Case Report

Canine Sertoli cell tumor: anti-Müllerian hormone, inhibin B, and estrone sulphate

Fiona Herzog,a Daniella Adams,a Alissa St. Blanc,a Jeongha Lee,b Ingeborg Langohr,b Carlos Pinto,a

aDepartment of Veterinary Clinical Sciences, bDepartment of Pathobiological Sciences and Louisiana Animal Disease Diagnostic Laboratory, Louisiana State University School of Veterinary Medicine, Baton Rouge, LA, USA

Abstract

A unilaterally castrated male boxer was referred for chronic generalized alopecia and pruritus. Physical examination revealed symmetrical alopecia, pendulous prepuce, lichenification of the scrotum, and enlargement of mammary papillae. Penile/preputial cytology revealed superficial epithelial cells. Transabdominal ultrasonographic examination revealed a globoid mass with heterogenous echogenicity in the left caudal abdomen. The presumptive diagnosis was Sertoli cell tumor (SCT) associated with cryptorchidism. Exploratory laparotomy and histology of the removed mass confirmed the diagnosis. Three weeks after surgery, serum anti-Müllerian hormone (AMH) concentrations decreased from 8,435 to 56 ng/ml and inhibin B decreased from 805 to < 6 pg/ml. Two months after surgery dermatoses subsided and there was substantial regression of enlarged nipples. This report highlights the diagnostic value of practical procedures (penile/preputial cytology, transabdominal ultrasonography, and measurement of serum AMH and inhibin B concentrations) to aid in the diagnosis of cryptorchidism and SCT, especially in patients with generalized skin conditions.

Keywords: Cryptorchidism, feminization, paraneoplastic syndrome

Citation: Clinical Theriogenology 2023, 15, 9437, http://dx.doi.org/10.58292/CT.v15.9437

Copyright: © 2023 The Author(s). This is an Open Access article distributed under the terms of the Creative Commons Attribution-NonCommercial 4.0 International License (http://creativecommons.org/licenses/by-nc/4.0/), permitting all non-commercial use, distribution, and reproduction in any medium, provided the original work is properly cited.

Published: 17 April 2023

CONTACT Carlos Pinto cpinto@lsu.edu

Competing interests and funding: Authors have none to declare.

 

Background

Canine Sertoli cell tumor (SCT) is the most common testicular neoplasm associated with feminization syndromes. The prevalence of feminization in cases of SCT has been reported as 241 and 39%,2 with an increased frequency of the syndrome occurring in cryptorchid testes.2 Clinical signs of feminization are consequent to hyperestrogenism associated with a secretory tumor. These include bilateral symmetrical alopecia of the trunk and flanks, hyperpigmentation of inguinal skin, gynecomastia, pendulous prepuce, squamous metaplasia of the prostate, and attraction by male dogs. Preputial cytology is a useful diagnostic aid in cases of SCT to determine the effects of estrogens on preputial epithelial cells; a bioassay for hyperestrogenism particularly, for dogs with feminizing signs. Additional methods of diagnosis include imaging, exploratory surgery, and histology. Limited studies have evaluated the endocrine characteristics of canine SCT. Serum estradiol concentrations had variable elevation,36 whereas inhibin concentrations increased in SCT dogs compared to controls.3,5 Serum anti-Müllerian hormone (AMH) concentrations were determined in patients with testicular and other tumors.6 These findings suggested that canine SCTs secrete several hormones that have diagnostic potential. This report describes a case of canine SCT with feminization syndrome and evaluation of serum AMH, inhibin B, and estrone sulphate concentrations before and after tumor removal.

Case presentation

A 6-year unilaterally castrated (at 6 months of age) male boxer was presented with a history of chronic alopecia and pruritus. Approximately 18 months after castration, the patient developed dermatoses and was treated for presumed atopic dermatitis for several years until referral.

At presentation, the patient’s dermatologic lesions included diffuse alopecia, moderate to severe lichenification and scaling along the sternum, axillary region, and on medial thighs (bilateral). The scrotal skin had lichenification and edema, and the prepuce was moderately pendulous and edematous. Mammary papillae were enlarged, elongated, and mildly edematous (Figures 1 and 2). The owner reported that changes to the prepuce and mammary papillae had developed concurrent with signs of alopecia. The patient was receiving 6 monthly injections of lokivetmab (a monoclonal antibody that acts against interleukin 31) for suspected atopic dermatitis. Preputial cytology revealed superficial epithelial cells.

Fig. 1.
Figure 1. Sternum, mammary gland, and prepuce (note diffuse alopecia across sternum, enlargement of mammary papillae, and pendulous prepuce)

Fig. 2.
Figure 2. Mammary gland and prepuce (note diffuse ventral alopecia, enlarged mammary papillae, and pendulous prepuce)

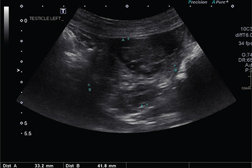
Transabdominal ultrasonography revealed an oval to globoid mass (4.2 × 3.3 cm) with irregular contour (suspected left testis), located ventro-cranially and slightly left to the urinary bladder. The mass appeared moderately cystic and heterogenous in echogenicity, with no distinct mediastinum testis (Figure 3). Mild to moderate iliac lymphadenopathy and splenic nodules were observed. Prostate measurements (35 × 32 × 40 mm) were within normal parameters for an intact dog of the patient’s size and age.7,8

Fig. 3.
Figure 3. Oblique ultrasonographic image of the irregular mass (33.2 mm between calipers A and 41.8 mm between calipers B) of suspected retained left testis (note moderate cystic and heterogenous echogenicity appearance)

Fine needle aspirates of the left medal iliac lymph node and spleen were consistent with reactive lymphoid hyperplasia and splenic nodular hyperplasia with low-grade extramedullary hematopoiesis, respectively. Thoracic radiographs had no evidence of pulmonary metastases. Complete blood cell count and serum biochemistry revealed no abnormal findings.

Treatment

An exploratory laparotomy was performed. The suspected retained left testis was lateral and adjacent to the left aspect of the urinary bladder. The left testis and a section of the spermatic cord with which it was associated, and the enlarged left medial iliac lymph node were surgically removed. Tissues were submitted for histological evaluation.

Pathology

The left testis had a multinodular appearance and measured 5.0 × 4.0 × 3.5 cm (Figure 4). The cut surface had a tan, soft, multinodular mass with multiple cysts containing brown fluid. Microscopic examination of the abdominal mass confirmed its testicular origin. Structures identified included seminiferous tubules, epididymis, and pampiniform plexus. The testis appeared enlarged and partially replaced by a neoplastic mass consistent with a SCT of diffuse growth pattern (Figure 5a). The neoplasm was partially encapsulated, infiltrative, multilobulated, composed of polygonal to elongated cells (Figure 5b) forming variably sized, coalescing lobules separated by a moderate amount of fibrous stroma and palisading along the connective tissue trabeculae. Neoplastic cells had distinct cell borders, eosinophilic to amphophilic, finely granular or clear vacuolated cytoplasm, and round to oval nuclei with finely stippled chromatin and a variably distinct nucleolus. Mild anisocytosis and anisokaryosis were present, with a mitotic count of 15 per 2.37 mm2 (equivalent to 10 FN22/400X fields or 10 high-power fields) (Figure 5d). Frequent neoplastic cells within blood vessels (tumor emboli) were also noted, including a small cluster of neoplastic cells in the pampiniform plexus (Figure 5c). Seminiferous tubules that remained at the periphery of the neoplasm were small and devoid of germ cells, denoting marked atrophy (Figure 5d) and the epididymis was similarly observed that was devoid of sperm. No evidence of metastasis was detected in the left medial iliac lymph node.

Fig. 4.
Figure 4. Photograph of retained left testis (note multinodular appearance and irregular contour) and pampiniform plexus to its right

Fig. 5.
Figure 5. Representative photomicrographs of histology of cryptorchid left testis. (a) Sertoli cell tumor compressing the markedly atrophied testicular parenchyma; bar = 1 mm. (b) Polygonal to elongated neoplastic cells palisading along the connective tissue trabeculae. A mitotic figure is in the center (arrow); bar = 50 µm. (c) Small clusters of tumor emboli (arrows) present within a vein in the pampiniform plexus; bar = 100 µm. (d) Atrophic testicular parenchyma with Sertoli cells in shrunken seminiferous tubules devoid of germ cells; bar = 200 µm.

Endocrinology

Serum samples were sent to UC Davis Endocrinology Laboratory for AMH, inhibin B, and estrone sulphate analysis by Enzyme-Linked Immunosorbent Assay (ELISA). Serum was collected prior to and 3 weeks after surgery. Serum AMH concentrations decreased from 8,435 to 56 ng/ml after tumor removal (reference interval reported as < 0.15 ng/ml for castrated dogs; Ansh Labs, Webster Texas). Serum inhibin B concentrations similarly decreased from 807 to < 6 pg/ml. Estrone sulphate concentrations were 1.5 ng/ml before surgery and 1.3 ng/ml after surgery (reference ranges for estrone sulphate and inhibin B were not reported by the laboratory).

Outcome

Dermatoses resolved 6–8 weeks after surgery. The enlargement of the mammary papillae was largely resolved by 6 months after surgery. Cranial thoracic mammary papillae were still mildly enlarged; however, the remaining papillae had returned to normal size. The patient’s signs of pruritus were satisfactorily controlled with biannual injections of lokivetmab. Consultation with the oncology service for tumor surveillance was recommended 3 months after tumor removal but was declined by the owner.

Discussion

The patient was presented with a history of chronic alopecia that poorly responded to long-term treatment for allergic dermatitis. An estrogen-secreting SCT was the cause of the patient’s hair loss. Hyperestrogenism due to exogenous or endogenous sources of estrogen is a known cause of noninflammatory alopecia.9 Clinical signs of alopecia associated with hyperestrogenism are derived from the binding of estrogen-to-estrogen receptor α that is involved in the regulation of hair follicle cycle. This binding alters the anagen-telogen phase transition of the hair follicle cycle by inducing premature catagen (regression stage) and prolonging telogen (resting phase).10 This results in a failure of hair growth that can mimic inflammatory and other noninflammatory causes of alopecia. Additional signs of feminization, including elongation of the mammary papillae and pendulous prepuce during clinical examination, prompted assessment for potential exogenous or endogenous sources of estrogen. This highlighted the importance of a thorough and problem-based approach to the clinical investigation of alopecia in male dogs. The persistence of mild pruritus after resolution of alopecia suggested that an unrelated source of inflammatory dermatitis was possible.

Superficial epithelial cells comprised the dominant cell type identified on preputial cytology, consistent with hyperestrogenism. Preputial cytology has previously been demonstrated to be a useful investigative tool in cases of SCT, in which the presence of > 20% superficial epithelial cells, as a predictor of elevated serum estradiol concentrations, had a sensitivity and specificity of 80 and 90%, respectively.11 In addition to preputial cytology, abdominal ultrasonography was an important diagnostic modality employed to determine the cause of feminization in the current patient. Abdominal ultrasonography permitted identification and localization of the retained testis, facilitating a rapid diagnosis and preparation for surgical removal.

Anti-Müllerian hormone

AMH is a glycoprotein hormone that belongs to the transforming growth factor (TGF) β-family.12 Secretion of AMH from Sertoli cells is most pronounced during fetal development and prior to puberty. In male fetus, AMH signals Mullerian duct regression, preventing formation of uterine tubes, uterus, and cranial vagina.13 AMH may have a role in regulating Leydig cell proliferation, function, and testosterone production.14 During fetal development and prior to puberty, follicle-stimulating hormone (FSH) promoted the production of AMH whereas gonadal testosterone had an inhibitory effect on AMH secretion after puberty onset.15 However, the basal expression of AMH throughout life is independent of gonadotropins.16

AMH has been a useful predictor for the presence of testicular tissue in dogs,17,18 horses19 and calves20 for scrotal and cryptorchid testes. Limited studies have also investigated its value as a clinical biomarker for canine SCT. Immunohistochemical analysis of 24 SCT expressed AMH.21 In the same study, the Sertoli cells of unaffected fetuses and pups < 45 days also expressed AMH whereas the Sertoli cells of older pups and adult dogs did not. The contrast in AMH expression between normal adult and SCT testes may attest to the diagnostic potential of AMH in canine SCT. Serum AMH concentrations in dogs with SCTs were > 22 ng/ml compared to control dogs that returned to normal concentrations (< 10 ng/ml).6 In this study, concentrations of serum AMH in CSCT patients were significantly elevated compared to dogs in both control and other tumor groups.

Serum AMH concentration declined precipitously after surgery. A similar trend was observed22 where a patient that was investigated for nonpruritic alopecia had markedly elevated serum AMH concentrations compared to 2 intact control dogs. A SCT affected cryptorchid testis was identified, and 3 months following surgical removal, serum AMH concentrations declined in this patient to concentrations similar to 2 castrated control dogs.

Serum AMH concentrations after surgery were 56 ng/ml. Serum AMH concentrations reference ranges (Ansh Labs, Webster, Texas) for intact and castrated male dogs are 0.2–73.4 ng/ml and < 0.15 ng/ml, respectively. In this patient, AMH concentrations therefore did not decline to baseline concentrations 3 weeks after surgery. There are no reports on the half-life of AMH in dogs, although a relatively prolonged half-life of 1.5 days has been described in stallions.19 Persistence of AMH above baseline concentrations 3 weeks after surgical removal of the SCT may reflect a similarly long half-life in dogs, the marked elevation in serum AMH prior to surgery, or the presence of a secondary tumor.

Inhibin B

Inhibin is a glycoprotein hormone that contains an α and 1 of 2 possible β subunits designated βA (inhibin A) or βB (inhibin B).23 Inhibin B is the predominant isoform in the adult male of several species including boar,24 stallion,25 rat,26 and human.27 Inhibin exerts a regulatory role on FSH secretion from the anterior pituitary gland. Production of inhibin is stimulated by FSH, whereas inhibin has a conversely inhibitory effect on FSH release, completing a negative feedback loop.28

The principal source of inhibin has historically been considered to be Sertoli cells.28 However, inhibin subunits were expressed in Leydig or germ cells and the cellular source of inhibin varied with species and changed during transitions from fetal, neonatal, and adult life.2933 Inhibin α expression was only detected in Sertoli cells of neonates,34,35 whereas inhibin was expressed in Leydig cells of both neonate and adult testes.35,36 These studies indicated a possible shift of inhibin production from Sertoli to Leydig cell origin from neonatal to adult life in dogs. Reports on inhibin expression in canine SCTs have been inconsistent. Inhibin α was expressed in 13 of 21 canine SCT34 and none of the 5 canine SCTs.36

Serum inhibin B in this case markedly declined from 805 ng/ml prior to surgery to nondetectable concentrations (< 6 pg/ml) at 3 weeks after tumor removal. Concentrations of serum inhibin B have not been reported in dogs. Inhibin detected by radioimmunoassay (RIA) has been reported for normal intact and castrated dogs as 0.51–2.50, and 0.05–0.11 ng/ml, respectively.37 Antibody utilized in this assay is known to detect many forms of inhibin, including the free α subunit and inhibin α-β dimers (inhibin A and B).38 Therefore, it is not possible to make a direct comparison between inhibin B concentrations determined by ELISA in the present report inhibin concentrations were determined via RIA.

Given the rapid decline in inhibin B to noneditable concentrations after tumor removal, it would seem reasonable to suspect that the neoplastic testis to be the origin of this hormone in the patient prior to surgery. In the absence of reference ranges for normal intact males, it cannot be determined if concentrations of inhibin B in patient’s presurgical serum sample were due to the presence of normal or neoplastic testicular tissue. The hypothesis that a SCT may be a source of peripheral elevations in serum inhibin concentrations is supported.3,5 An increase in serum inhibin-like immunoreactivity was (determined by RIA) detected in 95 and 53 dogs with SCT compared to controls. Further studies to investigate the potential of inhibin B as a marker of gonadal status or neoplastic conditions of the testis may be warranted.

Estrone sulphate

Estrogen is produced in the male gonad by the aromatization of androgens through the action of cytochrome P450 aromatase.39 In mammalian species testes, aromatase expression has been predominantly localized to Leydig cells. However, species variations in the cellular distribution of this expression across Leydig, Sertoli, germ cells, and sperm exist.39 Cellular expression of aromatase has also been documented in canine SCTs.40 Estrogens in circulation are comprised of 3 forms: estradiol, estrone, and estriol. Conjugation of estrone by estrone sulfotransferase resulted in the formation of estrone sulphate.41 Estrone sulphate is produced in substantial quantities in stallion42 and boar43 testis and by the feto-placental unit of many domestic species including mare,44 ewe,45 doe,46 and sow.47

Estradiol concentrations have been variably elevated in cases of SCT36 and did not always correlate with feminization.3 Dogs with SCT had significantly higher estradiol concentrations compared to controls, although estradiol was only above the reference range for some patients.4,5 It has been suggested that clinical signs of feminization with normal estradiol reflect secretion of other forms of estrogen by SCTs.4 In the present case, serum estrone sulphate concentrations were 1.5 and 1.3 ng/ml in pre and postsurgical samples, respectively. Minimal changes in serum estrone sulphate concentrations after tumor removal in this patient may reflect extra-gonadal sources. However, in the absence of established reference ranges for estrone sulphate in male castrated or intact dogs, the interpretation of this result is largely speculative. The clinical significance of this finding remains undetermined.

Histological examination of the neoplastic testis and spermatic cord revealed tumor emboli within testis and pampiniform plexus blood vessels, implicating a risk of metastatic disease. Metastatic spread to the medial iliac lymph node has been described.48 However, in the present case, histological evaluation of the enlarged left medial iliac lymph node revealed no neoplastic cells. Preoperative thoracic radiographs also had no evidence of pulmonary metastasis. Based on limited literature reports, the rate of metastatic disease in SCT appears to be 2–8%.1,49 However, metastatic spread of SCT has manifested up to 4 years after removal of the primary tumor.50 For cases with metastatic disease, the prognosis should be considered poor.48,5154 For these reasons, and in light of significant concentrations of serum AMH concentrations remaining 3 weeks after surgical removal of the neoplastic testis, an appointment for tumor surveillance 3 months after surgery was recommended.

Learning points

References

1. Lipowitze AJ, Schwartz A, Wilson GP, et al: Testicular neoplasms and concomitant clinical changes in the dog. J Am Vet Med Assoc 1973;163:1364–1368.
2. Reif JS: The relationship between cryptorchidism and canine testicular neoplasia. J Am Vet Med Assoc 1969;155:2005–2010.
3. Grootenhuis AJ, VanSluijs FJ, Klaij IA, et al: Inhibin, gonadotrophins and sex steroids in dogs with Sertoli cell tumours. J Endocrinol 1990;127:235–242. doi: 10.1677/joe.0.1270235
4. Mischke R, Meurer D, Hoppen HO, et al: Blood plasma concentrations of oestradiol-17β, testosterone and testosterone/oestradiol ratio in dogs with neoplastic and degenerative testicular disease. Res Vet Sci 2002;73:267–272. doi: 10.1016/S0034-5288(02)00100-5
5. Peters MAJ, de Jong FH, Teerds KJ, et al: Ageing, testicular tumours and the pituitary-testis axis in dogs. J Endocrinol 2000;166:153–161. doi: 10.1677/joe.0.1660153
6. Ström Holst B, Dreimanis U: Anti-Mullerian hormone: a potentially useful biomarker for the diagnosis of canine Sertoli cell tumours. BMC Vet Res 2015;11:166–173. doi: 10.1186/s12917-015-0487-5
7. Atalan G, Holt PE, Barr JF: Ultrasonographic estimation of prostate size in normal dogs and relationship to bodyweight and age. J Small Anim Pract 1999;40:199–122. doi: 10.1111/j.1748-5827.1999.tb03052.x
8. Ruel Y, Barthez PY, Mailles A, et al: Ultrasonographic evaluation of the prostate in healthy intact dogs. Vet Radiol Ultrasound 1998;39:112–216. doi: 10.1111/j.1740-8261.1998.tb00342.x
9. Mecklenburg L: Canine hyperestrogenism. In: Mecklenburg L, Linek M, Desomond JT: editors. Hair Loss Disorders in Domestric Animals. 1st Edition, Ames; Wiley-Blackwell: 2009. p.93–175.
10. Hu H, Zhang S, Lei X, et al: Estrogen leads to reversible hair cycle retardation through inducing premature catagen and maintaining telogen. PLoS One 2012;7:e40124. doi: 10.1371/journal.pone.0040124
11. Dreimanis U, Vargmar K, Falk T, et al: Evaluation of preputial cytology in diagnosing oestrogen producing testicular tumours in dogs. J Small Anim Pract 2012;53:536–541. doi: 10.1111/j.1748-5827.2012.01261.x
12. Josso N, di Clemente N: TGF-b family members and gonadal development. Trends Endocinol Metab 1999;10:216–222. doi: 10.1016/S1043-2760(99)00155-1
13. Josso N: AntiMullerian hormone: new perspectives for a sexist molecule. Endocrinol Rev 1986;7:421–433. doi: 10.1210/edrv-7-4-421
14. Racine C, Rey R, Maguelone G, et al: Receptors for anti-Mullerian hormone on Leydig cells are responsible for its effects on steroidogenesis and cell differentiation. Proc Nat Acad Sci 1998;95:594–599. doi: 10.1073/pnas.95.2.594
15. Lasala C, Carre-eusebe D, Picard J, et al: Subcellular and molecular mechanisms regulating anti-Müllerian hormone gene expression in mammalian and nonmammalian species. DNA Cell Bio 2004;23:572–585. doi: 10.1089/dna.2004.23.572
16. Josso E, Rey RA, Picard J: Anti-Müllerian hormone: a valuable addition to the toolbox of the pediatric endocrinologist. Int J Endocrinol 2013;2013:674105. doi: 10.1155/2013/674105
17. Axel PN, Themmen D, Kalra B, et al: The use of anti-Müllerian hormone as diagnostic for gonadectomy status in dogs. Theriogenology 2016;86:1467–1474. doi: 10.1016/j.theriogenology.2016.05.004
18. Gharagozlou F, Youssefi R, Akbarinejad V, et al: Anti-Müllerian hormone: a potential biomarker for differential diagnosis of cryptorchidism in dogs. Vet Rec 2014;175:460. doi: 10.1136/vr.102611
19. Claes A, Ball BA, Almeida J, et al: Serum anti-Müllerian hormone concentrations in stallions: developmental changes, seasonal variation, and differences between intact stallions, cryptorchid stallions, and geldings. Theriogenology 2013;79:1229–1235. doi: 10.1016/j.theriogenology.2013.03.019
20. Kitahara G, Ali HE, Sato T, et al: Anti-Mullerian hormone (AMH) profiles as a novel biomarker to evaluate the existence of a functional cryptorchid testis in Japanese Black calves. J Reprod Dev 2012;58:310–315. doi: 10.1262/jrd.11-072T
21. Banco B, Veronesi MC, Giudice C, et al: Immunohistochemical evaluation of the expression of anti-Mullerian hormone in mature, immature and neoplastic canine Sertoli cells. J Comp Pathol 2012;143:239–247. doi: 10.1016/j.jcpa.2010.04.001
22. Hitoshi A, Hidaka Y, Katamoto H: Evaluation of anti-Mullerian hormone in a dog with a Sertoli cell tumour. Vet Dermatol 2014;25:142–146. doi: 10.1111/vde.12112
23. Ying SY: Inhibins, activins, and follistatins: Gonadal proteins modulating the secretion of follicle-stimulating hormone. Endocr Rev 1988;9:267–293. doi: 10.1210/edrv-9-2-267
24. Jin W, Arai KY, Herath CB, et al: Inhibins in the male Gottingen miniature pig: Leydig cells are the predominant source of inhibin B. J Androl 2001;22:951–960. doi: 10.1002/j.1939-4640.2001.tb03435.x
25. Ball BA, Davolli GM, Esteller-Vico A, et al: Inhibin-A and inhibin-B in stallions: seasonal changes and changes after down-regulation of the hypothalamic-pituitary-gonadal axis. Theriogenology 2019;123:108–115. doi: 10.1016/j.theriogenology.2018.09.036
26. Woodruff TK, Besecke LM, Groome N, et al: Inhibin A and inhibin B are inversely correlated to follicle-stimulating hormone, yet are discordant during the follicular phase of the rat estrous cycle, and inhibin A is expressed in a sexually dimorphic manner. Endocrinol 1996;137:5463–5467. doi: 10.1210/endo.137.12.8940372
27. Anawalt BD, Bebb RA, Matsumoto AM, et al: Serum Inhibin B levels reflect Sertoli cell function in normal men and men with testicular dysfunction. J Clin Endocrinol Metab 1996;81:3341–3345. doi: 10.1210/jc.81.9.3341
28. Meachem SJ, Nieschlag E, Simoni M: Inhibin B in male reproduction: pathophysiology and clinical relevance. Eur J Endocrinol 2001;145:561–571. doi: 10.1530/eje.0.1450561
29. Andersson A, Müller J, Skakkebaek NE: Different roles of prepubertal and postpubertal germ cells and Sertoli cells in the regulation of serum inhibin B levels. J Clin Endocrinol Metab 1998;83:4451–4458. doi: 10.1210/jc.83.12.4451
30. Kaneko H, Noguchi J, Kikuchi K, et al: Molecular weight forms of inhibin A and inhibin B in the bovine testis change with age. Biol Reprod 2003;68:1918–1925. doi: 10.1095/biolreprod.102.012856
31. McNeilly AS, Souza CJH, Baird DT, et al: Production of inhibin A not B in rams: changes in plasma inhibin A during testis growth, and expression of inhibin/activin subunit mRNA and protein in adult testis. Reproduction 2002;123:827–835. doi: 10.1530/rep.0.1230827
32. Ohnuma K, Kaneko H, Noguchi J, et al: Production of inhibin A and inhibin B in boars: changes in testicular and circulating levels of dimeric inhibins and characterization of inhibin forms during testis growth. Domest Anim Endocrinol 2007;33:410–421. doi: 10.1016/j.domaniend.2006.08.004
33. Tanaka Y, Taniyama H, Tsunoda N, et al: The testis as a major source of circulating inhibins in the male equine fetus during the second half of gestation. J Androl 2002;23:229–236.
34. Banco B, Giudice C, Veronesi MC, et al: An immunohistochemical study of normal and neoplastic canine Sertoli cells. J Comp Pathol 2010;143:239–247. doi: 10.1016/j.jcpa.2010.04.001
35. Grieco V, Banco B, Ferrari A, et al: Inhibin-α immunohistochemical expression in mature and immature canine Sertoli and Leydig cells. Reprod Domest Anim 2011;46:920–923. doi: 10.1111/j.1439-0531.2011.01784.x
36. Taniyama H, Hirayama K, Nakada K, et al: Immunohistochemical detection of inhibin-alpha, -betaB, and -betaA chains and 3beta-hydroxysteroid dehydrogenase in canine testicular tumors and normal testes. Vet Pathol 2001;38:661–666. doi: 10.1354/vp.38-6-661
37. Bromel C, Nelson RW, Feldman EC, et al: Serum inhibin concentration in dogs with adrenal gland disease and in healthy dogs. J Vet Intern Med 2013;27:76–82. doi: 10.1111/jvim.12027
38. Robertson DM, Giacometti M, Foulds LM: Isolation of inhibin α-subunit precursor proteins from bovine follicular fluid. Endocrinol 1989;125:2141–2149. doi: 10.1210/endo-125-4-2141
39. Carreau S, Genissel C, Bilinska B, et al: Sources of oestrogen in the testis and reproductive tract. Int J Androl 1999;22:211–223. doi: 10.1046/j.1365-2605.1999.00172.x
40. Peters MAJ, Mol JA, van Wolferen ME, et al: Expression of the insulin-like growth factor (IGF) system and steroidogenic enzymes in canine testis tumors. Reprod Biol Endocrinol 2003;1:22. doi: 10.1186/1477-7827-1-22
41. Barbosa AS, Feng Y, Yu C, et al: Estrogen sulfotransferase in the metabolism of estrogenic drugs and in the pathogenesis of diseases. Expert Opin Drug Metab Toxicol 2019;5:329–399. doi: 10.1080/17425255.2019.1588884
42. Raeside JI: Seasonal changes in the concentration of estrogen and testosterone in the plasma of the stallion. Anim Reprod Sci 1979;1:205–212. doi: 10.1016/0378-4320(79)90002-2
43. Hoffmann B, Rostalski A, Mutembei HM, et al: Testicular steroid hormone secretion in the boar and expression of testicular and epididymal steroid sulphatase and estrogen sulphotransferase. Exp Clin Endocrinol Diabetes 2010;118:274–280. doi: 10.1055/s-0029-1231082
44. Conley AJ: Review of the reproductive endocrinology of the pregnant and parturient mare. Theriogenology 2016;86:355–365. doi: 10.1016/j.theriogenology.2016.04.049
45. Tsang CPW: Plasma levels of estrone sulfate, free estrogens and progesterone in the pregnant ewe throughout gestation. Theriogenology 1978;10:97–110. doi: 10.1016/0093-691X(78)90084-5
46. Refsal KR, Marteniuk JV, Williams CSF, et al: Concentrations of estrone sulfate in peripheral serum of pregnant goats: relationships with gestation length, fetal number and the occurrence of fetal death. Theriogenology 1991;36:449–461. doi: 10.1016/0093-691X(91)90474-R
47. Hattersley JP, Drane HM, Matthews JG, et al: Estimation of oestrone sulphate in the serum of pregnant sows. J Reprod Fertil 1980;58:7–12. doi: 10.1530/jrf.0.0580007
48. Withers SS, Lawson CM, Burton AG, et al: Management of an invasive and metastatic Sertoli cell tumor with associated myelotoxicosis in a dog. Can Vet J 2016;57:299–304.
49. Weaver AD: Survey with follow-up of 67 dogs with testicular sertoli cell tumours. Vet Rec 1983;113:105–106. doi: 10.1136/vr.113.5.105
50. Gopinath D, Draffan D, Philbey AW, et al: Use of intralesional oestradiol concentration to identify a functional pulmonary metastasis of canine sertoli cell tumour. J Small Anim Pract 2009;50:198–200. doi: 10.1111/j.1748-5827.2008.00671.x
51. Barrand KB, Scudamo CL: Canine hypertrophic osteoarthropathy associated with a malignant Sertoli cell tumour. J Small Anim Prac 2001;42:143–145. doi: 10.1111/j.1748-5827.2001.tb02011.x
52. Dhaliwal RS, Kitchell BE, Knight BL, et al: Treatment of aggressive testicular tumors in four dogs. J Am An Hosp Assoc 1999;35:311–318. doi: 10.5326/15473317-35-4-311
53. Theilen GH, Madewell BR: Tumors of the genital system. In: Madewell BR, Theilen GH: editors. Veterinary cancer medicine. 2nd edition, Philadelphia; Lea and Febiger: 1987. p. 583–600.
54. Warland J, Constantino-Casas F, Dobson J: Hyperoestrogenism and mammary adenosis associated with a metastatic Sertoli cell tumour in a male Pekingese dog. Vet Quart 2014;31:211–214. doi: 10.1080/01652176.2011.653593