major disadvantage of the technique is the long healing period.10 The horse is prepared for standing surgery under heavy sedation. The flank ipsilateral to the affected side is clipped, desensitized, and scrubbed for surgery. A 10- to 15-cm incision is made through the skin and subcutaneous tissue in the paralumbar fossa. The external abdominal oblique muscle is transected in the direction of the skin incision. The internal abdominal oblique and the transverse abdominal muscles are split in direction of the muscle fibers to expose the peritoneum. The retroperitoneal fat and peritoneum are penetrated bluntly using the fingers. The area of the inguinal ring is explored digitally or manually to locate the vas deferens, tail of epididymis, or testis. The testis can be exteriorized by gentle traction and the spermatic cord emasculated or transected after placement of single transfixing suture136 (Figure 27). If the testis cannot be exteriorized, an écraseur is used to transect the testicular vasculature.130 Once the abdominal testis is removed, each layer is closed separately with continuous or interrupted pattern. Some authors forego suture of the peritoneum and the transverse abdominal mucle.105

Fig. 27.
Figure 27. Cryptorchidectomy: flank approach.

Suprapubic paramedian approach

The suprapubic paramedian approach is used in cases of bilateral cryptorchidism or unknown castration history.130,137 A longitudinal skin incision is made 5 to 10 cm lateral to the ventral midline beginning at the level of the preputial orifice and extending caudally. The abdominal tunic and the ventral sheath of the rectus abdominis muscle are incised. The rectus abdominis muscle is separated by blunt dissection along the muscle fibers which are in the same direction of the incision. The abdominal cavity is penetrated by bluntly perforating the dorsal rectus sheath, retroperitoneal fat, and peritoneum with the fingers. The testis and associated structure are generally found near the inguinal ring. The testis can also be located by following the vas deferens found in the genital fold of the bladder. In bilateral cryptorchid horse, both testes can be removed from the same incision although exteriorization of the contralateral testis is difficult and may require the use of an écraseur. The ventral rectus sheath and subcutaneous cutaneous tissues are closed with absorbable suture material in a continuous patter or interrupted pattern. The skin is sutured separately with interrupted suture. Alternately, a subcuticular pattern with absorbable suture can be used to close the skin.

Laparoscopic cryptorchidectomy

Laparoscopic cryptorchidectomy has become the most used approach in horses.120 Techniques vary slightly depending on the location of the testis and preference of the surgeon.127,138,139 Laparoscopic cryptorchidectomy is preferably performed in the standing horse121,138 under heavy sedation and local analgesia. However, laparoscopic cryptorchidectomy in dorsal recumbency under general anesthesia has also been described.127,139 Here we briefly described the standing approach.

The horse is heavily sedated and placed in stocks. The tail is wrapped and secured to the side. A urinary catheter is placed. The left and right paralumbar fossa are clipped from the tuber coxae to the 15th intercostal space and from the epaxial musculature to the level of the stifle and scrubbed. The sites of the 3 portals are desensitized by lidocaine 2% infiltration (Figure 28). The first portal is located 5 cm below the dorsal margin of the internal abdominal oblique muscle, between the last rib and the tuber coxae. The second portal is located in the 17th intercostal space, below an imagined line drawn horizontally through the ventral border of the tuber coxae. The third portal is located 5 to 10 cm ventral to the initial portal, following the caudal aspect of the rib, in the middle of the flank. A final sterile scrub is performed, and the patient is sterilely draped.

Fig. 28.
Figure 28. Laparoscopic cryptorchidectomy portal sites.

A 2 to 3 cm vertical incision is made through the skin in the 17th intercostal space. A 12-mm laparoscopic cannula with a blunt-tip obturator is introduced into the skin incision and passed through the intercostal musculature and the peritoneum punctured to enter the abdominal cavity. This step is considered the most dangerous due to the risk of perforation of the gastrointestinal structures. Insufflation of the abdominal cavity with CO2 using a Veress needle or a trocar catheter helps avoid damaging viscera during insertion of the trocar.136 The risk of perforation of abdominal viscera can also be reduced using a threaded EndoTip cannula. A 10 mm, 30-degree laparoscope is introduced into the abdomen to allow visualization of abdominal viscera. A second portal site is then made under intra-abdominal laparoscopic guidance in the paralumbar fossa, midway between the last rib and the tuber coxae and approximately 3 cm ventral to the first portal.138,140 In cases of bilateral cryptorchidism, the contralateral testis can be visualized by manipulating the endoscope under the small colon or by creating a defect in the mesocolon. In some case, it is preferable to approach each testis from its ipsilateral flank particularly if the gubernaculum is short or testicular abnormalities are found.119,136

Once the testis has been clearly isolated, a 32 cm, 18g tip laparoscopic injection needle is used to infiltrate the testicular pedicle with approximately 15 ml of 2% lidocaine. Several techniques have been described to ensure hemostasis and remove the retained testis. Emasculation can be performed extracorporeally after exteriorization through a low flank incision. However, the most common approach is to perform an intraabdominal ligation and transection of the spermatic cord using intrabdominal loop of polydioxanone suture (Endoloop ligature, Ethicon EndoSurgery Cincinnati, OH).136 Recently, bipolar electrosurgery has become more available and is used to ensure hemostasis prior to transection of the mesorchium and vas deferens. Some authors prefer the use of Bipolar vessel sealing devices using high current and low voltage (LigaSure®, Covidien, Dublin, Ireland).111,113,114,122,136,141,142 The abdominal testis and associated structures can be grasped with claw forceps and removed through the caudal ventral instrument portal after ventral extension of the incision. The use of a morcellator to divide the tissues of the retained testis into smaller segments has been described to facilitate extraction through a 12 to 20 mm incision.121 Laparoscopic castration of cryptorchid horses using spermatic cord ligation without transection has been described but the technique fails to induce proper hemostasis in 3.4 to 5.6% of the cases.83,117,143,144 Plasma testosterone concentrations should be determined 7 days after surgery to verify success of the procedure.8

Following cryptorchidectomy, all trocars are removed after deflation and the skin incisions are closed in using skin staples.

Postoperative care and complications following cryptorchidectomy

Postoperative care following cryptorchidectomy depends on the approach used. In open surgeries, stall rest for 24 to 36 hours is recommended. Horses that have undergone a procedure using the inguinal approach can return to normal levels of exercise within 7 to 10 days of surgery. For horses that have undergone more invasive techniques, hand walking for 2 to 3 weeks is recommended prior to gradual return to normal activity. Incisions must be protected from flies and wounds cleaned routinely.130 For non-invasive procedures, post operative antimicrobial treatment is not necessary if appropriate antibiotic therapy was administered perioperatively and there were no perceived breaks in sterility. Anti-inflammatory drugs are continued for 3 to 5 days. Horses that have undergone standing laparoscopic cryptorchidectomy are usually discharged 1 to 3 days after the procedure with instruction to hand-walk for 5 to 7 days.121

Reported complication rates of conventional open cryptorchidectomy range from 7.6 to 12.3%.58,132 The most catastrophic complications are hemorrhage, evisceration, septic peritonitis, and clostridial infections. 147 In one report, 2 horses undergoing conventional cryptorchidectomy developed diarrhea and colic which required euthanasia.145 Other complications include fever, hydrocele, septic funiculitis, pyrexia, lameness, and penile damage.45,149

Complication rate following laparoscopic cryptorchidectomy ranges from 0% to 33%. This large variation depends on how complications are defined. Intraoperative complications are primarily related to lack of identification of the testis or presence of abnormally developed testis,114,148 bowel perforation,8,146 failure to pull an inguinal testis into the abdomen, poor visual field due to small intestinal distension, and inappropriately placed portals.145 Standing laparoscopic castration is generally safe and rapid (30 to 40 minutes) when performed under optimal conditions but requires practice.142 Laparoscopic cryptorchidectomy under general anesthesia is associated with increased surgical time and increased risk for diarrhea and colic.145 Complications associated with a large incision in the paralumbar fossa for testis extraction are substantially reduced using a morcellator.121

Conclusion

Cryptorchidism is a frequent complaint in equine reproduction. Progress has been made in the study of testicular descent and factors controlling it. The hereditary nature of cryptorchidism is still debated and raises questions about the appropriateness of using unilaterally cryptorchid for breeding. Theriogenologists should be trained in the diagnosis and surgical treatment of the condition. Endocrine diagnosis of presence of testicular tissue can be achieved reliably with a single serum level of AMH. In a few exceptions, where tissue is abnormal or has undergone severe degeneration, this test may not be diagnostic. Clinical evaluation and determination of the location of the retained testicle are important steps in decision making for selection of the appropriate surgical approach. Location of the testicle can be achieved with high sensitivity and specify with a combination of the transcutaneous and transrectal ultrasonography. Special attention should be given to the size of the testis and any abnormalities of testicular parenchyma. Several surgicalapproaches have been described for cryptorchidectomy. Standing laparoscopic approaches are becoming the preferred method for partial and complete abdominal cryptorchidism, as they are minimally invasive with a fewer serious complication.

References

1. Amann RP, Veeramachaneni DNR: Cryptorchidism in common eutherian mammals. Reproduction (Cambridge) 2007;133:541–561. doi: 10.1530/REP-06-0272
2. Hayes HM: Epidemiological features of 5009 cases of equine cryptorchism. Equine Vet J 1986;18:467–471. doi: 10.1111/j.2042-3306.1986.tb03692.x
3. Ortved KF, Stewaart AW, Fubini SL, et al: Castration of 4 stallions with cryptorchidism caused by failure of regression of the front gonad cords. Pferdeheilkunde 2014;30:697–698.
4. Schumacher J: Surgical disorders of the testicle and associated structures. In: Auer J: editor. Equine surgery. Philadelphia, PA; W.B. Saunders Co.: 1992:676–696.
5. Bladon B: Surgical management of cryptorchidism in the horse. In Pract 2002;24:126–134. doi: 10.1136/inpract.24.3.126
6. Cattelan JW, Macoris DG, Barnabe PA, et al: Cryptorchism in horses: clinical and surgical aspects and serum testosterone determination. Arq Bras Med Vet Zoo 2004;56:150–156. doi: 10.1590/S0102-09352004000200003
7. Ribeiro MG, Ribeiro LVP, Silva JRd, et al: A retrospective study of surgical cases of equine cryptorchidism in northwestern Paraná. Rev Brasil Ciênc Vet 2014;21:160–162. doi: 10.4322/rbcv.2014.377
8. Huppes T, Stout TAE, Ensink JM: Decision making for cryptorchid castration; a retrospective analysis of 280 cases. Equine Vet Sci 2017;48:73–81. doi: 10.1016/j.jevs.2016.08.004
9. Eriksson S, Jaderkvist K, Dalin AM, et al: Prevalence and genetic parameters for cryptorchidism in Swedish-born Icelandic horses. Livest Sci 2015;180:1–5. doi: 10.1016/j.livsci.2015.06.022
10. Maxwell JAL: Equine hemi-castration: review of the condition, prevalence, aetiology, diagnosis and surgical management. Aust Vet J 2005;83:203–207. doi: 10.1111/j.1751-0813.2005.tb11648.x
11. Gough SL, Fraser BSL, Rendle DI, et al: Renal dysplasia, ectopic ureter, septic ureterectasia and cryptorchidism in an 11-month-old cob colt presenting with ascending pyoureter and pyocystis. Equine Vet Educ 2020;33:397–397. doi: 10.1111/eve.13296
12. Cox JE: The castration of horses: or castration of half a horse? Vet Rec 1973;93:425–426. doi: 10.1136/vr.93.15.425-a
13. Cox JE, Edwards GB, Neal PA: An analysis of 500 cases of equine cryptorchidism. Equine Vet J 1979;11:113–116. doi: 10.1111/j.2042-3306.1979.tb01321.x
14. Marshall JF, Moorman VJ, Moll HD: Comparison of the diagnosis and management of unilaterally castrated and cryptorchid horses at a referral hospital: 60 cases (2002–2006). J Am Vet Med Assoc 2007;231:931–934. doi: 10.2460/javma.231.6.931
15. Brendemuehl JP: Effects of repeated HCG administration on serum testosterone and testicular descent in prepubertal Thoroughbred colts with cryptorchid testicles. Lexington; American Association of Equine Practitioners (AAEP): 2006:381–383.
16. Schofield WA: Use of acupuncture in equine reproduction. Theriogenology 2008;70:430–434. doi: 10.1016/j.theriogenology.2008.05.001
17. Bergin WC, Gier HT, Marion GB, et al: A developmental concept of equine cryptorchism. Biol Reprod 1970;3:82–92. doi: 10.1093/biolreprod/3.1.82
18. Smith JA: The development and descent of the testis in the horse. Vet Annu 1975;15:156–161.
19. Arighi M: Testicular descent. In: McKinnon AM, Squires EL, Vaala WE, Varner DD: editors. Equine reproduction. Voume 1, Ames; Wiley-Blackwell: 2011:1099–1106.
20. Hannan MA, Murase H, Sato F, et al: Age related and seasonal changes of plasma concentrations of insulin-like peptide 3 and testosterone from birth to early-puberty in Thoroughbred male horses. Theriogenology 2019;132:212–217. doi: 10.1016/j.theriogenology.2019.04.014
21. Tsogtgerel M, Komyo N, Murase H, et al: Serum concentrations and testicular expressions of insulin-like peptide 3 and Anti-Mullerian hormone in normal and cryptorchid male horses. Theriogenology 2020;154:135–142. doi: 10.1016/j.theriogenology.2020.05.026
22. Diribarne M, Vaiman A, Péchayre M, et al: Polymorphism analysis of microsatellites associated with seven candidate genes for equine cryptorchidism. J Equine Vet Sci 2009;29:37–41. doi: 10.1016/j.jevs.2008.11.003
23. Han H, Dong H, Chen Q, et al: Transcriptomic analysis of testicular gene expression in normal and cryptorchid horses. Animals 2020;10:102. doi: 10.3390/ani10010102
24. Wilson DG, Nixon AJ: Case of equine cryptorchidism resulting from persistence of the suspensory ligament of the gonad. Equine Vet J 1986;18:412–413. doi: 10.1111/j.2042-3306.1986.tb03670.x
25. Barrett EJ, Hanson RR: Cystic rete testis in a 3-Year-Old Gypsy Vanner Colt: a case report. J Equine Vet Sci 2013;33:127–129. doi: 10.1016/j.jevs.2012.05.003
26. Klonisch T, Steger K, Kehlen A, et al: INSL3 ligand-receptor system in the equine testis. Biol Reprod 2003;68:1975–1981.
27. Pujar S, Meyers-Wallen VN: Sequence variations in equine candidate genes for XX and XY inherited disorders of sexual development. Reprod Domest Anim 2012;47:827–834. doi: 10.1111/j.1439-0531.2011.01976.x
28. Hámori D: Heredity of equine cryptorchism. Allatorvosi Lapok 1940;63:130–131.
29. Flechsig J: Erblicher Kryptorchismus bei einem Landbeschäler. Tierzucht 1950;4:208.
30. Schurink A, de Jong A, de Nooij HR, et al: Genetic parameters of cryptorchidism and testis size in Friesian colts. Livest Sci 2016;190:136–140. doi: 10.1016/j.livsci.2016.06.012
31. Raudsepp T: Genetics of equine reproductive diseases. Vet Clin North Am Equine Pract 2020;36:395–409. doi: 10.1016/j.cveq.2020.03.013
32. Castaneda C, Radovic L, Felkel S, et al: Copy number variation of horse Y chromosome genes in normal equine populations and in horses with abnormal sex development and subfertility: relationship of copy number variations with Y haplogroups. G3-Genes Genom Genet 2022;12:jkac278. doi: 10.1093/g3journal/jkac278
33. Edwards JF: Pathologic conditions of the stallion reproductive tract. Anim Reprod Sci 2008;107:197–207. doi: 10.1016/j.anireprosci.2008.05.002
34. Constant SB, Larsen RE, Asbury AC, et al: XX-male-syndrome in a cryptorchid stallion. J Am Vet Med Assoc 1994;205:83–85.
35. Nogueira PPO, Amorim GBAG, Oliveira OM, et al: Sex reversal syndrome in an Egyptian Arabian horse detected using genomic data – a case report. J Equine Vet Sci 2021;104:103692. doi: 10.1016/j.jevs.2021.103692
36. Peer M, Neuhauser S, Klaus C, et al: Laparoscopic gonadectomy in two intersex warmblood horses. J Equine Vet Sci 2012;32:117–122. doi: 10.1016/j.jevs.2011.08.011
37. Bannasch D, Rinaldo C, Millon L, et al: SRY negative 64,XX intersex phenotype in an American saddlebred horse. Vet J 2007;173:437–439. doi: 10.1016/j.tvjl.2005.11.008
38. Moreno Millán M, Demyda SE, Saleno DR: Sex chromosomes abnormalities in purebred Spanish horses with reproductive problems: cases report. Bull Univ Agric Sci Vet Med Cluj-Napoca Vet Med 2012;69:1–7.
39. Jaszczak K, Sysa P, Sacharczuk M, et al: SRY-negative, 64,XX sex reversal in a Konik Polski horse: a case report. Anim Sci Papers Rep 2010;28:381–388.
40. Buoen LC, Zhang TQ, Weber AF, et al: SRY-negative, XX intersex horses: the need for pedigree studies to examine the mode of inheritance of the condition. Equine Vet J 2000;32:78–81. doi: 10.2746/042516400777612071
41. Brito LFC, Sertich PL, Durkin K, et al: Autosomic 27 trisomy in a Standardbred colt. J Equine Vet Sci 2008;28:431–436. doi: 10.1016/j.jevs.2008.06.003
42. Dietze K, Kampmann C, Kuiper H, et al: Sex reversal syndrom bei einem fünfjährigen Friesenpferd. Pferdeheilkunde 2011;27:49–54. doi: 10.21836/PEM20110106
43. McIlwraith CW, Owen RAR: An equine cryptorchid with testicular and ovarian tissue. Equine Vet J 1976;8:156–160. doi: 10.1111/j.2042-3306.1976.tb03329.x
44. Vaughan L, Schofield W, Ennis S: SRY-negative XX sex reversal in a pony: a case report. Theriogenology 2001;55:1051–1057. doi: 10.1016/S0093-691X(01)00465-4
45. Ciotola F, Albarella S, Pasolini MP, et al: Molecular and cytogenetic studies in a case of XX SRY-negative sex reversal in an Arabian horse. Sex Dev 2012;6:104–107. doi: 10.1159/000331480
46. MeyersWallen VN, Hurtgen J, Schlafer D, et al: Sry-negative XX true hermaphroditism in a Pasa Fino horse. Equine Vet J 1997;29:404–408. doi: 10.1111/j.2042-3306.1997.tb03148.x
47. Bartmann CP, Klug E: Diagnosis, surgical management and forensic aspects of equine cryptorchidism. Tierarztl Prax G N 2001;29:175–182.
48. Hartman R, Hawkins JF, Adams SB, et al: Cryptorchidectomy in equids: 604 cases (1977–2010). J Am Vet Med Assoc 2015;246:777–784.
49. Leipold HW, DeBowes RM, Bennett S, et al: Cryptorchidism in the horse: genetic implications. Proc Ann Convention Am Assoc Equine Pract 1986;31:579–589.
50. Straticò P, Varasano V, Guerri G, et al: A retrospective study of cryptorchidectomy in horses: diagnosis, treatment, outcome and complications in 70 cases. Animals 2020;10:2446. doi: 10.3390/ani10122446
51. Rodgerson DH, Hanson RR: Cryptorchidism in horses 1. Anatomy, causes, and diagnosis. Comp Cont Educ Pract 1997;19:1280–1288.
52. Freidman R, Scott M, Heath SE, et al: The effects of increase testicular temperature on spermatogenesis in the stallion. J Reprod Fertil 1991;44:127–134.
53. Arns MJ, Neck KF, Evans JW, et al: Ultrastructural abnormalities in equine spermatozoa from a cryptorchid stallion. J Equine Vet Sci 1988;8:122–124. doi: 10.1016/S0737-0806(88)80032-7
54. Veeramachaneni DNR, Sawyer HR: Carcinoma in situ and seminoma in equine testis. Apmis 1998;106:183–185. doi: 10.1111/j.1699-0463.1998.tb01334.x
55. Almeida J, Conley AJ, Ball BA: Expression of anti-Mullerian hormone, CDKN1B, connexin 43, androgen receptor and steroidogenic enzymes in the equine cryptorchid testis. Equine Vet J 2013;45:538–545. doi: 10.1111/evj.12013
56. Bogh IB, Baltsen M, Byskov AG, et al: Testicular concentration of meiosis-activating sterol is associated with normal testicular descent. Theriogenology 2001;55:983–992. doi: 10.1016/S0093-691X(01)00459-9
57. Cattelan JW, Boleli IC, Malheiros EB, et al: Morfometria de testículos escrotais, abdominais e inguinais de eqüinos criptórquios unilaterais. Arq Bras Med Vet Zoo 2005;57:217–222. doi: 10.1590/S0102-09352005000200013
58. Coryn M, De Morr A, Bouters R, et al: Clinical, morphological and endocrinological aspects of cryptorchidism in the horse. Theriogenology 1981;16:489–496.
59. Stickle RL, Fessler JF: Retrospective study of 350 cases of equine cryptorchidism. J Am Vet Med Assoc 1978;172:343–346.
60. Aupperle H, Gerlach K, Bartmann CP, et al: Histopathological findings in the cryptorchid testes of stallions. Pferdeheilkunde 1999;15:515–522. doi: 10.21836/PEM19990606
61. Vilar JM, Batista M, Carrillo JM, et al: Histological, cytogenetic and endocrine evaluation in twenty-five unilateral cryptorchid horses. J Appl Anim Res 2018;46:441–444. doi: 10.1080/09712119.2017.1333435
62. Hunt RJ, Hay W, Collatos C, et al: Testicular seminoma associated with torsion of the spermatic cord in 2 cryptorchid stallions. J Am Vet Med Assoc 1990;197:1484–1486.
63. Parker JE, Rakestraw PC: Intra-abdominal testicular torsion in a horse without signs of colic. J Am Vet Med Assoc 1997;210:375–377.
64. Smith LJ, Perkins JD: Laparoscopic-assisted castration of a monorchid male pseudohermaphrodite pony. Equine Vet Educ 2009;21:295–299. doi: 10.2746/095777309X422979
65. Santschi EM, Juzwiak JS, Slone DE: Monorchidism in three colts. J Am Vet Med Assoc 1989;94:265–266.
66. Rakestraw P: The value of laparoscopy in equine cryptorchidism and monorchidism. Equine Vet Educ 2006;18:88–89. doi: 10.1111/j.2042-3292.2006.tb00422.x
67. Petrizzi L, Varasano V, Robbe D, et al: Monorchidism in an Appaloosa stallion. Vet Rec 2004;155:424–425. doi: 10.1136/vr.155.14.424
68. de Magalhaes JF, Costa GMJ, de Oliveira CA, et al: Monorchidism in a four-beat gaited horse. Cienc Rural 2015;45:1058–1061.
69. Loose H, Aupperle H, Schnurrbusch U, et al: Morphologische und immunhistochemische Untersuchungen am Hoden des normalen und kryptorchiden Ebers. Berl Munch Tierarztl 2002;115:407–411.
70. Lydka M, Kotula-Balak M, Kopera-Sobota I, et al: Vimentin expression in testes of Arabian stallions. Equine Vet J 2011;43:184–189. doi: 10.1111/j.2042-3306.2010.00135.x
71. Tnibar A, Tibary A, Boulouha L, et al: Ultrasonograhic and histopathological features of atypical interstitial (Leydig) cell tumors in two cryptorchid horses. J Equine Vet Sci 2006;26:370–375. doi: 10.1016/j.jevs.2006.06.009
72. De Lange V, Chiers K, Lefere L, et al: Malignant seminoma in two unilaterally cryptorchid stallions. Reprod Domest Anim 2015;50:510–513. doi: 10.1111/rda.12488
73. Smith BL, Morton LD, Watkins JP, et al: Malignant seminoma in a cryptorchid stallion. J Am Vet Med Assoc 1989;195:775–776.
74. Smith RA, Pearson LK, Wise LN, et al: Colic associated with bilateral seminoma in a cryptorchid American Miniature Horse stallion. In: SFT/ACT Annual Conference & Symposia, Milwaukee, WI, 2011. Clinical Theriogenology 3:691.
75. Hejmej A, Gorazd M, Kosiniak-Kamysz K, et al: Expression of aromatase and oestrogen receptors in reproductive tissues of the stallion and a single cryptorchid visualised by means of immunohistochemistry. Domest Anim Endocrinol 2005;29:534–547. doi: 10.1016/j.domaniend.2005.03.002
76. Lange Vd, Chiers K, Lefère L, et al: Malignant seminoma in two unilaterally cryptorchid stallions. Reprod Domest Anim 2015;50:510–513. doi: 10.1111/rda.12488
77. Cribb NC, Bouré LP: Laparoscopic removal of a large abdominal testicular teratoma in a standing horse. Vet Surg 2010;39:131–135. doi: 10.1111/j.1532-950X.2009.00618.x
78. Czimber GE: Cryptorchid testicular teratoma in a horse. Magy Allatorvosok 2021;143:579–583.
79. Leonardi L, Bertoletti A, Bellezza E, et al: Dentigerous equine teratoma in a stallion: surgical management and clinicopathology. Vet Sci 2021;8:84. doi: 10.3390/vetsci8050084
80. Pentek G, Albert M, Lukacs Z, et al: Equine testicular teratoma. Case report. Magy Allatorvosok 2001;123:529–533.
81. Ugolini LW, dos Santos FCC, da Costa GV, et al: Testicular teratoma in a unilateral right-sided abdominal cryptorchid horse. Acta Sci Vet 2019;47:409. doi: 10.22456/1679-9216.93609
82. Watkins M: Cryptorchid investigation of an adult cob pony with unknown history. Vet Rec Case Rep 2022;10:e235. doi: 10.1002/vrc2.235
83. Pasolini MP, Della Valle G, Pagano B, et al: Mature teratoma arising from an undescended testis in a horse: comparison between ultrasonographic and morphological features. Folia Morphol 2016;75:211–215. doi: 10.5603/FM.a2015.0088
84. Rijkenhuizen ABM, Lichtenberg D, Weitkamp K: Cystic intra-abdominal testicles: standing laparoscopic removal in two colts. Equine Vet Educ 2020;32:E130–E135. doi: 10.1111/eve.13030
85. Hay WP, Baskett A, Gregory CR: Testicular interstitial cell tumour and aplasia of the head of the epididymis in a cryptorchid stallion. Equine Vet Educ 1997;9:240–241. doi: 10.1111/j.2042-3292.1997.tb01316.x
86. Pratt SM, Stacy BA, Whitcomb B, et al: Malignant Sertoli cell tumor in the retained abdominal testis of a unilaterally cryptorchid horse. J Am Vet Med Assoc 2003;222:486–490. doi: 10.2460/javma.2003.222.486
87. Allison N, Moeller RB: Bilateral testicular leiomyosarcoma in a stallion. J Vet Diagn Invest 1999;11:179–182. doi: 10.1177/104063879901100214
88. Haider W, Brehm W, Keller H: Colic due to jejunal strangulation in a cryptorchid stallion. Tierärztliche Praxis 1996;24:476–478.
89. Tibary A, Ragle CA: Approach to diagnosis of cryptorchidim in the stallion. In: Proceeding of the Conference of the Moroccan Association of Equine Practictioners, Rabat, Morocco, 2017;1:1–17.
90. Pozor M: Application of various techniques in localizing retained testes in horses before cryptorchidectomy. J Equine Vet Sci 2016;43:S45–S48. doi: 10.1016/j.jevs.2016.06.076
91. Palme R, Holzmann A, Mitterer T: Measuring fecal estrogens for the diagnosis of cryptorchidism in horses. Theriogenology 1994;42:1381–1387. doi: 10.1016/0093-691X(94)90258-K
92. Cox JE, Williams JH, Rowe PH, et al: Testosterone in normal, cryptorchid and castrated male horses. Equine Vet J 1973;5:85–90. doi: 10.1111/j.2042-3306.1973.tb03200.x
93. Berndtson WE, Pickett BW, Nett TM: Reproductive physiology of the stallion. IV. Seasonal changes in the testosterone concentration of peripheral plasma. J Reprod Fertil 1974;39:115–118.
94. Cox JE, Williams JH: Some aspects of the reproductive endocrinology of the stallion and cryptorchid. J Reprod Fertil Suppl 1975;75–79.
95. Claes A, Ball BA, Corbin CJ, et al: Anti-mullerian hormone as a diagnostic marker for equine cryptorchidism in three cases with equivocal testosterone concentrations. J Equine Vet Sci 2014;34:442–445. doi: 10.1016/j.jevs.2013.09.001
96. Claes A, Ball BA, Corbin CJ, et al: Age and season affect serum testosterone concentrations in cryptorchid stallions. Vet Rec 2013;173:168. doi: 10.1136/vr.101706
97. Tsunoda N, Ito M, Koyago M, et al: Dynamic changes in endogenous hormones from the testes and pituitary in response to a single injection of human chorionic gonadotrophin (HCG) in the thoroughbred stallion. Anim Reprod Sci 2010;121S:S165–S167.
98. Cox JE, Redhead PH, Dawso FE: Comparison of the measurement of plasma testosterone and plasma oestrogens for the diagnosis of cryptorchidism in the horse. Equine Vet J 1986;18:179–182.
99. Esteller-Vico A, Ball BA, Bridges JW, et al: Changes in circulating concentrations of testosterone and estrone sulfate after human chorionic gonadotropin administration and subsequent to castration of 2-year-old stallions. Anim Reprod Sci 2021;225. doi: 10.1016/j.anireprosci.2020.106670
100. Illera JC, Silvan G, Munro CJ, et al: Amplified androstenedione enzymeimmunoassay for the diagnosis of cryptorchidism in the male horse: comparison with testosterone and estrone sulphate methods. J Steroid Biochem 2003;84:377–382. doi: 10.1016/S0960-0760(03)00057-8
101. Claes A, Ball BA, Almeida J, et al: Serum anti-Mullerian hormone concentrations in stallions: Developmental changes, seasonal variation, and differences between intact stallions, cryptorchid stallions, and geldings. Theriogenology 2013;79:1229–1235. doi: 10.1016/j.theriogenology.2013.03.019
102. Claes ANJ, Ball BA: Biological functions and clinical applications of anti-mullerian hormone in stallions and mares. Vet Clin North Am Equine Pract 2016;32:451–464.
103. Murase H, Ochi A, Tozaki T, et al: A case of equine cryptorchidism with undetectable serum anti-Mullerian hormone. J Vet Med Sci 2020;82:209–211. doi: 10.1292/jvms.18-0057
104. Röcken M, Mosel G, Litzke LF: Evaluation of diagnostic and therapeutic possibilities of laparoscopic cryptorchidectomy in the standing horse. Pferdeheilkunde 2004;20:423–431.
105. Schambourg MA, Farley JA, Marcoux M, et al: Use of transabdominal ultrasonography to determine the location of cryptorchid testes in the horse. Equine Vet J 2006;38:242–245. doi: 10.2746/042516406776866354
106. Schumcher J: Chapter 60. Testis. In Auer JA, Stick J, Kümmerle J, Prange T: editors. Equine surgery. 5th edition, St. Louis; WB Saunders: 2019:996–1034.
107. Wohlsein P, Wissdorf H, Bartmann CP: Anatomische, klinische und forensische Aspekte zur angeblichen Rückwanderung des Hodens vom Skrotum in die Bauchhöhle beim Warm- und Vollblutfohlen. Pferdeheilkunde 2018;34:327–332. doi: 10.21836/PEM20180402
108. Pozor MA, Macpherson ML, Kelleman AA: How to determine location of cryptorchid testes in stallions, using ultrasonography. Lexington; American Association of Equine Practitioners (AAEP): 2018:230–235.
109. Ras A, Rapacz A, Ras-Norynska M, et al: Clinical, hormonal and ultrasonograph approaches to diagnosing cryptorchidism in horses. Pol J Vet Sci 2010;13:473–477.
110. Braxmaier U, Litzke LF: Die transkutane Sonographie – eine zuverlässige Methode zur Diagnose des Kryptorchismus beim Pferd?. Tieraerztl Prax G N 2005;33:48–54. doi: 10.1055/s-0038-1624102
111. Coomer RPC, Gorvy DA, McKane SA, et al: Inguinal percutaneous ultrasound to locate cryptorchid testes. Equine Vet Educ 2016;28:150–154. doi: 10.1111/eve.12419
112. Beyer NF, Troillet A, Winter K, et al: Diagnostik und Therapie des Kryptorchismus – eine retrospektive Analyse von 86 Fällen. Pferdeheilkunde 2020;36:210–219. doi: 10.21836/PEM20200303
113. Jann HW, Rains JR: Diagnostic ultrasonography for evaluation of cryptorchidism in horses. J Am Vet Med Assoc 1990;196:297–300.
114. Brommer H, Grinwis GCM, Loon VV, et al: Laparoscopic-assisted diagnosis of anomalous unilateral abdominal cryptorchidism. Equine Vet Educ 2011;23:391–395. doi: 10.1111/j.2042-3292.2011.00243.x
115. Clements PE, Coomer RPC, McKane SA, et al: Clinical findings in 10 horses diagnosed with monorchidism following exploratory laparotomy or standing laparoscopic surgery. Equine Vet Educ 2020;32:431–436. doi: 10.1111/eve.13074
116. Magalhães JFd, Costa GMJ, Oliveira CAd, et al: Monorchidism in a four-beat gaited horse. Cienc Rural 2015;45:1058–1061.
117. Gardner AK, Santschi EM, Aeffner F, et al: Testicular ischaemic necrosis as a cause of equine cryptorchidism. Equine Vet Educ 2017;29:314–317. doi: 10.1111/eve.12544
118. Rijkenhuizen ABM, Harst MRvd: Castration in the standing horse combining laparoscopic and conventional techniques. Equine Vet J 2017;49:776–779.
119. Trumble TN, Hendrickson DA: Standing male equine urogenital endoscopic surgery. Vet Clin North Am Equine Pract 2000;16:269–284. doi: 10.1016/S0749-0739(17)30104-9
120. Hendrickson D: Laparoscopic cryptorchidectomy and ovariectomy in horses. Vet Clin North Am Equine Pract 2006;22:777–798. doi: 10.1016/j.cveq.2006.08.006
121. Hendrickson DA: A review of equine laparoscopy. ISRN Vet Sci 2012;2012:492650. doi: 10.5402/2012/492650
122. Sassot LN, Ragle CA, Farnsworth KD, et al: Morcellation for testes extraction in horses undergoing standing laparoscopic cryptorchidectomy. Can Vet J 2017;58:1215–1220.
123. Seabaugh KA, Goodrich LR, Morley PS, et al: Comparison of peritoneal fluid values after laparoscopic cryptorchidectomy using a vessel-sealing device (Ligasure) versus a ligating loop and removal of the descended testis. Vet Surg 2013;42:600–606. doi: 10.1111/j.1532-950X.2012.01065.x
124. Vigani A, Garcia-Pereira FL: Anesthesia and analgesia for standing equine surgery. Vet Clin North Am Equine Pract 2014;30:1–17.
125. Gaynor JS, Hubbell JA: Perineural and spinal anesthesia. Vet Clin North Am Equine Pract 1991;7:501–519. doi: 10.1016/S0749-0739(17)30483-2
126. Wittern C, Hendrickson DA, Trumble T, et al: Complications associated with administration of detomidine into the caudal epidural space in a horse. J Am Vet Med Assoc 1998;213:516–518.
127. Hendrickson DA, Wilson DG: Laparoscopic cryptorchid castration in standing horses. Vet Surg 1997;26:335–339. doi: 10.1111/j.1532-950X.1997.tb01507.x
128. Ragle CA, Southwood LL, Howlett MR: Ventral abdominal approach for laparoscopic cryptorchidectomy in horses. Vet Surg 1998;27:138–142.
129. Searle D, Dart AJ, Dart CM, et al: Equine castration: review of anatomy, approaches, techniques and complications in normal, cryptorchid and monorchid horses. Aust Vet J 1999;77:428–434. doi: 10.1111/j.1751-0813.1999.tb12083.x
130. Staffieri F, Driessen B: Field Anesthesia in the Equine. Clin Tech Equine Pract 2007;6:111–119. doi: 10.1053/j.ctep.2007.05.003
131. Mueller P: Cryptorchidim. In: Wolf DF, Moll HD: editors. Large animal urogenital surgery. 2nd edition, Philadelphia, PA; Willams and Wilkins: 1999:37–45.
132. Rodgerson DH, Hanson RR: Cryptorchidism in horses 2. Treatment. Comp Cont Educ Pract 1997;19:1372–1379.
133. Wilson DG, Reinertson EL: A modified parainguinal approach for cryptorchidectomy in horses. An evaluation in 107 horses. Vet Surg 1987;16:1–4.
134. Adams S: Cryptorchidectomy. In: N, J:editors. Current practice of equine surgery. Philadelphia, PA: J.B. Lippincott: 1990:722–726.
135. Mueller POE, Parks AH: Cryptorchidism in horses. Equine Vet Educ 1999;11:77–86. doi: 10.1111/j.2042-3292.1999.tb00926.x
136. Swift PN: Castration of a stallion with bilateral abdominal cryptorchidism by flank laparotomy. Aust Vet J 1972;48:472–473.
137. Adams A, Hendrickson DA: Standing male equine urogenital surgery. Vet Clin North Am Equine Pract 2014;30:169–190. doi: 10.1016/j.cveq.2013.11.005
138. Lowe JE, Higginbotham R: Castration of abdominal cryptorchid horses by a paramedian laparotomy approach. Cornell Vet 1969;59:121–126.
139. Fischer AT, Vachon AM: Laparoscopic intra-abdominal ligation and removal of cryptorchid testes in horses. Equine Vet J 1998;30:105–108. doi: 10.1111/j.2042-3306.1998.tb04468.x
140. Joyce J: A review of laparoscopic cryptorchidectomy. J Equine Vet Sci 2008;28:112–117. doi: 10.1016/j.jevs.2008.01.009
141. Rodgerson DH: Cryptorchidectomy. In: Ragle CA: editor. Advances in equine laparoscopy. 1st edition, Chichester; John Wiley & Sons: 2012:139–147.
142. Hand R, Rakestraw P, Taylor T: Evaluation of a vessel-sealing device for use in laparoscopic ovariectomy in mares. Vet Surg 2002;31:240–244. doi: 10.1053/jvet.2002.33482
143. Bracamonte JL, Thomas KL: Laparoscopic cryptorchidectomy with a vessel-sealing device in dorsal recumbent horses: 43 cases. Vet Surg 2017;46:559–565. doi: 10.1111/vsu.12624
144. Voermans M, Rijkenhuizen ABM, van der Velden MA: The complex blood supply to the equine testis as a cause of failure in laparoscopic castration. Equine Vet J 2006;38:35–39.
145. Voermans M, Van der Velden MA: Unsuccessful laparoscopic castration in a cryptorchid Frisian stallion. Tijdschr Diergeneesk 2006;131:774–777.
146. Rijkenhuizen A, Dijk P: Diagnostic and therapeutic laparoscopy in the horse: experiences in 236 cases. Pferdeheilkunde 2002;18:12–20.
147. Cribb NC, Koenig J, Sorge U: Comparison of laparoscopic versus conventional open cryptorchidectomies on intraoperative and postoperative complications and duration of surgery, anesthesia, and hospital stay in horses. J Am Vet Med Assoc 2015;246:885–892. doi: 10.2460/javma.246.8.885
148. Kramer J: Atypical cryptorchid castrations. Equine Vet Educ 2017;29:318–320. doi: 10.1111/eve.12575
149. Hendrickson DA: Complications of laparoscopic surgery. Vet Clin North Am Equine Pract 2008;24:557–571. doi: 10.1016/j.cveq.2008.09.003