Review Report

Common periparturient complications in female dogs*

Sarah Ward, Patricio Razquin, Greg Burns, Jenny Sones

Department of Clinical Sciences, College of Veterinary Medicine and Biomedical Sciences, Colorado State University, Fort Collins, CO, USA

Abstract

In female dog’s reproduction, periparturient period is a critical time, often characterized by morbidity/mortality of the dam and fetus/neonates. Preexisting risk factors influencing dam’s postpartum survival include body condition, nutritional status, and endocrinopathies. Periparturient complications in the dog are common and require knowledgeable observation to detect, diagnose, and treat. Focus of this review is to describe the clinical manifestations of infectious (mastitis and metritis) and noninfectious (ketosis and eclampsia) periparturient disorders that require supportive and interventional management; to present diagnostic approach from a practical perspective along with treatment protocols from literature; and to enable readers to understand the pathophysiology of these conditions, clinical signs, diagnostics, treatments, and prevention.

Keywords: Nutrition, pregnancy, eclampsia, mastitis, metritis

 

Citation: Clinical Theriogenology 2026, 18, 12735, http://dx.doi.org/10.58292/CT.v18.12735

Copyright: © 2026 The Author(s). This is an Open Access article distributed under the terms of the Creative Commons Attribution-NonCommercial 4.0 International License (http://creativecommons.org/licenses/by-nc/4.0/), permitting all noncommercial use, distribution, and reproduction in any medium, provided the original work is properly cited.

Published: 23 January 2026

CONTACT: Jenny Sones jenny.sones@colostate.edu

Competing interests and funding: None to report.

 

Introduction

Examination of the female dog prior to breeding is essential to ensure adequate health and condition for maintaining pregnancy to term and raising pups without complications. Starting pregnancy at an ideal body condition is important, as is making nutritional adjustments as pregnancy progresses in preparation for lactation. Importantly, balanced energy homeostasis can influence the hypothalamic-pituitary-gonadal (HPG) axis during breeding and may influence hormones critical for pregnancy maintenance and whelping.

The periparturient window can be divided into: 1. the preparturient period; 2. the process of parturition; and 3. the postpartum period. The periparturient window in the dog spans 1-2 weeks prepartum to 30-45 days postpartum.1 This critical time requires careful monitoring due to important physiological changes occurring within the postpartum dog.2 This review will examine key complications that may occur during the preparturient and postpartum periods.

Nutritional considerations during pregnancy

Dog’s body condition should be evaluated at prebreeding examination to ensure optimal bodyweight. Canine body condition score (BCS) can be used as a semiquantitative predictive value for estimating body composition and is more accessible than whole-body imaging.3 Ideal BCS for breeding is 4-5 (Figure 1) on the BCS 1-9 scale (Table 1). Leptin and estrogen produced within adipose tissue have a profound effect on gonadotropin releasing hormone pulsatility and subsequent fertility.3,4 Additionally, glucose, insulin, lipids, and adiponectin provide regulatory signals that are thought to regulate the HPG axis throughout reproduction.5 Although definitive evidence linking poor BCS and decreased fertility (including early embryonic loss) in dogs is lacking, it is well established in other species.6 Thus, the female dog being underweight or overweight may affect fertility and increase the risk of periparturient complications.

Table 1. Definitions of canine physical features equating to body condition score (1-9)
1 No visible fat and minimal muscle mass; ribs, vertebrae, and bony pelvis obvious
2 No palpable fat, muscle mass present; ribs, vertebrae, and bony pelvis visible
3 No palpable fat, waist and abdominal tuck present; ribs palpable, vertebrae and bony pelvis visible
4 Minimal fat, waist and abdominal tuck present; ribs, vertebrae and bony pelvis palpable
5 Adequate fat, waist and abdominal tuck present; ribs palpable and other bony processes not apparent
6 Excess fat, waist not apparent, and abdominal tuck present; ribs palpable and other bony processes not apparent
7 Heavy amount of fat, no waist and abdominal tuck inconsistent; ribs not apparent on palpation and excess fat deposits covering vertebrae
8 Very heavy amount of fat, no waist and abdominal tuck; ribs not apparent on palpation and heavy fat deposits covering vertebrae with abdominal distention
9 Massive amount of fat over entire spine, no waist and abdominal tuck; fat covering neck and limbs, and abdominal distention

 

Figure 1.
Figure 1. Adult dog with an ideal body condition score (4/9)

Dog’s nutritional demands increase in the final 3-4 weeks of pregnancy due to exponential fetal growth, ~ 70% of total fetal body mass.7 Thus, dogs that started pregnancy at an ideal BCS should gain 15-25% of their prepregnancy body weight.7 To achieve this, dietary intake needs to be increase by 25-50% above maintenance during the last trimester. However, due to reduced abdominal space, feeding smaller meals more frequently is advisable.8 A highly digestible diet, consisting of 30% protein and 20% fat on a dry matter (DM) basis with balanced vitamin and minerals, is considered adequate for this desired weight gain.8 In addition to the negative effects on offspring growth, poor nutrition also has a negative impact on the immune status of the pregnant dog, affecting uterine involution and clearance postpartum.9

Almost immediately postpartum, body weights of dogs decrease to 5-10% above prepregnancy bodyweight.7 The first 3 weeks of lactation coincide with the greatest growth rate of pups and highest demand on the dam for milk production, requiring a substantial increase in nutritional intake.10 A simple estimation of the dams increase in energy need is 25% above maintenance for each pup up to a litter size of 8, with supplemental feeding of the pups recommended for litters of 9 or more.10

Although there is a nutritional demand for calcium increase in the later stages of pregnancy, those needs can be met by a nutritionally balanced diet.11 Supplementation of calcium during late pregnancy has the potential to lead to dystocia, eclampsia, soft tissue calcification in the dam, and physical abnormalities and gastric dilation volvulus of the neonates.11 Feeding of dairy products during pregnancy in small animals can lead to calcium-phosphorus-magnesium imbalances.12 Therefore, it is not advisable to empirically supplement calcium to pregnant dogs without signs or symptoms of hypocalcemia, as this may suppress parathyroid hormone.7

Key hormones of the periparturient period

Canine estrous cycle is unique compared to other species in duration and hormone profiles. It is composed of proestrus, estrus, diestrus, and anestrus phases. The diestrus phase exhibits a similar hormonal profile in pregnant and nonpregnant dogs, regarding progesterone (P4) concentrations.13 Ovulation is preceded by the luteinizing hormone (LH) surge that results in corpus luteum (CL) formation. Importantly, CL is the sole source of P4 and 17β-estradiol.14 Hormones that affect CL function and thus P4 secretion are discussed below.

Early diestrus

During the first 3-4 weeks of diestrus, prior to the timing of reliable pregnancy diagnosis via ultrasonography, hormone profiles are similar between pregnant and nonpregnant dogs. The early CL is dependent upon both LH and prolactin for luteal support.15 Prostaglandins are thought to have a role as the main intraluteal trophic factors, with the CL expressing prostaglandin-endoperoxide synthase 2 (PTGS2) and prostaglandin E2 (PGE2) synthase as well as PGE2 receptors. Specifically, PGE2 has a luteotropic role, activating steroidogenesis within the primary luteal cells of the early CL and P4 production.14 Prolactin (PRL) has luteotropic properties in the female dog, but they are more pronounced in late diestrus.

Mid to late diestrus

Beginning at day 25 of diestrus, pituitary luteotropins (PRL and LH) are required for maintenance of the CL in pregnant and nonpregnant dogs.16 However, at this point, hormonal patterns begin to diverge. In pregnant dogs, relaxin, produced by the cytotrophoblasts within the feto-placental unit, becomes detectable within maternal circulation.16 Relaxin is thought to support PRL secretion, which is considerable in the second half of pregnancy, reaching peak concentrations as high as 50 ng/ml.14,16 The CL of pregnancy, initially has increases in PRL receptors preimplantation, then gradually decreases at prepartum luteolysis.17 At this time, as suppression of PRL receptors occurs, the luteotrophic action of PRL diminishes during luteolysis.14 Furthermore, concentrations of P4, prostaglandin F2α (PGF2α), PGE2, and α-fetoprotein in the pregnant dog are all known to modulate the immune response to the presence of a conceptus within the uterus.9

Besides maintenance of pregnancy, P4 during diestrus also affects the secretion of growth hormone from the mammary glands. Growth hormone and P4 have effects on insulin resistance in both pregnant and nonpregnant dogs; however, this is greater in pregnant dogs.18

In contrast, PRL of the cyclic female dog increases gradually, reaching 9 ng/ml, by the end of diestrus.14 Due to the hormonal similarities between pregnant and nonpregnant diestrus, pseudocyesis (lactation) can occur in nonpregnant dogs during this period.

End of diestrus

Unlike other species, corticosteroids are not a prerequisite for parturition.19 Initiation of luteolysis for parturition involves coordinated expression of enzymes, prostaglandins, and prostaglandin receptors.20 Additionally, cyclooxygenase (COX) 2 encoded by the gene prostaglandin synthase (PTGS)-2 (an enzyme that catalyzes the conversion of arachidonic acid to PGF2α) is upregulated within the trophoblast.20 Additionally, PGE2 is converted to PGF2α by the uteroplacental unit and their respective receptors PTGER2 and PTGFR are upregulated, whereas EP4, another PGE2 receptor, is downregulated.21

Parturition is an actively regulated process involving luteolysis that is regulated by PGF2α.16 Within the ovary, PGF2α binds to the PGF2α receptors on the luteal cells resulting in decreased blood flow to the CL, and a reduction in LH receptors and P4 synthesis within the CL.15 The decrease in circulating P4 along with the ecbolic effects of PGF2α promote cervical dilation and an increase in myometrial contractions leading to parturition. In nonpregnant dogs, diestrus concludes with luteal regression rather than luteolysis, a process that may extend beyond day 80 of diestrus.22

Preparturient complications

Pregnancy toxemia

Pregnancy toxemia (also known as ketosis) has been described in dogs and in other species, with the most extensive reporting in small ruminants, specifically ewes. Pregnancy toxemia (in late ruminant pregnancy) is characterized by impaired glucose homeostasis in the dam.23 This is a result of a combination of negative energy balance, due to the increased requirements for fetal development, and the negative impact of reduced gastrointestinal capacity or lack of carbohydrates.11,24 The condition is characterized in dogs by hypoglycemia, ketonemia, ketonuria, and hepatic lipidosis.25

Maintenance of blood glucose concentrations are facilitated by gluconeogenesis and glycogenolysis; 85% occurs in the liver26 and to a smaller extent within the renal cortex.27 In ruminants, gluconeogenesis relies on propionate, whereas in other species, it relies on exogenous and endogenous amino acids, along with lesser contributions from glycerol and lactate.26 In dogs, dietary protein is a major source of gluconeogenic precursors. Protein digestion begins in the stomach, where it is broken down into polypeptides, then subsequently broken down to amino acids in the small intestines. These amino acids are absorbed via carrier-mediated proteins and undergo gluconeogenesis. When hepatic glycogen stores are depleted, the body relies on an alternative source of glucose, including fat reserves, and as a last resort, skeletal muscle.

Glucose in the blood promotes lipogenesis over lipolysis in an insulin-susceptible animal.23,27 Lipogenesis results in the formation of fatty acids stored as triglycerides within the adipose tissue. During periods of negative energy balance and hypoglycemia, fat is mobilized from adipose tissue stores through the process of lipolysis, releasing nonesterified fatty acids (NEFAs) into circulation. Within the liver, NEFAs are directed toward either gluconeogenesis for glucose production or ketogenesis for the synthesis of ketone bodies;27 a metabolic shift that can lead to ketonemia and ketonuria.28

Pregnancy is considered a state of physiological insulin resistance to defer glucose to the fetoplacental unit.18 In pregnant dogs, an inability to meet the nutritional demands necessary for adequate gluconeogenesis initiates metabolic processes similar to those observed in ruminants, including lipolysis. Obesity can result in insulin-resistance leading to higher rate of lipolysis than those with normal insulin regulation; however, patients suffering from pregnancy toxemia may be more prone to insulin-resistance.27

Clinical presentation and diagnostics

The risk factors for pregnancy toxemia include inadequate nutrition, small-breed dogs, and large litter size.25 Litters weighting > 10% of the pregnant dog total body weight may have increased risk of pregnancy toxemia, as observed by increased serum NEFAs and BHB (β-hydroxybutyrate).29 Clinical signs are often displayed as low BCS, lethargy, inappetence, weakness, ataxia, seizures, and even coma. Some of the clinicopathological characteristics of the disease can include hypoglycemia, elevated liver enzymes, elevated BHB (ketones), NEFAs, and triglycerides. Ketonuria will be present with the absence of glucosuria that can be easily tested using urinalysis test strips.11 Hypoglycemia and ketosis in a dog, resulted in failure to progress through parturition.28 Prevalence of hypoglycemia in canine dystocia has been reported as 5%, lacking a clear association between dystocia and hypoglycemia.30 Prolonged pregnancy has been classically described in dogs with pregnancy toxemia18 and in premature birth.28

Treatment

If early detection of pregnancy toxemia occurs, increasing the intake of appropriate nutrition can prevent progression. If the dam is in a severe state of systemic illness and compromised liver function, more drastic measures may be required. Implementing intravenous support with inclusion of glucose as an energy source, monitored food intake to meet caloric demand, and possibly nasogastric tube feeding and antiemetics as needed may be required.25 Once stabilized, termination of pregnancy via cesarian surgery or medical termination could be needed to relieve the dam of energy deficits. However, this could result in the delivery of preterm pups.11

Gestational diabetes mellitus

Gestational diabetes mellitus (GDM) is a rare condition where insulin supply is inadequate to meet tissue demands, resulting in a hyperglycemic state. Although true prevalence in female dogs has not been established, it has been reported at < 0.1% in this species.31 Maternal insulin resistance is a normal feature of the canine pregnancy that has an important role in fetal growth. Glucose homeostasis during pregnancy results from a not fully understood interaction among progesterone, cortisol,31 and P4-induced secretion of growth hormone32 that is considered diabetogenic by mechanisms of antiinsulin activity.33 Increased P4 occurs naturally in the diestrous dog whether nonpregnant or pregnant; DM (diabetes mellitus) has been diagnosed in these scenarios ~ 50 days after estrus.31 Presence of PRL can affect mammogenesis during this period; however, it has not been established whether there is a direct effect or if it is the luteotropic effects that produces more P4 and increases growth hormone from the mammary glands. Importantly, elevation of plasma growth hormone concentrations in diestrous dogs can lead to acromegaly and insulin resistance.34

Clinical presentation and diagnostics

Most commonly, GDM affects middle-aged dogs in the second half of pregnancy.31 Polyphagia and weight loss often go unnoticed in pregnant dogs due to the expected increase in appetite and progression of pregnancy.18 Progressive weakness, lethargy, and vomiting can occur in pregnant dogs with GDM. Clinicopathological changes include a persistent hyperglycemia in a state of fasting > 144 mg/dl or > 8 mmol/l.31 Glucosuria occurs when the renal tubules reach their glucose absorptive threshold, leading to osmotic diuresis, polyuria, and polydipsia. Urinary tract infections are commonly associated with diabetes; therefore, urinalysis and culture and sensitivity should be performed. In dogs, GDM increased the risk of dystocia and reduced the survival rate of neonates whether born naturally (10-15%) or via cesarian surgery (20%).31

Treatment

Treatment of GDM must be initiated immediately to prevent progression to diabetic ketoacidosis and/or destruction of the pancreatic β cells causing permanent diabetes, even after parturition. In a case series evaluating 12 dogs with GDM; 11 dogs survived, 7 were treated by terminating pregnancy immediately (cesarian surgery, aglepristone or cesarian surgery with ovariohysterectomy [OHE]), and only 1 dog died due to hemorrhage. None of the 6 surviving dogs developed permanent DM; 5 dogs were treated with insulin until parturition or cesarian surgery and 4 dogs developed permanent diabetes mellitus.31 Insulin treatment can be difficult due to large fluctuations in daily blood glucose and often require higherdose;31 the most effective dose of insulin was > 1.5 IU/kg twice daily (immediate acting porcine insulin or intermediate recombinant human insulin). The alternative to insulin treatment is pregnancy termination. Methods of pregnancy termination were described as surgery (cesarian) and P4 receptor antagonist (aglepristone) up to 45 days after mating.31,35 Although GDM may resolve within days to weeks after pregnancy termination, this is not the case in all patients.31

Postpartum complications

Eclampsia

Eclampsia is (also known as puerperal tetany or hypocalcemia) most commonly occurs during highest milk production and thus calcium demand on the dam, which is within the first 4 weeks postpartum.36 Hypocalcemia can be divided into 2 pathogeneses, including a primary cause due to decreased calcium intake or a secondary cause due to inability to absorb calcium from the intestines or mobilize from bones.37

Clinical presentation and diagnosis

Young, primiparous dogs in mid lactation are at the greatest risk of developing eclampsia.12 Small-breed dams with larger litters are predisposed to the condition.11 Clinical signs may include panting, behavioral changes such as mismothering of pups, lethargy, whining, vomiting, diarrhea, agitation and/or neurological signs (seizures, trembling, twitching, shaking and/or stiffness). Patients commonly present with rectal temperatures of > 103°F/ > 39.5°C, increased respiratory rates, hypersalivation, and facial pruritus.38 Tachycardia can occur as the hypocalcemia progresses and usually before the onset of seizures.38

Diagnosis is based on clinical signs, coupled with measuring of ionized calcium in blood. Total calcium includes ionized, chelated and protein-bound calcium and thus is not a good indicator of the physiological and bioactive forms within plasma.39 Ionized calcium is the physiological available state. Hypocalcemia is diagnosed when ionized calcium is < 1 mmol/l.36 A state of hypoglycemia may be present in cases of eclampsia and therefore concurrently measuring blood glucose with ionized calcium is recommended.

Treatment

Focused on controlling life threatening signs acutely and then correcting calcium concentrations and supplementing for the rest of lactation. If the dam is seizing, they may require intravenous diazepam at a dose of 0.5-2.0 mg/kg40 to control the seizures and to prevent cerebral edema until hypocalcemia can be corrected.41 Acute hypocalcemia can be treated with intravenous calcium (10% calcium gluconate); specifically, 5-15 mg/kg of elemental calcium (equivalent to 0.54-1.61 ml/kg of calcium gluconate 10%) can be infused at a slow rate over 10-30 minutes while monitoring pulse rate, heart rate, and rhythm closely.36 Rapid neurological improvement should be observed within 15 minutes. Patient is monitored by electrocardiogram (ECG) during the treatment and observation of bradycardia or Q-T interval shortening should prompt the clinician to slow the rate or discontinue the treatment.42 Once the patient is stabilized clinically, then calcium gluconate can be diluted with saline at 1:2 ratio and given subcutaneously, if intravenous access is no longer available, every 8 hours similar to intravenous dosage.36 Additionally, constant rate infusion can be initiated at a rate of 0.5-1.5 ml/kg/hour of calcium gluconate 10%.42

Once ionized calcium within blood is stabilized, oral elemental calcium can be given at a dose of 25-50 mg/kg.36 The 500 mg calcium carbonate tablets contain 200 mg of elemental calcium and are available in most pharmacies.41 Other forms of oral supplementation such as calcium lactate and calcium gluconate exist.43 Supplementation with Vitamin D can increase the intestinal absorption of calcium. Vitamin D is available as 1,25 dihydroxy vitamin D3 (Calcitriol) and it is the preferred preparation due to its fastest onset of action. Initial dosage is recommended at 0.02-0.03 ug/kg/day and its usually recommended for more severe, chronic cases of hypocalcemia. Monitoring for vitamin D toxicosis signs such as hypercalcemia should be performed routinely.43

Treatment involves in reducing the lactational demands upon the dam by supplemental feeding of the pups with commercial milk formula and increasing the dam’s plane of nutrition until pups can be weaned onto solid foods at 3-4 weeks of age.41 Pups may have to be supplemented completely for 24-48 hours while the dam is stabilizing, or cessation of lactation may be required with a dopamine agonist, such as cabergoline, if other treatments are refractory.12 Additionally, hypoglycemia should be treated if detected, using intravenous glucose.

Mastitis

Mastitis is typically observed in postpartum dogs during lactation; however, dogs experiencing pseudocyesis may also have mastitis.11 Mastitis can be described as inflammation of the mammary gland, with or without infection. It should be considered as a medical emergency due to the possibility of severe consequences including progression to gangrenous mastitis and septicemia causing death of dam and/or pups.44 Risk factors include poor hygienic conditions, trauma and systemic infections,45 particularly in the acute postpartum period.46 It is important to differentiate mastitis from galactostasis that can be resolved by gentle and frequent milking/nursing. Galactostasis (defined as a delay in passage of milk from the mammary gland cisterns into the teat canals) results in engorged and uncomfortable mammary gland, a risk factor for mastitis. A study on 2 guide dog colonies identified that increased litter size (> 9 pups) and dogs with mammary congestion were at a greater risk of developing mastitis.47 Prevalence of mastitis in a large dog population was 13.2%.47

There are 2 routes of infection, including ascending and descending. The most common bacteria isolated due to ascending infection has been Staphylococcus aureus and Streptococcus agalactiae as a commensal, opportunistic infection or Escherichia coli as an environmental infection.46 Descending infections via a hematogenous route have been secondary to other periparturient conditions including metritis and vaginitis.46 The breeder is encouraged to examine the dam’s mammary glands daily, examining gland texture and expressing a small amount of milk to detect changes in milk consistency and/or color.

Clinical presentation and diagnosis

Clinical examination is paramount in diagnosis of mastitis, and can be supported by laboratory ancillary tests including milk cytology, pH, and microbiological culture and susceptibility.44 Complete blood cell count (CBC) and serum biochemistry panel can aid in developing a treatment plan according to the severity of the systemic disease of each patient. Subclinical cases may present without any signs of systemic illness, mammary gland inflammatory signs, nor inflammatory markers on CBC, but may have an alkaline pH > 7 of milk (normal pH in milk is ~ 6.3). Milk will appear normal visually; however, smears will reveal inflammatory cells and phagocytosed bacteria on cytology and will commonly have positive bacterial culture.6 The most common bacterial species isolated were Staphylococcus spp, Escherichia coli and Proteus mirabalis.44

Clinical cases have red and hot mammary glands (> 1) engorged with milk and painful on palpation. There may or may not be visible changes in milk (+/- blood or yellow caseous appearance) and as septicemia progresses, the dam may have visible signs of illness including lethargy, anorexia, fever, and/or tacky membranes with reduced capillary refill times.46,47 The dam will be reluctant to allow pups to nurse, so pups may fail to thrive. Pups may have toxic milk syndrome from ingestion of bacteria.45 Milk pH will be alkaline and milk smears will reveal presence of inflammatory cells and phagocytosed bacteria similar to subclinical mastitis; dogs may have a CBC with neutrophilia and a left-shift. Serum biochemistry may indicate electrolyte imbalances and other signs of systemic dehydration. Systemic inflammatory markers such as C-reactive protein (CRP) were raised in both milk (> 5 µg/ml) and serum (> 10 µg/ml) samples of dogs affected with both subclinical and clinical cases of mastitis when compared to healthy female dogs.48 CRP may be an important biomarker for early diagnosis of subclinical cases before they progress to clinical cases and can be used to measure response to treatment; however time-resolved immunofluorometric assay within the laboratory setting have been used. ‘Point-of-care’ immunoassay tests for the diagnosis of subclinical mastitis would be more applicable within the veterinary hospital. However, to our knowledge, these tests have not been established for the use in canine milk samples. If a point-of-care test was validated, it should be used in conjunction with measurement of pH and phagocytosed bacteria on milk smear. Galactostasis can predispose dogs to mastitis, either aseptic or septic.11 Serum amyloid A is a more sensitive biomarker than CRP for systemic inflammation, but it has not been studied in canine mastitis.45 Gangrenous mastitis can progress from cases of severe clinical mastitis involving 1 or more mammary glands.49 In one study, gangrenous mastitis represented 9.3% of the mastitis cases.47 Gangrenous mastitis (Figure 2) can present as hot, painful mammary gland with well-demarcated necrotic areas, or in some cases as cold mammary glands, with or without ulceration and a fetid odor.45 Ultrasonography of the mammary gland is recommended to identify abscessation that cannot be easily palpated. The dog will usually be septicemic and require emergency treatment.49 Results of culture and sensitivity of milk samples are necessary for diagnosis and facilitate sound decision of treatment options.

Figure 2.
Figure 2. Gangrenous mastitis in a lactating dog

Treatment

Depending on the severity of mastitis, the whole litter may need to be weaned prior to 3 weeks of age as mastitis presents clinically on average 16 ± 4 days postpartum.47 These pups need to be supplemented with a commercial pup milk-replacement if hospitalization of the dog is necessitated and/or due to antimicrobials and or analgesia use. Application of a warm/hot compress to the affected glands followed by massage can help to relieve pressure of congestion through drainage and then placement of puppies on affected glands will be decided upon, based on risks associated with toxic milk syndrome and antibiotic/analgesia choices.50,51 Expressing milk from the affected glands will help to reduce the bacterial burden and reduce pressure. Cold cabbage leaves have classically been used as a compress to relieve pain and inflammation of the engorged mammary glands in humans.52 Cabbage leaves provided some relief of the symptoms and reduced need for antibiotics when implemented early according to human case study.52 However, in dogs, there are no known mechanisms of action, rather anecdotal evidence. If the severity of mastitis has resulted in abscessation of the mammary glands/gangrenous mastitis, surgical debridement and flushing is required once the dog has been stabilized.11 Furthermore, preventing pups from nursing from the affected mammary gland is recommended. In clinical cases intravenous fluid therapy should be started to stabilize the patient. A dopamine agonist (e.g. cabergoline) can be used to decrease PRL and thus slow down/cease milk production. This should only be used in cases of pseudocyesis or where pups will be weaned permanently.

While waiting on culture and sensitivity for choice of antimicrobials, analysis of pH can aid in the choice of antibiotic. An overview on antimicrobial choice based on milk pH is provided (Table 2). The antibiotics will be able to enter the mammary gland in clinical cases due to the breakdown in the milk-plasma barrier during the inflammatory process.36 The increased pH in cases of mastitis makes the weak-base antimicrobials, unionized, causing their ability to passively diffuse into the mammary gland to diminish.49

Table 2. Antibiotic treatment of septic mastitis in the postpartum dam*
Milk pH Antimicrobial choice Dosage Safe for fetus/neonates in pregnancy/lactation FDA classification of drug safety during pregnancy
< 7.3 Oral amoxicillin-clavulanate 14 mg/kg bid or tid Yes B
Oral trimethoprim/sulfadiazine 15-30 mg/kg bid for 21 days No D
Oral erythromycin 10 mg/kg tid for 21 days Yes B
Oral lincomycin 15 mg/kg tid for 21 days No C
> 7.4 Intramuscular ampicillin 20 mg/kg tid for 21 days Yes B
Oral cephalexin 30 mg/kg bid for 21 days Yes B

*modified from42,49

The table above indicates whether each antimicrobial is safe for the use in pregnancy based on the FDA classification of drug safety during pregnancy in humans. Category A drugs have had controlled studies in animals and humans in which they have failed to demonstrate a risk to the fetus in the first trimester.42 Category B drugs in animal reproduction studies had no adverse effect to fetus or these studies had adverse effect to fetus; however, it has not been confirmed in controlled human studies.42 Prebiotics/probiotics should be given to the pups when the dam is on antibiotics to prevent antibiotic-associated diarrhea. Analgesia will be discussed at the end of this review and its considerations when using for periparturient conditions.

Retained fetal membranes

Retained fetal membranes are uncommon in dogs; however, it is associated with a prolonged parturition and dystocia.11 There may be vaginal discharge, green/black in color persisting 24 hours postpartum.53 Often delivery of the fetal membranes may be missed by owners due to the dam eating them or being expulsed later in delivery with several other membranes. Prostaglandins as an ecbolic agent should be used with great care as the lethal dose is 5.13 mg/kg.53 Retained fetal membranes can lead to cases of metritis as discussed below. Oxytocin (0.25-2 IU) can be given to help evacuate the uterus if given with 24 hours after parturition; thereafter, oxytocin response decreases substantially due to reduced oxytocin receptors in the uterus.42

Metritis

Metritis is defined as inflammation of both the endometrium and myometrium and often with systemic symptoms secondary to bacteremia and septicemia; commonly observed in the first week and up to 2 weeks in postpartum.11 The risk factors for metritis have historically included dystocia, obstetric manipulation, retained fetal membranes, retained fetuses that may be undergoing decomposition, or prolonged parturition.11 However, another study of 2 guide dog colonies determined no significant risk factors other than the dam’s colonies.47 Bacteria gain entry to the uterus via open cervix and proliferate causing inflammation of the endometrium and myometrium. The most common bacteria cultured from cases of canine metritis were Escherichia coli, β-hemolytic Streptococcus spp., Staphylococcus spp., Proteus spp., Klebsiella pneumoniae, and Enterococcus spp.11,41

Clinical presentation and diagnostics

Diagnosis begins obtaining a thorough history of the patient and identifying possible risk factors. On physical examination, the dog will present with a copious amount of dark, brown, mucopurulent, and foul smelling vaginal discharge. Gentle abdominal palpation may elucidate pain and a large uterus may be present. Rectal temperatures > 103°F/ > 39.5°C are usually accompanied with inappetence and lethargy.47 CBC often reveals leukocytosis with a left shift. Serum biochemistry panel can identify electrolyte imbalances that can aid in the overall treatment plan.36,41

Transabdominal ultrasonography (more sensitive than radiography)54 is used to assess uterine wall thickness, identify retained fetal membranes, fetal tissues and to quantitatively measure uterine contents and echogenicity of those contents (Figure 3). A diseased uterus can be difficult to distinguish from a normal involuting uterus with minimal intraluminal fluid; however, serial measurements can be used to assess uterine contents and response to treatment.54 Radiography is used to diagnose retained fetuses.

Figure 3.
Figure 3. Transabdominal ultrasonographic image of a 5-year bully dog with severe lordosis and clinical signs of metritis; scale bar equals 1 cm

Vaginal cytology will reveal inflammatory cells including polymorphic leukocytes.41 The clinician needs to differentiate normal postpartum cytology that can contain degenerate neutrophils and bacteria from the metritis cytology, which presents more severe inflammation in most cases. Cranial vaginal samples can be taken using a guarded swab and submitted for culture and sensitivity.41

Treatment

Intravenous fluid therapy should be initiated to correct dehydration and any electrolyte imbalances. As with mastitis, the puppies may be required to be hand-reared due to the antimicrobial therapy or analgesia initiated. Antimicrobial treatment is based on the nature of the infection and severity, the likely pathogens involved in having nursing pups. Broad spectrum antibiotics can be initiated to control bacteremia while waiting for culture and sensitivity results. Uterine evacuation can be initiated using subcutaneous PGF2α (Lutalyse®, 0.1-0.2 mg/kg, every 12-24 hours) or synthetic subcutaneous prostaglandin (cloprostenol, 1-2 ug/kg, every 12-24 hours); however, careful consideration of the uterine wall integrity and the risks of rupture should be made.41 Oxytocin (0.25-1.0 U) will not be effective 24 hours postpartum due to lack of oxytocin receptors in the uterus.41 If there is a retained fetus or response to treatment is poor, ovariohysterectomy will be required, once the patient is stable.41 Severity of metritis may necessitate surgical removal of the uterus, if medical management is not successful. For example, ovariohysterectomy had to be performed in a dog on day 4 postpartum that had intrauterine mucopurulent material (Figure 4); additionally, the dog had mucopurulent vaginal discharge.

Figure 4.
Figure 4. Intrauterine mucopurulent material

Subinvolution of placental sites

A small amount of sanguinous, brown-mucoid vaginal discharge can be normal for the first 3-4 weeks postpartum; however, persistent discharge > 4 weeks, and even up to 12 weeks, can indicate subinvolution of placental sites (SIPS).11,41 Primiparous dams are more prone to this condition. SIPS is caused by syncytiotrophoblast cells persisting within the uterus, invading endometrium and progressively into myometrium, causing vascular damage, failure of endometrial blood vessel formation, and secondary occlusion.11 Collagen can form within these structures, extending deeper into myometrium.11

Clinical presentation and diagnosis

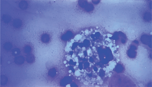
Other conditions causing hemorrhagic vulvar discharge, such as endometritis, trauma, neoplasia of the caudal reproductive tract, urinary infections, foreign bodies or coagulopathies should be ruled out before making a diagnosis of SIPS. Trophoblast cell (Figure 5) can be recovered by vaginal cytology in postpartum dogs with signs of SIPS. Although a normal finding in the early postpartum period, some SIPS patients with clinical signs may have a small number or no trophoblast cells in a vaginal swab.55

Figure 5.
Figure 5. Photomicrograph of vaginal cytology smear (stained with diff quick and visualized under brightfield microscopy at 20 x magnification); note trophoblast cell (white arrow)

Treatment

Spontaneous remission of SIPS can take up to several months that can be frustrating for owners and thus, treatment is usually requested. Successful treatment of SIPS has been reported using low-dose oral progestogens (megestrol acetate, 0.1 mg/kg orally once-daily for the first week and then 0.05 mg/kg orally once-daily for the second week).55 Successful treatment of SIPS was possible with higher doses of megestrol acetate (2 mg/kg).56 However, high doses of progestagens have the potential of inducing complications such as endometritis, depression of HPG axis, insulin resistance; may increase the risk of mastitis and mammary neoplasia, and can exacerbate obesity.57 Mechanism of progestogen action is theorized to aid in sloughing of the syncytiotrophoblast cells through endometrial stimulation.11 Usually, SIPS cases have mild vulvar discharge; however, in cases with severe hemorrhage, blood loss and in some cases severe thrombocytopenia is possible; in such cases stabilization and OHE should be performed.58

Analgesia in periparturient dogs

Analgesia is a very important consideration for nursing dams due to the risks associated to neonates; however, inadequate pain relief of the dam can result in aggressive behavior towards the young.59 Analgesia can be given in the form of nonsteroidal antiinflammatory drugs (NSAIDs); however, there is not enough scientific evidence to support if pups are safe to feed from the dam while on these medications. One issue with the NSAIDs on lactating dogs with mastitis is the breakdown in the mammary epithelium barrier that occurs on the affected gland, which is known to increase the transfer of NSAID into the milk, so it is not considered safe if dam has mastitis.60 The COX-2 preferential and COX-2 selective NSAIDs are known to affect kidney maturation in the neonate when given during late pregnancy.61 The normal kidney maturation process not completed until ~ 3 weeks of age and kidneys do not gain full function until 6-8 weeks of age59 or longer and thus, treatment of COX-2 selective NSAIDS had detrimental effects given to neonates in other species.62 The ability of the drug to cross the blood-milk barrier depends on lipid solubility and pH, molecular weight, consecutive days of use and whether the blood-milk barrier is intact. Consensus has generally reserved NSAIDs use during the lactation period as a one-off dose of a COX-2 NSAID such as meloxicam, but thorough safety studies are lacking in the dog.59 A small study with 7 lactating dams specifically tested carprofen, a COX-2 preferential inhibitor NSAID treatment and potential transfer to pups. The regular one-off intravenous carprofen dose of 4.4 mg/kg between weeks 2-4 of lactation had low concentrations in the dam’s milk due to high protein binding of the drug.63 There were no detectable drugs within pups plasma; however, the authors stated that further studies are required on a greater sample size and differing stages of lactation.63 NSAIDs in the COX-1 preferential and COX-1 selective categories, such as aspirin, ketoprofen, ketorolac, naproxen, and ibuprofen should not be used in cases where the dam is at risk of hemorrhage such as metritis.59 Opioids can cross the blood-milk barrier depending on lipid solubility of the drug. Furthermore, knowing the timing of peak effect can help to prevent nursing during this time.59

Conclusion

Clinical manifestations resulting from inadequate body condition, nutritional status, and disturbances in endocrinopathies during dogs’ periparturient period can have substantial detrimental effects on dam’s and fetuses/neonates’ health. Prebreeding examination and periparturient monitoring will allow early preventative measures to reduce the risk of these complications. Recognition of these periparturient conditions and the clinical presentations commonly displayed, can lead to early interventions resulting in favorable outcomes to the dam and fetuses/neonates.

References

1. Davidson A: Disorders of the periparturient period. Clinical Theriogenology 2004;6. Available from: https://cdn.ymaws.com/www.therio.org/resource/collection/5D65C928-81FD-4B44-9A2F-9C5D1C7FFA55/2004_49.pdf [cited 15 September 2025].
2. Lopate C: Reproductive physiology of canine pregnancy and parturition and conditions of the periparturient period. In: Lopate C: editor. Management of Pregnant and Neonatal Dogs, Cats, and Exotic Pets. Amen: Wiley: 2012. p. 25-41. doi: 10.1002/9781118997215.ch3
3. Sones J, Balogh O: Body condition and fertility in dogs. Vet Clin North Am Small Anim Pract 2023;53:1031-1045. doi: 10.1016/j.cvsm.2023.04.005
4. Zaadstra BM, Seidell JC, Van Noord PA, et al: Fat and female fecundity: prospective study of body fat distribution on conception rates. BMJ 1993;306:484-487. doi: 10.1136/bmj.306.6876.484
5. Mlyczynska E, Kiezun M, Kurowska P, et al: New aspects of corpus luteum regulation in physiological and pathological conditions. Cells 2022;11:957. doi: 10.3390/cells11060957
6. Dag ZO, Dilbaz B: Impact of obesity on infertility in women. J Turk Ger Gynecol Assoc 2015;16:111-117. doi: 10.5152/jtgga.2015.15232
7. Fontaine E: Food intake and nutrition during pregnancy, lactation and weaning. Reprod Domest Anim 2012;47:326-330. doi: 10.1111/rda.12102
8. Greco DS: Nutritional supplements for pregnant and lactating bitches. Top Companion Anim Med 2009;24:46-48. doi: 10.1016/j.theriogenology.2008.04.013
9. Pereira KHNP, Fuchs KM, Mendonca JC, et al: Topics on maternal, fetal and neonatal immunology of dogs and cats. Vet Immunol Immunopathol 2023;266:110678. doi: 10.1016/j.vetimm.2023.110678
10. Kim H, Wakshlag JJ: Nutrition and theriogenology: nutrition during gestation, lactation, weaning and breeding. Vet Clin North Am Small Anim Pract 2023;53:1083-1098. doi: 10.1016/j.cvsm.2023.05.003
11. Johnston S, Root Kustritz M, Olson P: Periparturient disorders in the bitch. In: Canine and Feline Theriogenology. Philadelphia, PA; Saunders: 2001. p. 129-145.
12. Kutzler MA: Eclampsia. In: Drobatz KJ, Hopper K, Rozanski E, et al: editors. Textbook of Small Animal Emergency Medicine. Hoboken: Wiley: 2018. p. 771–774. doi: 10.1002/9781119028994
13. Verstegen-Onclin K, Verstegen J: Endocrinology of pregnancy in the dog. Theriogenology 2008;70:291-299. doi: 10.1016/j.theriogenology.2008.04.038
14. Papa PC, Kowalewski MP: Factors affecting the fate of the canine corpus luteum. Theriogenology 2020;150:339-346. doi: 10.1016/j.theriogenology.2020.01.081
15. Concannon PW: Endocrinologic control of normal canine ovarian function. Reprod Domest Anim 2009;44:3-15. doi: 10.1111/j.1439-0531.2009.01414.x
16. Fusi J, Veronesi MC: Canine parturition: hormonal setting. Domest Anim Endocrinol 2022;78:106687. doi: 10.1016/j.domaniend.2021.106687
17. Kowalewski MP, Michel E, Gram A et al: Prolactin receptor expression during pregnancy and parturition. Reprod Biol Endocrinol 2011;9:109. doi: 10.1186/1477-7827-9-109
18. Johnson CA: Glucose homeostasis during canine pregnancy. Theriogenology 2008;70:1418-1423. doi: 10.1016/j.theriogenology.2008.09.008
19. Razquin P, Sones J: Pregnancy monitoring and parturition in dogs. Clinical Theriogenology 2024;16:1-9. doi: 10.58292/CT.v16.10795
20. Kowalewski MP, Kautz E, Hogger E, et al: Interplacental uterine expression of genes involved in prostaglandin synthesis during canine pregnancy and at induced prepartum luteolysis/abortion. Reprod Biol Endocrinol 2014;12:46. doi: 10.1186/1477-7827-12-46
21. Kowalewski MP, Beceriklisoy HB, Pfarrer C, et al: Canine placenta as a source of prepartal prostaglandins. Reproduction 2010;139:655-664. doi: 10.1530/REP-09-0140
22. Hoffmann B, Busges F, Engel E, et al: Regulation of corpus luteum function in the bitch. Reprod Domest Anim 2004;39:232-240. doi: 10.1111/j.1439-0531.2004.00508.x
23. Rook JS: Pregnancy toxemia in ewes, does and beef cows. Vet Clin North Am Food Anim Pract 2000;16:293-317. doi: 10.1016/s0749-0720(15)30107-9
24. Ji X, Liu N, Wang Y, et al: Pregnancy toxemia in ewes. Metabolites 2023;13:149. doi: 10.3390/metabo13020149.
25. Beckers K, Gomes V: Pregnancy toxemia in the bitch. Proc Soc Theriogenology 2020; p. 12.
26. BulginM: Diseases of the periparturient ewe. In: Youngquist RS, Threlfall WR: editors. Current Therapy in Large Animal Theriogenology. St. Louis; Saunders Elsevier: 2007. p. 697-699. doi: 10.1016/B978-072169323-1.50095-7
27. Herdt TH: Ruminant adaptation to negative energy balance. Vet Clin North Am Food Anim Pract 2000;16:215-230. doi: 10.1016/s0749-0720(15)30102-x
28. Nakahara N, Llewellyn RK, George P, et al: Hypoglycemia and ketosis in a pregnant bitch. Clinical Theriogenology 2016;8:127-130. doi: 10.58292/ct.v8.11141
29. Balogh O, Bruckmaier R, Keller S, et al: Effect of maternal metabolism on fetal supply: glucose, non-esterified fatty acids and betahydroxybutyrate concentrations in canine maternal serum and fetal fluids at term pregnancy. Anim Reprod Sci 2018;193: 209-216. doi: 10.1016/j.anireprosci.2018.04.072
30. Zhu C, Timothy CL, McCobb E, et al: Resource setting and dystocia outcomes in dogs. J Am Vet Med Assoc 2024;262:818-824. doi: 10.2460/javma.23.09.0516.
31. Fall T, Johansson Kreuger S, Juberget A, et al: Gestational diabetes mellitus in 13 dogs. J Vet Intern Med 2008;22:1296-1300. doi: 10.1111/j.1939-1676.2008.0199.x
32. Selman PJ, Mol JA, Rutteman GR, et al: Progestin-induced GH excess in dogs. Endocrinology 1994;134:287-292. doi: 10.1210/endo.134.1.7506206
33. Eigenmann JE, Rijnberk A: Influence of medroxyprogesterone on GH and carbohydrate metabolism. Acta Endocrinol 1981;98: 599-602. doi: 10.1530/acta.0.0980599
34. Kooistra H, Okkens A: Prolactin and GH secretion relative to ovarian activity. Reprod Domest Anim 2001;36:115-119. doi: 10.1046/j.1439-0531.2001.00311.x
35. Armenise A, Pastorelli G, Palmisano A, et al: Gestational diabetes with ketoacidosis in a Yorkshire terrier. J Am Anim Hosp Assoc 2011;47:285-289. doi: 10.5326/JAAHA-MS-5668
36. Gonzales K: Periparturient diseases in the dam. Vet Clin North Am Small Anim Pract 2018;48:663-681. doi: 10.1016/j.cvsm.2018.02.010
37. Orfanou D, Ververidis H, Fthenakis G, et al: Pathologic postpartum conditions in the bitch. J Hellenic Vet Med Soc 2008;59: 111-125. doi: 10.12681/jhvms.14953
38. Drobatz KJ, Casey KK: Eclampsia in dogs: 31 cases. J Am Vet Med Assoc 2000;217:216-219. doi: 10.2460/javma.2000.217.216
39. Hollinshead FK, Hanlon DW, Gilbert RO, et al: Calcium, PTH, oxytocin and pH in whelping bitches. Theriogenology 2010;73: 1276-1283. doi: 10.1016/j.theriogenology.2009.12.008
40. Charalambous M, Volk HA, Van Ham L, et al: Benzodiazepine routes for canine status epilepticus. BMC Vet Res 2021;17:103. doi: 10.1186/s12917-021-02805-0
41. Davidson A: Problems during and after parturition. In: England G, Von Heimendahl A: editors. BSAVA Manual of Canine and Feline Reproduction and Neonatology. Gloucester; BSAVA: 2021. p. 130-134. doi: 10.22233/9781905319541.14
42. Wiebe VJ, Howard JP: Pharmacologic advances in canine and feline reproduction. Top Companion Anim Med 2009;24:71-99. doi: 10.1053/j.tcam.2008.12.004
43. Larsen JA, Della Maggiore A: Electrolyte imbalances. In: Nelson RW, Couto CG: editors. Small Animal Internal Medicine. St. Louis; Elsevier: 2019. p. 928.
44. Vasiu I, Dabrowski R, Tabaran FA, et al: Reliability of laboratory tests in diagnosing bitch mastitis. In: Bekoe SO, Saravanan M, Adosraku RK, et al: editors. Veterinary Medicine and Pharmaceuticals. Kumasi: IntechOpen; 2019:1-21. doi: 10.5772/intechopen.86151
45. Kaszak I, Ruszczak A, Kanafa S, et al: New insights into canine mastitis. Anim Sci Pap Rep 2018;36:33-44. doi: 10.2478/aspr-2018-0003.
46. Vasiu I, Meroni G, Dabrowski R, et al: Aerobic isolates from gestational and nongestational lactating bitches. Animals 2021;11:3259. doi: 10.3390/ani11113259
47. Lection J, Cornelius AJ, Moxon R, et al: Risk factors for canine mastitis and metritis. Anim Reprod Sci 2021;231:106802. doi: 10.1016/j.anireprosci.2021.106802
48. Vasiu I, Dabrowski R, Martinez-Subiela S, et al: Milk C-reactive protein in canine mastitis. Vet Immunol Immunopathol 2017; 186:41-44. doi: 10.1016/j.vetimm.2017.02.005
49. Marti J, Fernandez S: Clinical approach to mammary gland disease. In: England G, Von Heimendahl A: editors. BSAVA Manual of Canine and Feline Reproduction. Gloucester; BSAVA: 2010. p. 155-165. doi: 10.22233/9781905319541.17
50. Schafer-Somi S, Spergser J, Breitenfellner J, et al: Bacteriologic status of canine milk. J Vet Med B 2003;50:343-346. doi: 10.1046/j.1439-0450.2003.00672.x
51. Biddle D, Macintire DK: Obstetrical emergencies. Clin Tech Small Anim Pract 2000;15:88-93. doi: 10.1053/svms.2000.6803
52. Abramowitz C, Deutch A, Shamsian E, et al: Red cabbage as treatment for lactational mastitis. Cureus 2023;14:e33191. doi: 10.7759/cureus.33191
53. Grundy SA, Davidson AP: Theriogenology question of the month. J Am Vet Med Assoc 2004;224:844-847. doi: 10.2460/javma.2004.224.844
54. Pharr JW, Post K: Imaging of the postpartum uterus. Vet Radiol Ultrasound 1992;33:35-40. doi: 10.1111/j.1740-8261.1992.tb01954.x
55. Voorhorst M, Van Brederode J, Albers-Wolthers C, et al: Treatment of subinvolution of placental sites. Reprod Domest Anim 2013; 48:840-843. doi: 10.1111/rda.12172
56. Arbeiter K: Use of progestins for postpartum hemorrhage. Theriogenology 1975;4:11-13. doi: 10.1016/0093-691x(75)90053-9
57. Okkens AC, Kooistra HS: Clinical endocrinology of dogs and cats. Schlutersche: 2001:203-212.
58. Crosby J, Plested M, Hardas A, et al: Thrombocytopenia due to SIPS. Vet Rec Case Rep 2022;10:e288. doi: 10.1002/vrc2.288
59. Mathews KA: Analgesia for pregnant and lactating animals. J Vet Emerg Crit Care 2005;15:273-284. doi: 10.1111/j.1476-4431.2005.00170.x
60. Ferrari D, Lundgren S, Holmberg J, et al: Carprofen concentration in milk of lactating bitches. Theriogenology 2022;181:59–68. doi: 10.1016/j.theriogenology.2022.01.016
61. Breyer MD, Harris RC: COX-2 and the kidney. Curr Opin Nephrol Hypertens 2001;10:89-98. doi: 10.1097/00041552-200101000-00014
62. Smith FG, Wade AW, Lewis ML, et al: COX inhibitors and the newborn kidney. Pharmaceuticals 2012;5:1160-1176. doi: 10.3390/ph5111160
63. Nebel-Karp A, Papich M, Messenger K, et al: Pharmacokinetics of carprofen in lactating dogs. Clinical Theriogenology 2024;16:1-7. doi: 10.58292/CT.v16.10491

Footnote

*Presented at the 2023 Society for Theriogenology conference, published after peer review.