Case Report

Pregnancy and spontaneous partial abortion associated with salmonella in a dog

Anum Ahmed,a Connor Ellis,b Audrey Kellemana

aDepartment of Large Animal Clinical Sciences, bDepartment of Small Animal Clinical Sciences, University of Florida College of Veterinary Medicine, Gainesville, FL, USA

Abstract

A 2-year mixed breed dog was presented on day 50 after breeding for an emergency condition (greenish brown vulvar discharge and abortion). The patient was underweight (lower body condition score), had nonfetid vulvar discharge, and was negative for Ferguson reflux. Patient had 10 premature fetuses (determined via transabdominal ultrasonography and radiography). Serum progesterone concentration was 1.25 ng/ml. Overnight hospitalization therapies included intravenous fluids, terbutaline, fenbendazole, altrenogest, progesterone, and antibiotics. Based on vaginal discharge culture results (salmonella), antibiotics treatment was altered. Three days later, neutrophilia with left shift and a fetal death were observed. Because cesarean surgery with ovariohysterectomy was declined by the owner, altrenogest and terbutaline treatments were discontinued to permit whelping. Patient was in dystocia after delivering 2 stillborn and 2 live pups. One pup was delivered medically and 1 necrotic pup via cesarean surgery. Intrauterine culture (collected during surgery) was negative. On day 7 postpartum, the patient and 3 remaining pups were healthy. This case demonstrated the difficulties of managing fetal-placental infections.

Keywords: Dog, pregnancy, fetal death, infection, dystocia

Citation: Clinical Theriogenology 2023, 15, 9379, http://dx.doi.org/10.58292/CT.v15.9379

Copyright: © 2023 The Author(s). This is an Open Access article distributed under the terms of the Creative Commons Attribution-NonCommercial 4.0 International License (http://creativecommons.org/licenses/by-nc/4.0/), permitting all non-commercial use, distribution, and reproduction in any medium, provided the original work is properly cited.

Published: 28 March 2023

CONTACT Anum Ahmed soclean13@ufl.edu

Competing interests and funding: Anum Ahmed’s residency program was funded by the American Kennel Club/Canine Health Foundation/Theriogenology Foundation grant. Authors report no conflict of interest.

 

Background

Abortion is defined as the expulsion of a dead or a living fetus that is incapable of having independent life.1 Abortions typically occur during the second half of pregnancy. Other categories of pregnancy loss include early embryonic death up to 35 days (prior to fetal organogenesis) of pregnancy or stillbirth of mature dead fetus at term.1,2 Causes of abortion are infectious (bacterial, viral, protozoal, or fungal) and noninfectious categories.3 Duration of canine pregnancy can be defined in a number of ways, with the least accurate based on the number of days after a single mating (ranged from 57 to 72 days).2 This wide range is due to breeding early in estrus or late at the start of diestrus. Final fetal maturation only occurs in the last 1 – 2 days of pregnancy. Delivery of premature fetuses generally results in decline and/or neonatal death.2 Challenges due to salmonella infection with the management of fetal-placental infections are described.

Case presentation

A 2-year-old Bernese Mountain/standard poodle mixed breed (bernedoodle) pregnant dog was presented at a veterinary clinic on day 50 after a single natural breeding, for a brownish green vulvar discharge noticed earlier in the day. Serum progesterone concentrations were 2.1 ng/ml. The dog was discharged, presuming that labor was imminent. Later that evening, the dog aborted a premature fetus, 8 hours later, and was brought to the university emergency service. Prior history included a normal pregnancy and whelping, neither travels nor contact with wildlife, and the dog had no predation behaviors. Sire (bernedoodle) of this pregnancy was reportedly healthy with unknown brucellosis status.

Physical examination findings were underweight (body condition score of 3/9 [Royal Canin© scale])4 and a moderate amount of nonfetid dark brown vulvar discharge. A large number of fetuses (fetal heart rates ranged between 200 and 250/beats per minute [bpm]) were observed via focal transabdominal ultrasonography. Serum progesterone concentration was 1.25 ng/ml. Bloodwork findings included mild normocytic normochromic anemia (categorized regenerative due to anisocytosis and polychromasia), mild monocytosis, mild hypocalcemia, and mild hyponatremia. Additional tests included leptospirosis witness test (WITNESS® Lepto, Zoetis, Parsippany, NJ), Brucella canis rapid slide agglutination test (D-TEC® CB, Zoetis), canine herpesvirus titer (Colorado State University, Fort Collins, CO), and SNAP 4Dx testing (anaplasma, ehrlichia, Lyme, and heartworm) (SNAP® 4Dx Plus Test, Idexx, Westbrook, ME); all were negative. Ten premature fetuses were counted (abdominal radiography), and their immaturity was determined based on the level of calcification, without evidence of fetal death (Figure 1). An immediate cesarean surgery with ovariohysterectomy was recommended but was declined by the owner. As the patient appeared stable, outpatient therapy was discussed initially; however, another fetus aborted necessitating overnight hospitalization. Therapies included intravenous lactated Ringer’s solution (90 ml/kg/day [Excel®, B. Braun Medical Inc., Bethlehem, PA]), subcutaneous terbutaline (0.03 mg/kg three times a day [Brethine®, Hikma Pharmaceuticals PLC, London, United Kingdom]), oral altrenogest (0.088 mg/kg once a day [Regu-Mate®, Merck Animal Health, Rahway, NJ]), oral amoxicillin and clavulanate potassium (14 mg/kg twice a day [Clavamox®, Zoetis, Parsippany, NJ]), oral clindamycin (11.8 mg/kg twice a day [Cleocin®, Lannett Company, Inc., Philadelphia, PA]), and oral fenbendazole (50 mg/kg once a day for 3 days [Panacur®, Merck Animal Health, Rahway, NJ]). Both aborted fetuses were submitted for necropsy, and were premature (lack of hair growth).

Fig. 1.
Figure 1. Right lateral abdominal radiograph (50 days after breeding), note the 10 fetuses and poor calcification (immaturity).

Next day physical examination findings remained unchanged. Reexamination with targeted transabdominal ultrasonography confirmed many fetuses with heart rates above 200/bpm and poor development of fetal kidney parenchyma and gastrointestinal tract that indicated prematurity. Manual digital examination of the vagina did not elicit either a visible or palpable Ferguson reflex, and neither fetuses nor associated fetal membranes were present. Moderate amount of brown mucoid discharge in the vagina prevented viewing of the cervix during vaginoscopy. There was neutrophilic inflammation without intracellular bacteria (Figure 2) in the vaginal discharge cytology. A sample of the discharge obtained from the inside of the cranial portion of the vaginoscope (to decrease the risk for contamination) was submitted for aerobic culture. Intramuscular progesterone in oil (9.8 mg/kg [Progesterone injection USP, Hikma Pharmaceuticals PLC, London, UK]) was given once. It was recommended to increase the caloric intake. Due to financial constraints, the patient was discharged from the emergency service for continued outpatient care.

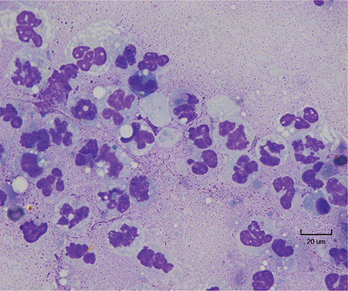
Fig. 2.
Figure 2. Vaginal discharge cytology (note degenerate neutrophils), 1000× total magnification.

Outpatient reexamination was performed 2 days later (on day 53 after breeding). Nonfetid brown vulvar discharge continued (the rest of the examination was unremarkable). Upon further inquiry, the dog, reportedly, had been hyporexic throughout pregnancy, and the diet was supplemented with boiled chicken breast and fried eggs. Patient also had an increase in thirst. A free-catch urine specific gravity was 1.008 (> 1.030).5 Due to borderline hyposthenuria that can be identified in pyometra, a renal panel was performed, which revealed that the dog was not azotemic (Table). Progesterone concentrations were 6.24 ng/ml. Multiple viable fetuses and 1 fetus without a heartbeat were observed via targeted transabdominal ultrasonography. Air shadowing surrounding the fetus (Figure 3) indicated fetal demise. Final aerobic culture of the vaginal discharge grew Salmonella sp., with subspeciation and serotype pending. Based on culture and sensitivity results, clindamycin (Cleocin®, Lannett Company, Inc.) was discontinued, and oral ciprofloxacin (30 mg/kg once a day [Cipro®, Bayer HealthCare Pharmaceuticals Inc., Wayne, NJ]) was prescribed. In spite of fetal demise, as the patient was clinically stable, further outpatient management continued.

Table. Complete blood count, serum chemistry, venous blood gas panel, and progesterone concentrations on days 50, 53, 56, and 59 after mating
Test Day 50 after mating Day 53 after mating Day 56 after mating Day 59 after mating Reference range
Hematocrit (calculated) 34 N/A 26.4 30.6 40.0–56.0%
Neutrophils N/A N/A 19.64 N/A 2.7–8.9 K/µl
Band neutrophils N/A N/A 5.86 N/A 0 K/µl
Monocytes N/A N/A 2.9 N/A 0.1–0.8 K/µl
Glucose 87 73 73 N/A 78–124 mg/dl
Calcium (total) N/A N/A 8.2 N/A 8.7–10.4 mg/dl
Calcium (ionized) 1.17 N/A N/A 1.37 1.18–1.35 mmol/l
Blood urea nitrogen N/A 11 N/A N/A 7–27 mg/dl
Creatinine N/A 0.58 N/A N/A 0.6–1.5 mg/dl
Progesterone 1.25 6.24 1.10 N/A 0.0–0.4 ng/ml

Fig. 3.
Figure 3. Transabdominal ultrasonographic image of fetal demise, note the hyperechoic foci around fetus (air shadowing), and fetus is poorly defined due to autolysis.

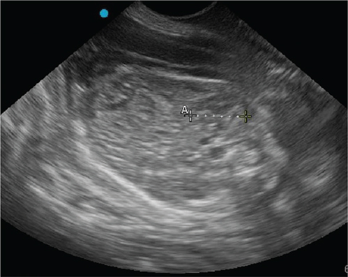
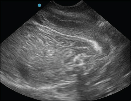
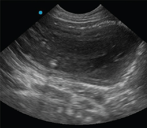
The dog was presented for an outpatient reexamination once more (on day 56 after breeding). The dog had 2 episodes of vomiting since prior visit and was trembling in the car for an hour prior to the appointment. The dog had lost 0.5 kg since prior visit, was tachycardic (160/bpm), had mild erythema of the skin and ear pinnae, and was mildly hyperthermic (39.4°C). There was continued vulvar discharge and initial mammary secretions from a few teats, consistent with colostrum. Due to the concern for systemic inflammatory response syndrome (SIRS)6 on clinical examination (elevated temperature and tachycardia), bloodwork was performed. Patient had moderate normocytic normochromic anemia of pregnancy, with a marked neutrophilia and a left shift, and mild monocytosis. A mild hypoglycemia and mild hypocalcemia were also noted (Table). Progesterone concentrations were lower (1.10 ng/ml). Targeted transabdominal ultrasonography revealed similar findings as before (multiple normal viable fetuses and 1 dead fetus [Figure 4]). Further maturation of the live fetuses was evident by slight distinction of the cortical and medullary parenchyma of fetal kidneys (Figure 5) and a more thickening of gastrointestinal tract layers in two of the fetuses7 (Figure 6). Given the patient’s deterioration and concerning laboratory findings, immediate cesarean surgery with ovariohysterectomy was again recommended; however, surgery was declined. Recommendation was made to discontinue terbutaline (Brethine®, Hikma Pharmaceuticals PLC) and altrenogest (Regu-Mate®, Merck Animal Health), to allow the dog to whelp at home. Amoxicillin and clavulanate potassium (Clavamox®, Zoetis) and ciprofloxacin (Cipro®, Bayer HealthCare Pharmaceuticals Inc.) were continued.

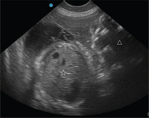
Fig. 4.
Figure 4. Transabdominal ultrasonographic image of live (star) and autolyzed (triangle) fetuses.

Fig. 5.
Figure 5. Transabdominal ultrasonographic image of a canine fetal kidney (outlined with caliper), note the degree of architectural detail indicates progression of fetal maturity.

Fig. 6.
Figure 6. Transabdominal ultrasound image of a fetal gastrointestinal tract, note the architectural detail indicating progression of fetal maturity.

Whelping, dystocia, and cesarean surgery

A last dose of altrenogest (Regu-Mate®, Merck Animal Health) was given at home the following morning (day 57 after breeding). Later that night, the dog delivered a stillborn fetus. The dog then went into spontaneous labor ~ 60 hours after the last dose of altrenogest (Regu-Mate®, Merck Animal Health) and delivered 1 live pup. Subsequently, the dog was given an unknown dose of oral calcium (Oral Cal Plus™ Gel, Breeder’s Edge®, Orange City, IA) at home by the owners. Three hours passed prior to delivery of another live pup. Forty-five minutes later, a stillborn fetus was delivered. Contractions failed to progress. The dog was presented for emergency management of dystocia (day 59 after breeding). The dog had lost 2.5 kg, moderate amount of nonfetid brown vulvar discharge, and colostrum secretions in all teats. A mild Ferguson reflex was present on digital vaginal examination, and fetal membranes were visualized at the cervix via vaginoscopy. Targeted transabdominal ultrasonography was performed; there was 1 dead fetus, 1 with a normal heart rate (240/bpm), and one with a critically lower heart rate (120/bpm). Blood gas analysis revealed mild anemia and normal ionized calcium concentrations (Table). Cesarean surgery was recommended due to evidence for severe fetal distress. Owner, however, declined surgery due to purported concern of the current welfare of the patient than of the fetuses and requested medical therapy for dystocia.

Monitoring fetal heart rates (via ultrasonography) and ensuring no obstruction (via vaginal examination prior to each injection), 3 serial doses (starting at 2 IU, then increasing to 3 IU and 5 IU with each subsequent dose) of intramuscular oxytocin (oxytocin, VetOne, Ontario, Canada) were given every 20 – 30 minutes. Doses were increased with each injection until a notable clinical response of contractions was observed. Subcutaneous 2 ml calcium gluconate 10% (Fresenius Kabi, Lake Zurich, IL) diluted with sterile saline was given every 2 hours to aid uterine contractions. One live pup with meconium staining was delivered. A second round of medical management with oxytocin (oxytocin, VetOne) injections every 20 – 30 minutes was performed starting at a 5 IU dose, but contractions failed to continue. As a result, cesarean surgery was approved by the owner. One live pup and one necrotic fetus were delivered via hysterotomy. Uterus contained a large amount of thick black fluid, and a sample was submitted for aerobic culture. Uterus was copiously lavaged prior to closure.

Nine fetuses were accounted for (2 aborted, 4 whelped at home, one delivered vaginally at hospital, and two delivered via cesarean surgery) out of an initial total of 11 (10 observed via abdominal radiology and one aborted prior to presentation). There was a large amount of gas in the abdomen (introduced intraoperatively) with no evidence of fetal calcification in the reproductive tract or the gastrointestinal tract (radiography) that would have suggested fetal ingestion by the dog at home. Pups nursed, urinated, and defecated prior to discharge. Amoxicillin and clavulanate potassium (Clavamox®, Zoetis) and ciprofloxacin (Cipro®, Bayer HealthCare Pharmaceuticals Inc.) were continued for 2 weeks. Additionally, the dog was prescribed medications as needed: oral tramadol (4.4 mg/kg twice a day for 5 days [Amneal Pharmaceuticals LLC, Glasgow, KY]), subcutaneous oxytocin (three times a day for 10 days [VetOne]), and oral metoclopramide (0.22 mg/kg three times a day for 5 days [Teva Pharmaceuticals, Parsippany, NJ]). Due to risk of fetal infection, the pups were prescribed oral trimethoprim sulfa (10 mg/kg twice a day for 2 weeks [Aurobindo Pharma, Dayton, NJ]), subcutaneous ceftiofur sodium (2.5 mg/kg twice a day for 2 weeks [Naxcel®, Zoetis, Parsippany, NJ]), and subcutaneous 0.9% NaCl (0.9% sodium chloride injection USP, B. Braun Medical Inc., Bethlehem, PA) 3 – 5 ml per pup as needed.

Outcome

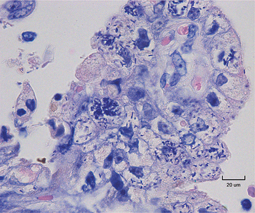
Dam and litter were presented 1 week postpartum. One neonate died 2 days postpartum. The dam was eating well, there were no concerns with incision site, and pups were nursing well and were gaining weight. Physical examination was unremarkable. Intraoperative aerobic culture (uterine fluid) had no growth. Cornell abortion panel had lower titer (1:50) suggesting exposure to Toxoplasma gondii. Second titer was recommended to confirm active infection but was declined. A free-catch urine was concentrated (specific gravity >1.050). Fetal necropsies and placental histopathology were consistent with neutrophilic chorioplacentitis, associated with gram negative rods (Figure 7). Partial abortion was attributed to Salmonella enterica subsp. houtenae serotype IV 50:z4,z23:- (Flint). Three live pups were recovered from a total of 11 fetuses. The dam was healthy and cleared of the infection based on clinical signs and negative uterine culture.

Fig. 7.
Figure 7. Histopathology of fetal chorionic membrane obtained at abortion, note the rod-shaped (bacilli), 1000× total magnification.

Discussion

This case demonstrated the challenges associated with the management of severe canine pregnancy infections. Escherichia coli is the most common bacterial organism to cause uterine infection in dogs.3 Though uncommon, Salmonella sp. can also cause uterine infections leading to abortions. Salmonella is a mobile, nonspore forming gram negative bacteria of the family enterobacteriaceae. There are multiple subspecies and serovars present worldwide: S. panama was isolated from aborted pups8 and S. typhimurium from newborn kittens.8 Mode of transmission is most commonly by fecal-oral route, as the bacteria are shed through feces and through contact with fomites or vertical transmission in avian and reptile species.8 This bacteria is of public health importance, as it is a zoonotic pathogen.8,9 Dogs are typically asymptomatic when infected or have gastrointestinal signs of diarrhea, vomiting, and/or anorexia. Rare, but severe, in-utero infections in dogs result in fever, abortion, stillbirth, weak neonates, or death.8,9 Historically, antibiotics used successfully for therapy for salmonellosis included amoxicillin, enrofloxacin, trimethoprim-sulfonamide, and chloramphenicol. It is a good practice to decide antibiotic choice based on culture and sensitivity.9

Salmonella enterica was recovered in 11.9% of environmental isolates, 5% of raw meat feeds, 14% of raw meat-fed dog fecal samples, and 10.5% and 4.5% from vacuum cleaner waste samples from households where dogs were and were not fed raw meat, respectively.9 Salmonella enterica subsp. houtenae (Salmonella subspecies IV) was initially isolated from cockatiels and now is prevalent in many reptile species, raw poultry, and racoons.10 Infection in children can lead to meningitis.10 In another recent case (University of Florida) with the same outcome of a dog abortion, an organism from Salmonella subspecies IV was isolated in a dog that consumed raw beef and lizards.11 The bacteria was not further speciated in that case. Dog in that prior study did not have gastrointestinal signs as in this case, but instead was febrile and hyporexic. To our knowledge, this is only the second reported canine abortion caused specifically by Salmonella subspecies IV. In this case, the owner reported that the dog frequently drank water from a well in the backyard, inhabited with lizards and other reptiles, that could have served as a potential salmonella reservoir. Another possible source of infection was from improperly cooked chicken and eggs that were fed during pregnancy. Poultry kept at temperatures between 7 and 47°C allowed growth of Salmonella sp.9 Although a final etiology of salmonella was determined in this case, the definitive source of the organism remains unclear.

Diagnostics and early treatment for infections in pregnant dogs are crucial in efforts to provide a positive case outcome. Aerobic culture revealed Salmonella sp., and paired with sensitivity results, allowed for appropriate antibiotic choice. During pregnancy, certain antibiotics are harmful to the dog and/or fetuses. Fluoroquinolone class caused cartilage damage in canine fetuses;12,13 however, cartilage lesions in equine fetuses were not identified after fluoroquinolone treatment between 46 and 60 days of pregnancy.12 In this case, ciprofloxacin was prescribed as the bacteria was susceptible to fluoroquinolones. Although ovariectomy was indicated (welfare of the dog), owner declined. Amoxicillin and clavulanate potassium (a beta lactam) and clindamycin (a lincosamide) used were safe during pregnancy.13

Apart from antimicrobial therapy, additional medications were given to the dog during pregnancy. Fenbendazole was given as an anthelmintic. Terbutaline was given in an effort to prevent uterine contractions during pregnancy. As there was systemic infection present, it was assumed that the fetuses would have congenital neonatal sepsis, and thus, treatment was initiated at birth. Ceftiofur sodium is a beta-lactam antibiotic that is labeled for dogs with a wide margin of safety in neonates.14 This Salmonella sp. was also susceptible to trimethoprim based on the antibiogram; however, a lower dose was used for the neonates than what is labeled for dogs due to underestimated pup birth weights. Additionally, risk with use of this antibiotic included transient hypothermia and bone marrow suppression.1416

Maintenance of pregnancy is dependent on progesterone production and secretion from the corpora lutea (CL). Systemic inflammation caused CL lysis and decreased progesterone concentrations.2 Progesterone or progestogens can be given in these cases to maintain pregnancy and prevent abortion. Altrenogest is an oral, short-acting, synthetic progestogen given daily.17 This medication can be given at home by owners. Altrenogest maintained pregnancy in ovariectomized dogs.18 Progesterone in oil is an injectable, more rapid, and longer acting formulation that is typically given every 72 hours in hospital when there is an imminent risk for pregnancy loss due to hypoluteoidism.17 Altrenogest does not cross-react with progesterone assays, whereas progesterone in oil is readily measured by the assay.18 On day 5 prepartum, progesterone concentrations (determined via radioimmunoassay) in seven normal dogs ranged between 2.6 and 7.8 ng/ml.19 Progesterone concentrations in the morning diestrual dogs’ blood samples were typically double compared to afternoon samples.20 Progesterone concentrations are measured either via radioimmunoassay or chemiluminescence; the latter concentrations were ~ 85% of those of the radioimmunoassay.21 In the present case, progesterone concentrations were measured in the early afternoon via chemiluminescence; both may account for the lower concentrations identified around 1 week prepartum. Additionally, the dog was receiving altrenogest supplementation, and it is unknown if a diurnal pattern occurs in dogs given exogenous progesterone or progestogen. Differences between pre and postprandial progesterone concentrations in dogs may also affect these results, as a substantial decrease in concentrations was observed 1 hour after feeding in pregnant dairy cows.22 Progesterone in oil treatment provided quick hormone replacement initially and then was maintained with oral altrenogest.

Risk factors for salmonellosis include a weakened immune system, improper diet including raw foods, and poor hygienic conditions.8 Canine pregnancy is maintained by elevated progesterone concentrations.2 Progesterone in women created an immunosuppressed state that made pregnant women more susceptible to infections.23 Similarly, this is speculated to occur in pregnant dogs, with steroid hormones suppressing neutrophilic activity.24 Client education is important to implement hygiene protocols in the household and prevent zoonosis in pets with known infections. Best practices include wearing gloves, frequent hand washing, and isolation from those in the household. Having a designated area in the yard for the infected animal to urinate and defecate is recommended. People, especially pregnant women, should avoid contact with feces from infected animals at home to prevent zoonotic spread.25

Learning points

Acknowledgment

Authors thank Dr. Randall Walker (Department of Veterinary Pathology) for gross necropsy and histopathological examinations.

References

1. Johnson CA: High-risk pregnancy and hypoluteoidism in the bitch. Theriogenology 2008;70:1424–1430. doi: 10.1016/j.theriogenology.2008.09.010
2. Johnston SD, Root Kustritz MV, Olson PN: Canine pregnancy. In: Kersey R, LeMelledo D, eds. Canine and feline theriogenology. Philadelphia, PA: Saunders; 2001, pp. 66–104.
3. Pretzer SD: Bacterial and protozoal causes of pregnancy loss in the bitch and queen. Theriogenology 2008;70:320–326. doi: 10.1016/j.theriogenology.2008.04.035
4. Purina. Body condition system. Purina. Available from: https://www.purina.com/sites/g/files/auxxlc196/files/2021-01/BodyCondition_Dog_122120.pdf [cited 26 April 2022].
5. IRIS International Renal Interest Society. Urine specific gravity. IRIS International Renal Interest Society. Available from: http://www.iriskidney.com/education/urine_specific_gravity.html#:~:text=What%20USG%20values%20are%20considered,1.035%20to%201.060%20for%20cats [cited 29 April 2022].
6. Pierini A, Gori E, Lippi I, et al: Neutrophil-to-lymphocyte ratio, nucleated red blood cells and erythrocyte abnormalities in canine systemic inflammatory response syndrome. Res Vet Sci. 2019;126:150–154. doi: 10.1016/j.rvsc.2019.08.028
7. Nyland TG, Mattoon JS: Ovaries and uterus. In: Callen PW, ed. Small animal diagnostic ultrasound. Saint Louis, MO: WB Saunders Co.; 2002, pp. 231–249.
8. Dróżdż M, Małaszczuk M, Paluch E, et al: Zoonotic potential and prevalence of Salmonella serovars isolated from pets. Infect Ecol Epidemiol 2021;11:1–20. doi: 10.1080/20008686.2021.1975530
9. Cobb MA, Stavisky J: Salmonella infections in dogs and cats. In: Barrow PA, Methner U, eds. Salmonella in domestic animals. 2nd ed. Loughborough: CAB International; 2013, pp. 318–336.
10. Andruzzi MN, Krath ML, Lawhon SD, et al: Salmonella enterica subspecies houtenae as an opportunistic pathogen in a case of meningoencephalomyelitis and bacteriuria in a dog. BMC Vet Res 2020;16:1–5. doi: 10.1186/s12917-020-02652-5
11. Allen-Durrance A, Mazzaccari KM, Woliver CL: Bacteremia and late-term abortion secondary to salmonellosis in a dog. J Am Anim Hosp Assoc 2022;58:262–264. doi: 10.5326/JAAHA-MS-7237
12. Ellerbrock RE, Canisso IF, Podico G, et al: Diffusion of fluoroquinolones into equine fetal fluids did not induce fetal lesions after enrofloxacin treatment in early gestation. Vet J 2019;253:1–7. doi: 10.1016/j.tvjl.2019.105376
13. Rebuelto M, Loza ME: Antibiotic treatment of dogs and cats during pregnancy. Vet Med Int 2010;2010:1–8. doi: 10.4061/2010/385640
14. Mata J, Papich MG: Pharmacologic considerations in the young patient. In: Peterson ME, Kutzler MA, eds. Small animal pediatrics: the first 12 months of life. Saint Louis, MO: Saunders; 2011, pp. 232–243.
15. Frank LA, Hnilica KA, May ER, et al: Effects of sulfamethoxazole-trimethoprim on thyroid function in dogs. Am J Vet Res 2005;66:256–259. doi: 10.2460/ajvr.2005.66.256
16. McMichael M, Dhupa N: Pediatric critical care medicine: physiological considerations. Compend Contin Educ Vet 2000;22:206–214.
17. Root Kustritz MV: Use of supplemental progesterone in management of canine pregnancy. In: Concannon PW, England G, Verstegen J, III, et al: eds. Recent advances in small animal reproduction. Ithaca, NY: International Veterinary Information Service; 2001.
18. Eilts BE, Paccamonti DL, Hosgood G, et al: The use of ally-trenbolone as a progestational agent to maintain pregnancy in ovariectomized bitches. Theriogenology 1994;42:1237–1245. doi: 10.1016/0093-691X(94)90872-9
19. Concannon PW, Butler WR, Hansel W, et al: Parturition and lactation in the bitch: serum progesterone, cortisol and prolactin. Biol Reprod 1978;19:1113–1118. doi: 10.1095/biolreprod19.5.1113
20. Steinetz BG, Goldsmith LT, Hasan SH, et al: Diurnal variation of serum progesterone, but not relaxin, prolactin, or estradiol-17β in the pregnant bitch. Endocrinology 1990;127:1057–1063. doi: 10.1210/endo-127-3-1057
21. Nothling JO, De Cramer KGM: Comparing the values of progesterone in the blood of bitches as measured with a chemiluminescence immunoassay and a radioimmunoassay. Reprod Domest Anim 2018;53:1136–1141. doi: 10.1111/rda.13216
22. Vasconcelos JLM, Sangsritavong S, Tsai SJ, et al: Acute reduction in serum progesterone concentrations after feed intake in dairy cows. Theriogenology 2003;60:795–807. doi: 10.1016/S0093-691X(03)00102-X
23. Lin VH, Chen J, Liao C, et al: The rapid immunosuppression in phytohemagglutinin-activated human T cells is inhibited by the proliferative ca2+ influx induced by progesterone and analogs. Steroids 2016;111:71–78. doi: 10.1016/j.steroids.2016.01.010
24. Bartoskova A, Ondrackova P, Leva L, et al: The effects of in vitro exposure to progesterone and estradiol-17β on the activity of canine neutrophils. Vet Med (Praha) 2014;59:202–209. doi: 10.17221/7481-VETMED
25. Hertzer JN, Fujishiro M, Lawhon SD, et al: Treatment and management of salmonella prostatitis in a heartworm-positive intact male dog: a case report. BMC Vet Res 2021;17:1–6. doi: 10.1186/s12917-021-02836-7