Case Report

Testicular microlithiasis in two dogs

Margaret Root Kustritz,a Michelle Kissnerb

aDepartment of Veterinary Clinical Sciences, College of Veterinary Medicine, University of Minnesota, St. Paul, MN, USA
bVeterinary Ultrasound Services, LLC, Eau Claire, WI, USA

Abstract

Testicular microliths are small areas of calcification in testicular tissue, identified ultrasonographically as diffuse, punctate, nonshadowing, and hyperechoic foci. Poor semen quality is associated with increasing numbers of testicular microliths in humans. There is much less description of this phenomenon in animals; we are describing 2 dogs that had microlithiasis.

Keywords: Dog, testis, microliths, infertility, ultrasonogrpahy

 

Citation: Clinical Theriogenology 2025, 17, 13050, http://dx.doi.org/10.58292/CT.v17.13050

Copyright: © 2025 The Author(s). This is an Open Access article distributed under the terms of the Creative Commons Attribution-NonCommercial 4.0 International License (http://creativecommons.org/licenses/by-nc/4.0/), permitting all noncommercial use, distribution, and reproduction in any medium, provided the original work is properly cited.

Published: 17 September 2025

Current affiliation: Dr. Peggy Root LLC, Saint Paul, MN 55101, USA

Competing interests and funding: None to report.

CONTACT: Margaret Root Kustritz peggy@drpeggyroot.com

 

Background

Testicular microlithiasis (TM) is well described in the human medical literature but is rarely described in the veterinary literature. These small calcified areas within the testicular parenchyma are described ultrasonographically as diffuse, punctate, and nonshadowing hyperechoic foci, generally of uniform size, throughout the testicular parenchyma.1 In humans, this is further differentiated into classic TM (> 5 microliths in at least 1 ultrasound image) and limited TM (< 5 microliths on all images).2 There is a great body of literature evaluating associations between testicular microlithiasis and reproductive disease in men, with greatest focus on possible associations with testicular neoplasia and with infertility. Some studies evaluated TM in domestic and wild hoof stock in relation to semen quality.35 We are not aware of any reports of testicular microlithiasis in dogs.

Case presentation

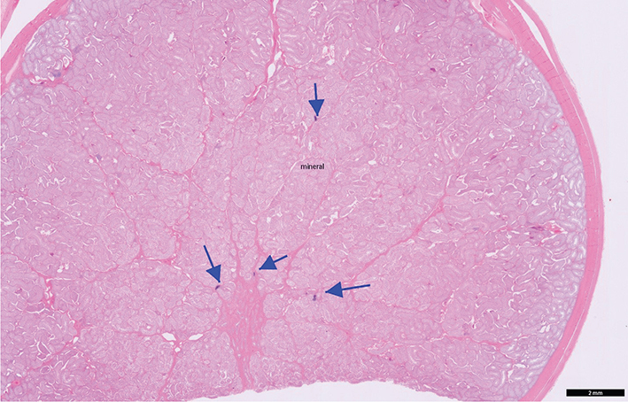
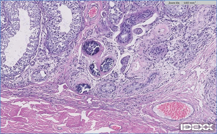
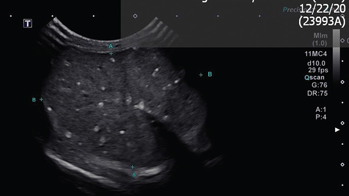
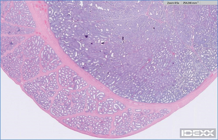
Case 1: A 3½ year, intact male Treeing Walker Coonhound, was presented for ultrasonographic evaluation of the abdomen and testes due to weight loss and polyphagia in July of 2021. Semen had not been evaluated, but the dog had sired a litter in 2020. Left testis appeared normal and had a coarse medium echogenicity throughout; right testis contained hyperechoic foci that were slightly larger than typical testicular microliths observed in human beings but were identical to TM in all other aspects (Figure 1). Other findings on abdominal ultrasonography included a complex cystic structure in the right kidney. Ultrasonography of the testes was repeated in October of 2021 and July of 2022, with no changes noted from the original ultrasonography. In October of 2022, the dog was castrated, due to concern about testicular microlithiasis, a couple of episodes of prostatitis, and retirement from breeding. Right testis was submitted for histopathology; 2 discrete and relatively small foci of intratubular mineralization accompanied by surrounding fibrosis were noted. In these foci, aggregates of fragmented basophilic material, interpreted to represent mineralization, were present within shrunken seminiferous tubules surrounded by a moderate amount of fibrosis (Figures 24) without associated inflammation.

Figure 1.
Figure 1. Testicular ultrasonographic image of Case 1

 

Figure 2.
Figure 2. Testicular histopathology (low magnification) of Case 1

 

Figure 3.
Figure 3. Testicular histopathology (medium magnification) of Case 1

 

Figure 4.
Figure 4. Testicular histopathology (high magnification) of Case 1

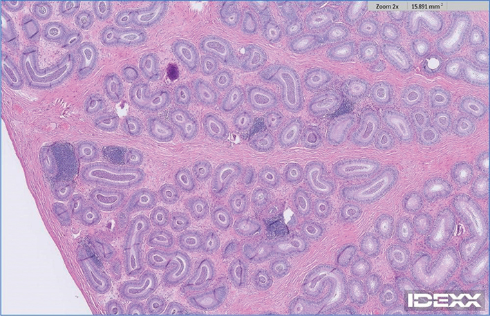
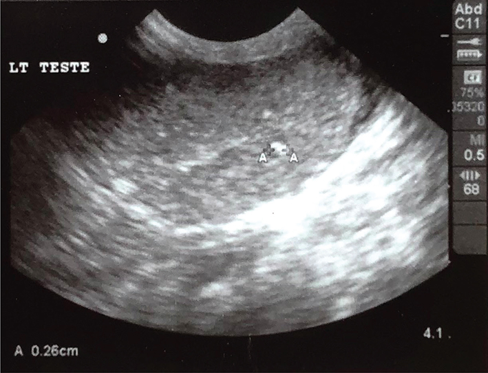
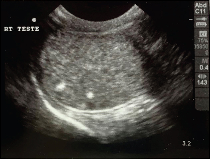
Case 2: A 3½ year, intact male Rottweiler with a history of prostate disease was presented for ultrasonographic evaluation in February of 2022. Testes were judged to be somewhat small and bilateral testicular microlithiasis was identified (Figures 5 and 6). Breeding soundness examination was performed in January of 2023. Abnormalities noted on general physical examination were mild dental disease and a grade III/VI cardiac murmur. Both testes were small, with an estimate of them being half the size expected for a dog of this breed and size. Semen was collected by manual ejaculation with no teaser female dog present but with exposure to estrous dog vaginal swabs. Libido was high; 4.5 ml of semen was collected and that was azoospermic. Semen alkaline phosphatase concentrations suggested incomplete ejaculation despite good libido and normal erection and reproductive behavior. Dog was castrated and testes were submitted for histopathology in April 2023. Both testes contained widely scattered foci (Figures 7 and 8; blue arrows) of intratubular mineralization (500 µm in maximal diameter with < 200 µm in diameter) without associated inflammation. Outside of these mineralized areas, there were rare small interstitial infiltrates of lymphocytes and plasma cells and rare individual atrophied seminiferous tubules.

Figure 5.
Figure 5. Left testicular ultrasonographic image of Case 2

 

Figure 6.
Figure 6. Right testicular ultrasonographic image of Case 2

 

Figure 7.
Figure 7. Testicular histopathology (low magnification) of Case 2

 

Figure 8.
Figure 8. Testicular histopathology (high magnification) of Case 2

Discussion

There is debate in the human literature regarding the impact of TM. Although there are reports of increased risk of testicular neoplasia in men with TM, it does not appear that TM is an independent risk factor for testicular neoplasia.610 However, because TM apparently can act as a marker for other risk factors for testicular neoplasia, it is recommended that men with an incidental finding of TM be reevaluated by ultrasonography every 6-12 months to screen for testicular neoplasia.11,12 Testicular neoplasia in humans is more common in young men and is an aggressive, malignant tumor, whereas testicular neoplasia in dogs is more common in middle-aged and older dogs and is generally a more benign neoplasm that can be cured with castration. Because of the difference in tumor biology and lack of evidence in the human literature of TM as an independent risk factor for TM, it is difficult to argue for the value of repeated ultrasonographic evaluation of the testes in dogs with TM.

The other concern associated in men with TM that is described in the literature is poor semen quality, associated with subfertility or infertility. Semen parameters altered with TM in men include decreased sperm concentration, decreased percentage total motility, and decreased percentage progressive motility.1,13,14 Semen quality is negatively correlated with number of microliths in men.14 Our 2 cases had very different histories and outcomes; 1 dog had unilateral and the other bilateral microlithiasis. Future reports with associated semen evaluations and histopathology are required to permit correlation of extent of TM with fertility in male dogs.

Reports in cattle and elands support the above findings. In a study of 77 bulls (Bos indicus, Bos taurus, and crosses of these breeds), ~ 25% of the animals had some degree of TM and these animals had lower sperm concentration and percentage motility.3 In a report of 3 water buffalo bulls, 1 had TM whose semen quality was not reported.4 A survey of 24 eland in a wildlife park demonstrated histopathological evidence of TM and abnormal spermatogenesis in all animals, with evidence to suggest this was associated with environmental pollutants including phenols that are estrogenic.5 Another species reported to have TM include is a cynomolgus monkey; this was an incidental finding at necropsy in a control animal in a toxicology study.15

Evaluation by histopathology of testes from men with TM had changes similar to dogs in this case study. Microliths are foci of calcification with a precipitate of a glycogen-protein matrix associated with the basement membrane of seminiferous tubules.1 Cause of mineralized foci formation is not well described in humans or most other species. In men, no correlation has been demonstrated between development of TM and demographics, socioeconomic characteristics, or concurrent sexually transmitted disease.16 In mice with genetic alterations forming populations of cryptorchidic mice, hypogonadal mice, and mice lacking androgen receptors on Sertoli cells or throughout their body, TM developed most commonly in hypogonadal mice with or without androgen receptors, suggesting that lack of endocrine support and subsequent testicular degeneration may have a role.17 TM has been demonstrated to be more common in men with a history of testicular neoplasia or torsion of the spermatic cord that also could be associated with testicular degeneration.16 In men with TM, semen culture yielded nanobacteria in almost 60% of samples.18 Nanobacteria are the smallest known organisms with a cell wall and it is unknown whether they are living organisms as their minute size precludes them having all necessary organelles for replication. Rats injected with nanobacteria from men with TM demonstrated testicular calcification as observed in TM, possibly associated with particulate size of the nanobacteria providing a focus for mineralization.19

Prevalence of TM in humans varied from 1.4-8.1%;7,13,14 62% of 226 men with TM were classified as having the classic variant.13 Prevalence and extent of TM in veterinary species has only been reported in small populations and reported values likely are not reflective of true prevalence in a given species. It is possible that TM will be easier to diagnose going forward as the quality of ultrasound equipment available to veterinarians increases. To obtain the best images, the ultrasound transducer should be 8 MHz at a minimum. A linear transducer is best but one of the authors has identified these lesions with a curvilinear 8 MHz transducer. Because the lesions are very small, a higher frequency transducer best permits identification and may even capture small shadows thrown by the microliths in the testicular tissue. Appropriate transducers often are sold as the primary transducer used in small animal machines marketed at the time of this writing. Experience may be required to permit the operator to see these lesions; review by an ultrasonographer may be warranted for accuracy of diagnosis. In dogs, identification of TM should spur a semen evaluation and a conversation with the client about possible association of TM with subfertility or infertility. Regular recheck of the testes by ultrasonography probably is not warranted in dogs.

Learning points

References

1. Miller RL, Wissman R, White S, et al: Testicular microlithiasis: a benign condition with a malignant association. J Clin Ultrasound 1996;24:197-202. doi: 10.1002/(SICI)1097-0096(199605)24:4<197::AID-JCU6>3.0.CO;2-A.
2. Bennett HF, Middleton WD, Bullock AD, et al: Testicular microlithiasis: US follow-up. Radiol 2001;218:359-363. doi: 10.1148/radiology.218.2.r01fe25359
3. Saavedra-Jimenez LA, Olvera-Ramirez JF, Nunez-Martinez G, et al: Exploratory study: testicular microlithiasis in cattle from the Costa Chica region. Agro Productividad 2022;15:89-94. doi: 10.32854/agrop.v15i4.2131
4. Chandolia RK, Singh G, Kumar A, et al: Testicular microlithiasis in a buffalo bull – a rare case. Haryana Vet 2018;57:122-123. Available from: https://www.luvas.edu.in/haryana-veterinarian/download/harvet2018-june/40.pdf
5. Bornman MS, Barnhoorn IEJ, DeJager C, et al: Testicular microlithiasis and neoplastic lesions in wild eland (Tragelaphus oryx): possible effects of exposure to environmental pollutants? Environ Res 2010;110:327-333. doi: 10.1016/j.envres.2010.02.003
6. DeCastro BJ, Peterson AC, Constable RA: A 5-year followup study of asymptomatic men with testicular microlithiasis. J Urol 2008;179:1420-1423. doi: 10.1016/j.juro.2007.11.080
7. Peterson AC, Bauman JM, Light DE, et al: The prevalence of testicular microlithiasis in an asymptomatic population of men 18 to 35 years old. J Urol 2001;166:2061-2064. doi: 10.1016/S0022-5347(05)65506-1
8. Aoun F, Slaoui A, Naoum E, et al: Testicular microlithiasis: systemic review and clinical guidelines. Prog Urol 2019;29:465-473. doi: 10.1016/j.purol.2019.07.001
9. Pedersen MR, Rafaelsen SR, Moller H, et al: Testicular microlithiasis and testicular cancer: review of the literature. Intl J Urol Nephrol 2016;48:1079-1086. doi: 10.1007/s11255-016-1267-2
10. Balawender K, Orkisz S, Wisz P: Testicular microlithiasis: what urologists should know. A review of the current literature. Cent European J Urol 2018;71:310-314. doi: 10.5173/ceju.2018.1728
11. Moran JM, Moreno F, Climent V, et al: Idiopathic testicular microlithiasis: ultrastructural study. Br J Urol 1993;72:252-253. doi: 10.1111/j.1464-410x.1993.tb00702.x
12. Leblanc L, Lagrange F, Lecoanet P, et al: Testicular microlithiasis and testicular tumor: a review of the literature. Basic Clin Androl 2018;28:8. doi: 10.1186/s12610-018-0073-3
13. Xu C, Liu M, Zhang F-F, et al: The association between testicular microlithiasis and semen parameters in Chinese adult men with fertility intention: experience of 226 cases. Urol 2014;84:815-820. doi: 10.1016/j.urology.2014.03.021
14. Hiramatsu I, Tsujimura A, Miyoshi M, et al: Prevalence of testicular microlithiasis in healthy newlywed men trying for first-time pregnancy. Intl J Urol 2020;27:990-995. doi: 10.1111/iju.14342
15. Shirai N, Evans MG: Testicular microlithiasis in a clinically healthy cynomolgus monkey (Macaca fascicularis). J Toxic Pathol 2018;31:147-150. doi: 10.1293/tox.2017-0065
16. Pedersen MR, Moller H, Rafaelsen SR, et al: Association between risk factors and testicular microlithiasis. Acta Radiol Open 2019;8:1-6. doi: 10.1177/2058460119870297
17. O’Shaughnessy PJ, Monteiro A, Verhoeven G, et al: Occurrence of testicular microlithiasis in androgen insensitive hypogonadal mice. Repro Biol Endocrinol 2009;7:88. doi: 10.1186/1477-7827-7-88
18. Zhang QH, Lu GS, Shen XC, et al: Nanobacteria may be linked to testicular microlithiasis in infertility. J Androl 2010;31:121-125. doi: 10.2164/jandrol.109.007930
19. Lin X-C, Gao X, Lu G-S, et al: Role of calcifying nanoparticles in the development of testicular microlithiasis in vivo. BMC Urol 2017;17:99. doi 10.1186/s12894-017-0289-0.