Case Report

Double cervices in a Gypsy Vanner mare

Joanna Kania,a Katie Wilson,a Terje Raudsepp,b Caitlin Castaneda,b Matthew Jevit,b Maria Horteloup,c Nadia Saklou,a Catherine Jula,a Rebecca Funka

aDepartment of Large Animal Clinical Sciences, Virginia College of Veterinary Medicine, Blacksburg, VA, USA;
bDepartment of Veterinary Integrative Biosciences, Texas A&M University, School of Veterinary Medicine and Biosciences, College Station, TX, USA;
cNUTREP, LLC, Blacksburg, VA, USA

Abstract

A 7-year, purebred Gypsy Vanner, maiden mare was presented with abnormal cervical tissue that was detected during prebreeding examination. External vulvar examination, transrectal and ultrasonographic examination of uterus, and internal vaginal vault and cervical examination (via speculum and endoscopy) were conducted. Karyotype analysis included sex chromosome study with dual-color fluorescence in situ hybridization and polymerase chain reaction for SRY gene. Mare had normal 64,XX karyotype with no evidence of mosaicism. Two distinct, patent, cervical ora separated by a frenulum, leading to a single uterine body, were observed. It was recommended to avoid breeding because of dystocia risk. To the authors’ knowledge, this is the first reported case of this nature in a mare.

Keywords: Mare, reproductive anomaly, double cervices, fluorescence in situ hybridization, karyotyping

Citation: Clinical Theriogenology 2023, 15, 9395, http://dx.doi.org/10.58292/CT.v15.9395

Copyright: © 2023 The Author(s). This is an Open Access article distributed under the terms of the Creative Commons Attribution-NonCommercial 4.0 International License (http://creativecommons.org/licenses/by-nc/4.0/), permitting all non-commercial use, distribution, and reproduction in any medium, provided the original work is properly cited.

Published: 05 April 2023

CONTACT Rebecca Funk rafunk@vt.edu

Competing interests and funding: None to report.

 

Background

Any deviation from normal sexual development, whether chromosomal, gonadal, or anatomical, is referred to as disorders in sexual development (DSD).1 In horses, DSDs are understudied but not uncommon and clinical manifestations are often associated with reproductive problems. Normal development of cervix and uterus rely on appropriate differentiation of Müllerian duct and urogenital sinus. In people, abnormalities of Müllerian duct formation resulted in congenital uterine and cervical aberrations.2 Congenital uterine and cervical abnormalities in mares were observed in draft breeds; however, breed associations of DSDs were not fully investigated.35 Although these structural abnormalities are not necessarily associated with infertility, chromosome analysis is useful in exploring fertility complications. Compromised fertility was noted in an Irish cob mare with congenital cervical abnormality and concurrent chromosomal aberration (mosaic aneuploidy of the X chromosome).5 This case report describes double cervices in a 7-year mare with no other reproductive tract, chromosomal, or karyotype abnormalities.

Case presentation

A 7-year, Gypsy Vanner (also known as Irish Cob) maiden mare was referred for investigation of abnormal cervical anatomy detected during a prebreeding evaluation. Mare had a history of recurrent colic but was otherwise apparently healthy. Complete reproductive evaluation was warranted because the mare was intended for breeding.

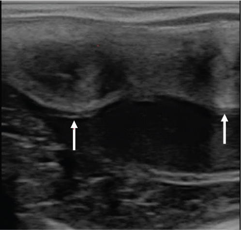
On presentation, mare was bright and alert. Her external genitalia had upright vulvar orientation, ~ 80% vulvar opening was below pelvic brim with appropriate vulvar and vulvo-vaginal seals. Transrectal palpation revealed symmetrical uterine horns and ovaries of adequate size, shape, tone, and texture for a cyclic, maiden, draft mare. Transrectal ultrasonography revealed normal uterus with no cysts, fluid, or edema. Mare had 1 uterine body with 2 distinct uterine horns visualized from the bifurcation of the uterus. Both ovaries had a corpus luteum. Two firm, taught cervices were felt and could be followed to caudal uterine body (Figure 1).

Fig. 1.
Figure 1. Ultrasonogram of caudal reproductive tract (note 2 analogous cervices [arrows]).

Mare had adequate vulvo-vaginal seal when speculum was inserted. Moderate amount of thick and white mucus was present on vaginal vault’s ventral aspect. Two patent, cervical ora were identified at the cranial surface of the vault that had normal tone, size, and structure. A thin (~ 2 cm) frenulum was noticed between the 2 cervices. A sterile endoscope was initially inserted through the right cervix and her uterus was insufflated and visualized (Figure 2). There was scant amount of thick and white mucus in the uterus. Uterine lining, both uterine horns, oviductal papillae, and uterine bifurcation were visualized in their entirety and were unremarkable. Endoscope was removed from the right cervix and passed through the left cervical os into uterine body. Scope was retroflexed to obtain an image of both cervical openings within uterine body lumen.

Fig. 2.
Figure 2. Endoscopic images of two cervicies (A), frenelum between 2 cervices (B), uterine body lumen (C)

Blood sample was collected for short-term pokeweed-stimulated lymphocyte culture. Thirty metaphase cells were analyzed; seven were karyotyped that identified a 64,XX female karyotype with no observed chromosomal abnormalities. Polymerase chain reaction (PCR) for the Y-linked male sex determination gene SRY was negative, consistent with XX sex chromosomes.

To verify nonmosaic 64,XX karyotype, dual-color fluorescence in situ hybridization (FISH) was conducted with a combination of 2 probes: flow-sorted horse X chromosome painting probe and probe specific to equine testis-specific transcript 7 (ETSTY7) ampliconic array that is present in X and Y chromosomes.68 Probes were labeled by nick translation (i.e. X painting probe) with biotin using Biotin-Nick Translation Mix and ETSTY7 with digoxigenin using DIG-Nick Translation Mix [Roche Diagnostics, Basel, Switzerland], following manufacturer’s protocol. Hybridization and signal detection followed standard protocols described.8 Biotin-labeled probes were detected with Alexa Fluor® 488 streptavidin conjugate (Molecular Probes, Life Technologies, Carlsbad, CA) and digoxigenin-labeled probes with DyLight®594 antidigoxigenin conjugate (Vector Laboratories, Burlingame, CA). Chromosomes were counterstained with 4’,6-diamidino-2-phenylindole. One hundred cells were analyzed using a motorized fluorescence microscope (Axio Imager M2p [Zeiss]) equipped with a high-resolution progressive scan CCD camera CoolCube 1 and Isis v5.3.18 software (MetaSystems GmbH, Altlußheim, Germany). FISH with probes specific for equine sex chromosomes (Figure 3) was consistent with the results of karyotyping (all 100 cells had 64,XX karyotype). There was no evidence for mosaicism for XY cells or cells with a single X chromosome.

Fig. 3.
Figure 3. A typical 64,XX cell as revealed by fluorescence in situ hybridization (FISH) with equine X chromosome painting probe (green) and a probe for ETSTY7 ampliconic array (arrows), the latter present in X and Y chromosomes

Mare was diagnosed with an isolated DSD, namely double cervical ora without other concurrent genetic, structural, or reproductive abnormalities. No further diagnostics or interventions were performed and the mare was discharged with recommendations against carrying a foal due to risk for dystocia.

Discussion

Dual cervical ora has been previously reported in a maiden Gypsy Vanner mare, with concurrent uterine didelphys and chromosomal abnormalities.5 Although complete uterine didelphys (2 separate reproductive tracts from vaginal vault to uterine horn) is a normal anatomy in several mammals (e.g., marsupials and rodents),9,10 in the mare 1 vaginal vault and cervix leading to bicornate uterine body is the norm. Reproductive tract abnormalities were documented in several species due to partial or full failure of fusion of the Müllerian ducts.10 Abnormalities documented in normally monodelphic (1 reproductive tract) animals were bands of tissue remaining within the cervical os and/or canal, double external cervical os joining into 1 cervical canal, or, rarely 2 external cervices each leading to a uterine horn separated by a complete septum (true didelphys).11 Rarely, 2 complete and separate cervical canals opening into 1, structurally normal, uterus were observed. Brown throated sloth (Bradypus variegatus) has a simplex uterus with 2 complete cervical canals (considered normal anatomy).12

A case of rare DSD (cervical duplication) in the absence of chromosomal aberrations is documented. This was confirmed by an initial cytogenetic analysis of 30 cells, followed by FISH analysis of sex chromosomes in 100 cells, ruling out low-level mosaicism for a chromosomally aberrant cell line. Causative factor(s) and incidence of cervical anomalies in horses have not been identified. Documentation of 2 mares of the same breed with DSD should warrant further exploration into a possible breed disposition for these conditions.5 There was no evidence of infertility in this patient; however, parturition complications are possible. Although there is limited information on parturition complications in patients with isolated double cervices, there have been studies that explored parturition complications in patients with vaginal septa. Vaginal dystocia was common in these patients and often the reason for discovering the anomaly.13,14 Although double cervices are different from vaginal septa, they both cause an obstruction of the egress from the uterus.

During embryogenesis, SRY gene differentiates gonads into testes. Typically, this gene is on Y chromosome; however, in some cases in people it was on X chromosomes that was associated with DSDs.15 Since this mare was SRY-negative, an SRY anomaly was not responsible for DSD.

This case report highlighted the importance of thorough examination of potential breeding animals including vaginoscopy and hysteroscopy. Karyotype analysis is not commonly performed; however, it can be helpful in identifying potential DSD. As demonstrated in this case, some forms of DSD are chromosomally normal, suggesting possible involvement of submicroscopic genetic changes. In addition, exposure to some endocrine-disrupting agents altered uterine development in other species.16 The broad range of possible disruptions to normal sexual development in horses is not as widely documented as. in other species, nor are they fully understood. Further study of causative factors in horses will increase understanding and better handling of unusual DSD cases.

Learning points

References

1. Allen L: Disorders of sexual development. Obstet Gynecol Clin North Am 2009;36:24–45. doi: 10.1016/j.ogc.2009.02.001
2. Golan A, Langer R, Bukovsky I, et al: Congenital anomalies of the Müllerian system. Fertil Steril 1989;51:747–755. doi: 10.1016/S0015-0282(16)60660-X
3. Volkmann D, Gilbert R: Uterus bicollis in a Clydesdale mare. Equine Vet J 1989;21:71. doi: 10.1111/j.2042-3306.1989.tb02093.x
4. Blue MG: A uterocervical anomaly (Uterus bicorpor bicollis) in a mare and the manual disruption of early bilateral pregnancies. N Z Vet J 1985;33:17–19. doi: 10.1080/00480169.1985.35137
5. Murcia-Robayo RY: An unusual case of uterus didelphys in an infertile mare with mosaic X-chromosome aneuploidy. Reprod Biol Endocrin 2018;2:22–25.
6. Raudsepp T, Chowdhary BP: Construction of chromosome specific paints for meta- and submeta-centric autosomes and the sex chromosomes in horse and their use to homologous chromosomal segments in donkey. Chromosome Res 1999;6:103–114.
7. Janečka JE, Davis BW, Ghosh S, et al: Horse Y chromosome assembly displays unique evolutionary features and putative stallion fertility genes. Nat Commun 2018;9:2945. doi: 10.1038/s41467-018-05290-6
8. Raudsepp T, Chowdhary BP: FISH for mapping single copy genes. Methods Mol Biol 2008;422:31–49. doi: 10.1007/978-1-59745-581-7_3
9. Machado DA, Ontiveros AE, Behringer RR: Mammalian uterine morphogenesis and variations. In: Gridley T, Oxburgh L, eds. Current topics in developmental biology. Vol. 148. Cambridge, MA: Academic Press; 2022, pp. 51–77.
10. Spencer TE, Hayashi K, Hu J, et al: Comparative developmental biology of the mammalian uterus. In: Schatten G, ed. Current topics in developmental biology. Vol. 68. Cambridge, MA: Academic Press; 2005, pp. 85–122.
11. Card C: Congenital abnormalities of the cervix in mares. Equine Vet Ed 2012;24:347–350. doi: 10.1111/j.2042-3292.2011.00363.x
12. Favoretto SM, daSilva EG, Menezes J, et al: Reproductive system of Brown- throated Sloth (Bradypus variegatus, Schinz 1825, Pilosa, Xenarthra): anatomy and histology. Anat Histol Embryol 2016;45:249–259. doi: 10.1111/ahe.12193
13. Heinonen PK: Longitudinal vaginal septum. Eur J Obstet Gynecol Reprod Biol 1982;13:253–258. doi: 10.1016/0028-2243(82)90106-X
14. Gormley RK, Crabtree JR: Female caudal reproductive tract abnormalities. Equine Vet Edu 2021;33:411–414. doi: 10.1111/eve.13307
15. Albu CC, Albu DF, Muşat AR, et al: The crucial role of SRY gene in the determination of human genetic sex: 46, XX disorder of sex development. Rom J Morphol 2019;60:1311–1316.
16. Schimpf MG, Milesi MM, Luque EH et al: Evaluation of development of the rat uterus as a toxicity biomarker. In: Palmeira CMM, de Oliveira DP, Dorta DJ, eds. Toxicity assessment methods and protocols. Methods in Molecular Biology, Vol. 2240. Clifton, N.J.: Springer Protocols; 2021, pp. 103–117.