Case Report

Bilateral uterine horn segmental aplasia in a doe

Adriana Garzon,a Tessa Kell,b Bret R. McNabb,a,c Kevin Keel,b,d Fauna L. Smitha,c*

aWilliam R. Pritchard Veterinary Medical Teaching Hospital, Livestock Herd Health and Reproduction Service, School of Veterinary Medicine, University of California, Davis, CA, USA, bWilliam R. Pritchard Veterinary Medical Teaching Hospital, Anatomic Pathology Service, School of Veterinary Medicine, University of California, Davis, CA, USA, cDepartment of Population Health and Reproduction, School of Veterinary Medicine, University of California, Davis, CA, USA, dDepartment of Pathology, Microbiology and Immunology, School of Veterinary Medicine, University of California, Davis, CA, USA

Abstract

This case documents a rare reproductive abnormality in a doe that resulted in infertility. Multiple fluid-filled portions of the uterine horns were identified via transabdominal ultrasonography; doe was unresponsive to prostaglandin F treatment. Following euthanasia, postmortem examination confirmed multifocal bilateral segmental uterine horn aplasia with hydrometra and hydrosalpinx. This case represents a novel combination of antemortem clinical diagnosis with postmortem confirmation of uterine segmental aplasia, involving uterine horns and oviducts.

Keywords: Segmental aplasia, goat, transabdominal ultrasonography, infertility

 

Citation: Clinical Theriogenology 2026, 18, 13208, http://dx.doi.org/10.58292/CT.v18.13208

Copyright: © 2026 The Author(s). This is an Open Access article distributed under the terms of the Creative Commons Attribution-NonCommercial 4.0 International License (http://creativecommons.org/licenses/by-nc/4.0/), permitting all noncommercial use, distribution, and reproduction in any medium, provided the original work is properly cited.

Published: 22 January 2026

CONTACT: Fauna Smith flsmith@ucdavis.edu

Competing interests and funding: None to report.

 

Background

Müllerian or paramesonephric ducts, in the female, develop into uterus, uterine horns, cervix, and cranial third of vagina.1 Failure in the development or atresia of the paramesonephric ducts during embryogenesis results in lack of 1 or several uterine segments, known as segmental aplasia,2 which has been described in several species such as cattle, sheep, swine,3 and rats.2 Partial or complete development failure or atresia of the paramesonephric ducts is rare in does. Few reports described congenital reproductive abnormalities in does; this case report describes the history, clinical presentation, and diagnostic findings of doe with infertility caused by bilateral uterine segmental aplasia.

Case presentation

A nulliparous, 2-year Nigerian dwarf doe was evaluated for failure to conceive; doe was presented in January toward the end of normal breeding season for goats in northern hemisphere. Doe’s birth litter was quadruplets (3 females and 1 male). Doe cycled every 18-21 days throughout the breeding season and was bred by natural mating on each estrous cycle but kept coming back to estrus without any abnormal systemic health signs or concerns. Physical examination of the external genitalia did not reveal any anatomical anomaly. Vaginal speculum examination revealed a normal vaginal vault with classical rosette-shaped external cervical os. Transabdominal ultrasonography was performed with a multispecies machine (Ibex EVO III, Loveland, CO, USA); uterus was visible without intraluminal fluid with moderately distended sections compatible with uterine horns filled with anechoic or hypoechoic fluid depending on the cross section (Figure 1A, B). Differential diagnoses for a fluid-filled uterus included hydrometra, mucometra, and segmental aplasia of the uterus. Doe received 2 doses of 250 µg of intramuscular cloprostenol 10 days apart (Estrumate®, Merck Animal Health, Rahway, NJ, USA). Doe was presented for reexamination 6 days after the second dose, ~ 3 days after estrus.

Figure 1.
Figure 1. Transabdominal ultrasonographic images (obtained at 8 cm depth with 4.5-6.2 MHz probe) of the doe’s uterus at first evaluation; A. small, nonpregnant, nonfluid-filled cross sections of uterine horns (white dashed line) and B. dilated uterine tube, hydrosalpinx (white asterisks), and distended fluid-filled uterus, hydrometra (white dotted line). Similar findings were obtained on reexamination after prostaglandin F treatment; C. visible nonpregnant/nonfluid-filled sections of uterus (white dashed line) and D. persistent hydrosalpinx (white asterisks) and hydrometra (white dotted line). Images were taken at 8 cm of depth at 4.5-6.2MHz using an Ibex®eC6 multi-frequency probe

Follow-up transabdominal ultrasonography demonstrated thin-walled anechoic fluid-filled structures that narrowed to a long tube consistent with dilated uterine horns and oviducts; uterine body was visualized and did not have intraluminal fluid (Figure 1C, D).

Outcome

Based on the history, ultrasonographic findings, and failure to respond to prostaglandin F treatment, a diagnosis of bilateral segmental uterine aplasia with secondary hydrometra and hydrosalpinx was made. Owner was offered a diagnostic laparoscopy for further confirmation but declined. Following options were discussed with the owner: no intervention and monitor for complications related to uterine distention, ovariohysterectomy, or euthanasia. Doe was euthanized due to poor reproductive prognosis and presumed permanent infertility.

Necropsy findings

Postmortem examination confirmed the diagnosis of bilateral segmental uterine aplasia with hydrometra and hydrosalpinx. Distance from vaginal opening to the uterine bifurcation was 20 cm. Uterine body and uterine horns to the level of the aplastic sections appeared to be of normal size and shape but the uterine horns came to a blind end. Length of uterine horns from the uterine bifurcation to the aplastic segment was 8.5 cm for the right and 7.5 cm for the left, respectively. At the end of each uterine horn, there was a band of thin, tan, firm connective tissue (1.5 x 3 cm on the right and 0.5 x 3 cm on the left). Cranial to the bands of connective were fluid-filled tubular structures. Fluid-filled portion of the right uterine horn was 7 x 4.5 x 4.2 cm and left uterine horn was 7 x 6 x 3 cm (Figure 2).

Figure 2.
Figure 2. Gross appearance of the doe’s reproductive tract; A. Note the appearance of uterine body and caudal uterine horns compared to tubular tract cranial portion (dilated and fluid-filled); B. Closer inspection of the uterotubular tract revealed bilateral aplastic sections (black asterisks), with a blind-ended small nonfluid-filled uterus on the cervical side (black arrowhead) and dilated fluid-filled uterus, hydrometra (white asterisks), and hydrosalpinx (white arrowhead) on the ovarian side of the area of aplasia

Histology

Histological examination of the ovaries revealed luteal structures consistent with early corpora lutea, 3 days after estrus (Figure 3A); ovarian cortex contained numerous primordial follicles (Figure 3B). Coexistence of early luteal development and a reserve of primordial follicles supported clinical history of normal cyclicity in this animal.

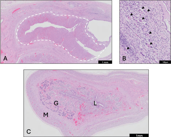
Figure 3.
Figure 3. Light microscopic images of the ovaries and caudal uterus were consistent with normal cyclicity: A. luteinizing structure on ovary (white dashed line); B. population of primordial follicles (black arrows); and C. uterine horn with endometrial-lined lumen (L) and uterine glands (G) extending down to the myometrium (M)

Histological examination of the uterine segment located between cervix and adjacent aplastic portion revealed well-developed uterine architecture (Figure 3C). Endometrium displayed numerous fully developed uterine glands extending from the luminal surface to the underlying myometrium. These findings indicated that this segment retained normal structural and likely functional characteristics for the doe to have regular cyclicity because cyclicity depends on endometrial activity. Oviducts had marked dilatation with complete loss of mucosal folds (Figure 4B) and the normally ciliated columnar epithelial cells were flattened and exhibited vacuolation (Figure 4A). These changes were attributed to chronic luminal pressure, consistent with a long-standing obstructive process.

Figure 4.
Figure 4. Light microscopic image of oviducts; A. flattened epithelium with vacuolations (40 x magnification); B. dilated/enlarged lumen with complete loss of mucosal folds (5 x magnification); C. and D. oviducts from a control doe reproductive tract (40 x and 5 x magnification, respectively); note: normal histologic appearance of oviducts

Discussion

Uterine segmental aplasia is a rare congenital condition in which there is insufficient development or atresia of a section of the embryologic paramesonephric ducts causing levels of aplasia of the oviducts, uterine horns, uterus, cervix, or vagina.1 The condition has been mostly reported in cattle as ‘white heifer disease,’ a hereditable condition causing aplasia or hypoplasia of the caudal portions of the tubular genital tract.3,4 In humans, it is known as ‘Mayer-Rokitansky-Kuster-Hauser syndrome,’ an autosomal dominant condition characterized by variable levels of reproductive tract agenesis or hypoplasia.5 Another etiology to consider, particularly in ruminants, is in utero exposure of the female embryo to antimüllerian hormone. Early vascular anastomosis of the placentas of heterosexual littermates can result in atresia of the paramesonephric ducts due to circulating antimüllerian hormone produced by the developing gonads of a male littermate.6 Doe was not tested for the SRY gene in blood to rule out male to female blood chimerism, a hallmark of early vascular anastomosis. Given the composition of the doe’s birth litter, this etiology of segmental aplasia should be considered.

The condition has been widely reported in cows with an estimated prevalence ranging from 0.15-0.2%. Patients are often presented as infertile, with a history of anestrus or abnormal cycling, and diagnosis is confirmed by transrectal examination or transrectal ultrasonography.7 This presents a challenge for diagnosis in small ruminants and may be the reason for the limited available literature describing the condition in ewes and does.3 This case report represented an antemortem diagnosis of bilateral uterine aplasia confirmed by necropsy and highlighted the importance of systematic transabdominal ultrasonography in small ruminants. Cross sections of normal and dilated uterine horns visualaization was the first indication that this case was not a physiologic hydrometra but rather likely due to an obstructive process. Additionally, serial ultrasonography of persistent hydrometra despite prostaglandin F therapy and behavioral expression of estrus further supported the premortem diagnosis of segmental aplasia.

In abattoir surveys, segmental aplasia in ewes has been reported as a rare finding, often accompanied by hydrometra and hydrosalpinx.8,9 When unilateral segmental aplasia of the uterine horn (uterus unicornis) was reported, a cystic-like structure cranial to the missing segment was a common finding3 with multifocal aplasia of the uterus accompanied by uterine wall dilation and intraluminal accumulation of clear fluid.8

Histological findings in this case were consistent with the clinical examination and history. Ovaries and caudal portion of the uterus were consistent with a postpubertal cycling doe, whereas cranial uterine horns and oviducts had changes consistent with chronic dilation and increased luminal pressure. Findings in this case were consistent with previous reports in the goat and sheep species with hydrometra or hydrosalpinx secondary to segmental aplasia.10,11

To our knowledge, 2 other cases of segmental aplasia in goats were reported.10,12 Similar to a previous case,10 our report also confirmed a case of segmental aplasia accompanied by hydrometra. Hydrometra is common in cases of segmental aplasia due to the accumulation of uterine secretions that cannot be evacuated and are collected in the uterine lumen; therefore, luteolytic treatment was unsuccessful in these cases.10,12 This case underscored the importance of a complete history and thorough reproductive evaluation, including ultrasonography of the reproductive tract in small ruminants’ infertility cases.

Learning points

Acknowledgement

Authors thank the owner for permission to perform necropsy on the doe that made detailed characterization of this rare abnormality possible.

References

1. Wilson D, Bordoni B. Embryology, Müllerian ducts (paramesonephric ducts). In: StatPearls [Internet]. Treasure Island, FL; StatPearls Publishing: 2023. Available from: https://www.ncbi.nlm.nih.gov/books/NBK557577/
2. Shimotsuma Y, Takeda S, Ogata K, et al: Segmental aplasia of a uterine horn in two RccHan:WIST rats. J Toxicol Pathol 2019;32:293-296. doi: 10.1293/tox.2019-0015
3. Ladds PW: Congenital abnormalities of the genitalia of cattle, sheep, goats, and pigs. Vet Clin North Am Food Anim Pract 1993;9:127-144. doi: 10.1016/S0749-0720(15)30677-0
4. Youngquist RS, Braun WF: Abnormalities of the tubular genital organs. Vet Clin North Am Food Anim Pract 1993;9:309-322. doi: 10.1016/S0749-0720(15)30648-4
5. Herlin MK, Petersen MB, Brännström M: Mayer-Rokitansky-Küster-Hauser (MRKH) syndrome: a comprehensive update. Orphanet J Rare Dis 2020;15:1-16. doi: 10.1186/S13023-020-01491-9
6. Padula AM: The freemartin syndrome: an update. Anim Reprod Sci 2005; 87:93-109. doi: 10.1016/j.anireprosci.2004.09.008
7. Steenholdt CW: Infertility due to noninflammatory abnormalities of the tubular reproductive tract. In: Youngquist RS, Threlfall WR: editors. Current therapy in large animal theriogenology. 2nd edition, St. Louis, MO; Saunders Elsevier: 2007. p. 383-388. doi: 10.1016/B978-072169323-1.50051-9
8. Palmieri C, Schiavi E, Salda LD: Congenital and acquired pathology of ovary and tubular genital organs in ewes: a review. Theriogenology 2011;75:393-410. doi: 10.1016/J.THERIOGENOLOGY.2010.09.020
9. Smith KC, Long SE, Parkinson TJ: Abattoir survey of congenital reproductive abnormalities in ewes. Vet Rec 1998;143:679-685.
10. Batista M, Alamo D, Caballero MJ, et al: Segmental aplasia of the uterus associated with hydrometra in a goat. Vet Rec 2006;159:597-598. doi: 10.1136/VR.159.18.597
11. Sokkar S, Kubba M: Pathological studies on the fallopian tubes of ewes. Zentralbl Veterinarmed A 1980;27:118-122. doi: 10.1111/j.1439-0442.1980.tb01677.x
12. Webb P: Segmental aplasia and hydrometra in a goat. Vet Rec 1985;117:13. doi: 10.1136/vr.117.1.13