Case Report

Use of a direct-to-consumer genetic screening test for diagnosis of a chromosomal abnormality in a female dog*

Jenna Dockweiler,a Valeria Rickard,b Daniel Leon-Frank,b Christopher Premanandan,c Adam Boyko,d Takeshi Kawakamia

aEmbark Veterinary, Inc., Boston, MA, USA, bNorth Oatlands Animal Hospital, Leesburg, VA, USA, cDepartment of Veterinary Biosciences, College of Veterinary Medicine, The Ohio State University Columbus, OH, USA, dDepartment of Biomedical Sciences, College of Veterinary Medicine, Cornell University, Ithaca, NY, USA

Abstract

A 3-year phenotypically female Siberian husky with primary anestrus, was screened for known genetic diseases using a direct-to-consumer saliva test. Dog had 2 distinct genetic profiles, suggesting a chimera or mosaic condition, ultimately confirmed with cytogenetic analysis. Histopathology of the intraabdominal gonads revealed hypoplastic testicular and epididymal tissue. This case highlights the utility of a novel test that is both inexpensive and noninvasive to diagnose chromosomal anomalies in dogs.

Keywords: Microarray, chromosomal anomaly, genetic, genetic test, DNA test

 

Citation: Clinical Theriogenology 2025, 17, 12703, http://dx.doi.org/10.58292/CT.v17.12703

Copyright: © 2025 The Author(s). This is an Open Access article distributed under the terms of the Creative Commons Attribution-NonCommercial 4.0 International License (http://creativecommons.org/licenses/by-nc/4.0/), permitting all noncommercial use, distribution, and reproduction in any medium, provided the original work is properly cited.

Published: 20 November 2025

Competing interests and funding: One author (AB) cofounded Embark Veterinary, Inc. Two authors (JD and TK) are currently employed by Embark Veterinary, Inc.
Embark Veterinary, Inc. provided monetary support for continued diagnostics (histopathology and blood karyotyping) in this case. No further financial compensation was provided.

CONTACT: Jenna Dockweiler jenna.dockweiler@gmail.com

 

Background

This case highlights the clinical utility of genetic microarray-based testing to diagnose chromosomal abnormalities. Currently, available tests for this condition are expensive and rely on blood or tissue samples to arrive at a diagnosis. Given the increasing availability of noninvasive and inexpensive genetic testing options, this case offers valuable insights into applying such tests during the workup of suspected chromosomal anomalies in animals.

Case presentation

A 3-year intact female Siberian husky was genetically screened using a commercially available direct-to-consumer genetic test (Embark® Breed & Health Dog DNA Test, Embark Veterinary, Inc., Boston, MA, USA) to assess known disease-associated mutations before breeding. This testing was run on a dense DNA genotyping microarray (Illumina Canine HD 270k genotyping array, Illumina, Inc., San Diego, CA, USA) using a saliva sample to detect risk variants for 270 known genetic health conditions. Genetic analysis failed to return results through the automated pipeline with 3 separate samples, suggesting structural abnormalities within dog’s genome. Owner reported no signs of estrus had ever been noted in this dog, although a littermate had cycled thrice.

At 6 months of age, the patient underwent a negative exploratory laparotomy for a suspected foreign body. No comment was made on the appearance of the internal reproductive tract at this time.

At 14 months of age, the patient began to exhibit nocturnal enuresis. Chemistry panel, CBC, and urinalysis were within normal limits. Resting estradiol, progesterone, and testosterone concentrations were within normal limits for a spayed dog, an intact female dog, and a neutered male (Table). Testosterone concentrations were lower (< 15 ng/ml) compared to the reference range for intact males (19-2,630 ng/ml) (Table). A right lateral radiograph revealed a suspected pelvic bladder (short urethra syndrome); phenylpropanolamine (1.2 mg/kg) once every 12 hours, was recommended.

Table. Patient results and reference ranges for resting hormonal assays performed at 14 months of age. Testing was performed at the University of Tennessee College of Veterinary Medicine’s Diagnostic Endocrinology Service.
Hormones Patient Spayed female Intact female Neutered male Intact male
Estradiol (pg/ml) 32.1 30.8 – 69.9 31.5 – 65.4 23.1 – 65.1 30.5 – 66.6
Progesterone (ng/ml) < 0.20 < 0.20 – 0.49 < 0.20 – 2.16 < 0.20 < 0.20 – 0.40
Testosterone (ng/ml) < 15.0 < 15.0 – 32.0 < 15.0 < 15.0 – 24.0 19.0 – 2630.0

Physical examination revealed juvenile mammary glands with indiscernible teats. External genitalia were consistent with that of a female, but close examination of the vulva revealed abnormal conformation with a possible rudimentary penile structure.

Genetic screening (Embark® Breed & Health Dog DNA Test) run on a customized CanineHD 270k microarray genotyping platform (Illumina, Inc.) performed on a saliva sample could not identify disease-associated mutations for all health conditions tested due to difficulty detecting both paternal and maternal variants of all genetic markers on the microarray. A manual review of the fluorescent signal plots revealed abnormal cytogenetic patterns across all chromosomes. Specifically, 4 copies of each autosome, 3 copies of each X chromosome, and 1 copy of the Y chromosome were detected (Figure 1), consistent with 2 distinct canine DNA signatures, 1 male and 1 female, contributing to the sample. This pattern indicated XX/XY chimerism or mosaicism.

Figure 1.
Figure 1. Allele frequency plots of the case dog (A) and a normal diploid XY male dog (B) generated by the microarray used for health screening in this case (Embark® Breed & Health Dog DNA Test). Each dot denotes a genetic marker along a chromosome, and the plot’s alternating gray and black dots correspond to chromosomes 1-38 and the sex chromosomes. The vertical axis indicates the estimated frequencies of the non-reference allele. In panel A, four sets of chromosomes mean more than three possible combinations of genotypes (leading to multiple clusters in the middle of the plot instead of a single band). The absence of markers with allele frequencies around 0.5 on chromosome 40 (Y) indicates the presence of a single Y chromosome. In panel B, the cluster at the bottom represents homozygotes for a reference allele, the cluster at the top represents homozygotes for a non-reference allele, and the cluster in the middle represents the heterozygous state. This normal male dog is homozygous for some and heterozygous for other markers across all autosomes, and homozygous for all markers on chromosome 39 (X) and chromosome 40 (Y)

Treatment

Gonadectomy was recommended due to poor prognosis for fertility and possible neoplastic transformation of gonadal tissue. Presurgical bloodwork (CBC, chemistry panel, PT, and aPTT) was within normal limits.

Standard 3-port laparoscopy was used for abdominal exploration. The gonad-like structures caudal to each kidney did not have a discrete shape but appeared to have a blood supply like an ovarian pedicle and a suspensory ligament-like structure cranially (Figure 2). The pedicle-like blood supply was cauterized, and each gonad was removed. Broad ligament-like tissue extended toward the inguinal ring and uterus was not visualized.

Figure 2.
Figure 2. Appearance of gonads intraoperatively (A) and after excision (B). G = gonad, S = suspensory ligament-like structure, P = pedicle-like structure, T = tissue extending toward and through the inguinal ring. Marker = 1 cm

Outcome

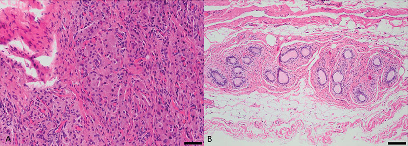
Surgically excised tissues were fixed in formalin and processed by routine methods for microscopic evaluation. Small aggregates of interstitial cells and sporadic basement membranes (presumably of collapsed seminiferous tubules) were identified in the tissue excised from the left gonadal tissue. A separate region within the specimen contained small tubular profiles resembling epididymis. The tissue excised from the right contained similar tubules. In summary, testicular and epididymal tissue were hypoplastic in the left specimen, whereas only hypoplastic epididymal tissue was identified in the right (Figure 3).

Figure 3.
Figure 3. Photomicrograph depicting the remnant interstitial cells from the gonadal tissue excised from the left side (A). Marker = 50 µm. Photomicrograph depicting the hypoplastic epididymal tubules excised from the right side (B). Marker = 50 µm

A blood karyotype was performed on lymphocytes using Giemsa staining and fluorescent in situ hybridization. Blood was collected into sterile sodium heparin and ethylenediaminetetraacetic acid (EDTA) tubes and shipped refrigerated overnight to Texas A&M University Molecular Cytogenetics Laboratory. An almost equal number of normal female 78, XX (54%) and male 78, XY (46%) cells in blood lymphocytes were present, consistent with blood chimerism (Figure 4). Polymerase chain reaction testing for the Y-linked SRY gene was positive (consistent with XY cells presence).

Figure 4.
Figure 4. Giemsa-stained karyotype image to show chromosome number and morphology of 2 separate lymphocytes from the case dog. The X and Y chromosomes are indicated by magenta and blue arrows, respectively. One lymphocyte exhibits a karyotype of XX (A), while another exhibits a karyotype of XY (B). Karyotyping was performed at the Texas A&M University Molecular Cytogenetics laboratory

Discussion

A DNA genotyping microarray is a genotyping platform consisting of thousands of known nucleic acid fragments (probes) bound to a solid surface (chip). The chip is bathed with a DNA sample from a patient, and complementary base pairing between the patient sample and probes occurs. Bound fragments are fluorescently labeled, and a machine reads the fluorescence and assigns a genotype at each locus. This technology can create a readout of genotype information at thousands of predetermined locations in the genome that can be used for health screening and to make animal breeding decisions.

Cytogenetic analysis in the dog is challenging due to a high diploid chromosome number (78 autosomes and a pair of sex chromosomes) and the one-arm morphology of the autosomes.1 Microarrays can assess chromosomal imbalances and may detect small anomalies beyond the resolution of routine karyotyping.2 Additionally, microarray technology may detect aneuploidy and the presence of multiple genotypes (such as chimerism or mosaicism).2 Allele frequency plots are utilized to detect these anomalies.2 This plot visualizes the fluorescent signal ratio of reference and nonreference alleles, such that a value 1 or 0 in the plot indicates the complete absence of the alternate allele (a homozygous genotype of either reference or nonreference allele), and a value 0.5 indicates the presence of both alleles (the heterozygous state). In a diploid animal, 3 discrete clusters are observed in the allele frequency plot near 0, 0.5, and 1. A different number of bands will be noted in aneuploidy, mosaicism, and chimerism due to the possibility of greater than 3 genotype combinations (Figure 1).

A chimera is a single organism derived from the fusion of 2 or more zygotes, whereas a mosaic is a single organism with multiple cell lines derived from 1 zygote with subsequent mitotic errors during early embryogenesis.3 In humans, not all XX/XY individuals are chimeras; several case reports of a mosaic 46,XX/46,XY karyotype derived from an XXY zygote by either 2 nondisjunction or anaphase lag events exist.3 In our case, determining whether this individual is a chimera or a mosaic was not performed as it was not clinically relevant to patient outcome.

Disorders of sexual development (DSDs) in dogs can be divided into 3 broad categories: sex chromosome DSDs, XY DSDs, and XX DSDs.4 XX and XY DSDs occur in animals with normal karyotypes but other anomalies, such as testicular or ovarian development disorders or cryptorchidism.4 Furthermore, 78, XX/78, XY chimerism or mosaicism are examples of sex chromosome DSDs.4 This type of DSD is reported less frequently in veterinary species than humans, potentially due to economic concerns of diagnostic testing.4 Each year, a commercial genetic screening company (Embark Veterinary, Inc.) generally identifies between 20 and 50 individuals with autosomal and/or sex chromosome anomalies, including monosomy, trisomy, and chimeras or mosaics. The overall frequency of chimeric/mosaic dogs and dogs with aneuploidy detected by this company is ~ 77 per 1 million dogs tested. Other sex chromosome anomalies detected include XO, XXX, XXY, and XYY karyotypes. Many more individuals with discrepancies between the genetic and phenotypic sex are identified (with a normal chromosome number) annually. These data imply abnormal karyotypes in dogs may be less rare than previously believed. The clinical relevance of most types of anomalies is unclear due to limited owner reporting of associated health outcomes. Additionally, for sex chromosome anomalies, many affected individuals were altered prior to adoption, so the manifestation of reproductive symptoms is unknown.

Direct-to-consumer genetic testing has continued to gain popularity, and veterinary professionals appreciate its clinical utility.5 However, knowledge gaps in interpreting results persist within the industry.5 Genetic tests typically offer information on breed ancestry, health conditions, inbreeding, and physical traits. The present case describes the use of direct-to-consumer genetic testing to diagnose a chromosomal abnormality (XX/XY chimerism or mosaicism) resulting in a DSD and primary anestrus (failure to cycle by 24 months of age). This case highlighted the utility of this cost-effective, noninvasive test to screen for potential chromosomal anomalies, a seldom-considered benefit of microarray-based testing.

Learning points

Acknowledgement

Authors thank Dr. Terje Raudsepp and the Molecular Cytogenetics Laboratory at Texas A&M for excellent diagnostic results interpretation, reporting, and support.

Author contributions and agreement

All authors have made substantial contributions to the clinical (VR, DLF) or diagnostic (JD, CP, AB, TK) management of this case and have been involved in drafting and revising this manuscript. All authors have read and approved the final version of the manuscript and have agreed to its submission.

References

1. Szczerbal I, Switonski M: Clinical cytogenetics of the dog: a review. Animals 2021;11:947. doi: 10.3390/ani11040947
2. Levy B, Burnside RD: Are all chromosome microarrays the same? What clinicians need to know. Prenat Diagn 2019;39:157–164. doi: 10.1002/pd.5422
3. Madan K: Natural human chimeras: a review. Eur J Med Genet 2020;63:103971. doi: 10.1016/j.ejmg.2020.103971
4. Meyers-Wallen VN: Gonadal and sex differentiation abnormalities of dogs and cats. Sex Dev 2012;6:46–60. doi: 10.1159/000332740
5. Bennett NE, Johnson EA, Gray PB: Veterinary care providers recognize clinical utility of genetic testing but report limited confidence in interpreting direct-to-consumer results. Am J Vet Res 2024. 2024;86:e0265 doi: 10.2460/ajvr.24.09.0265

Footnote

*Abstract was presented at the Society for Theriogenology 2023 conference; (http://dx.doi.org/10.58292/CT.v15.10001) page 20.