Case Report

Diagnosis, treatment, and outcome of luteoma in a mare

Erin Lohbeck,a Etta Bradecamp,a Brett Woodie,a Rachel Doenges,a Mariah Slack,a Francine Calvarusob

aRood and Riddle Equine Hospital, Lexington, KY, USA
bUniversity of Kentucky Veterinary Diagnostic Laboratory, Lexington, KY, USA

Abstract

A 5-year, grade mare in a commercial recipient herd was presented for transrectal palpation and ultrasonography; mare had a follicle on the left ovary that continued to grow for ~ 2 months with typical cyclic activity on the right ovary. Blood was submitted for granulosa cell tumor (GCT) endocrine panel (inhibin B, testosterone, and antimüllerian hormone [AMH]). Serum testosterone concentrations (49.5 pg/ml; normal range: 20-45 pg/ml) and AMH concentrations (> 14 ng/ml; normal range: 0.1-6.9 ng/ml) were higher, and inhibin B concentrations were normal (61.9 pg/ml; normal range: 60.1-100 pg/ml). Based on abnormal left ovarian structure and GCT panel results, left ovariectomy was performed; left ovarian luteoma was diagnosed histologically. Mare resumed cyclicity on the right ovary and returned to the recipient mare herd. Increased inhibin B and AMH concentrations were previously reported in 2 mares with luteoma (diagnosed after ovariectomy); however, this is the first report documenting increased testosterone concentrations. Although luteoma is an uncommon diagnosis, it should be considered as a differential for abnormal ovarian structures, abnormal behavior, and altered ovarian hormone profile.

Keywords: Horse, ovary, luteoma, testosterone, inhibin B, antimüllerian hormone

 

Citation: Clinical Theriogenology 2025, 17, 12589, http://dx.doi.org/10.58292/CT.v17.12589

Copyright: © 2025 The Author(s). This is an Open Access article distributed under the terms of the Creative Commons Attribution-NonCommercial 4.0 International License (http://creativecommons.org/licenses/by-nc/4.0/), permitting all noncommercial use, distribution, and reproduction in any medium, provided the original work is properly cited.

Published: 13 June 2025

CONTACT Erin Lohbeck elohbeck@roodandriddle.com

Competing interests and funding: None to declare.

 

Background

Abnormalities of the equine ovary are overrepresented by granulosa-theca cell tumors and granulosa cell tumors (GCT). These subtypes of ovarian sex cord tumors comprise 85% of reported ovarian neoplasms diagnosed histologically.1 Other documented ovarian abnormalities that can occur include hemorrhagic anovulatory follicles, abscesses, thecomas, teratomas, Sertoli cell tumor of the ovary, Leydig cell tumor, androblastoma, arrhenoblastoma, interstitial gland tumor, and lipid cell tumor of the ovary.2 A luteoma is a neoplastic proliferation of luteal cells that are derived from granulosa cells and are mesodermal in origin. To date, 3 cases of luteomas have been described in the mare.3,4 Due to the nature of the affected tissues, many of the ovarian sex cord tumors produced excess concentrations of antimüllerian hormone (AMH), testosterone, and inhibin B.1 Presumptive diagnosis of ovarian sex cord tumors in a mare is made based on abnormal ovarian structures identified by transrectal palpation and ultrasonography of the ovary, positive results of serum ovarian hormone panel, and stallion-like behavior; however, ultimately histopathology is required to confirm ovarian neoplasia and type.1

A luteoma is a benign neoplastic proliferation of luteal cells that is rarely diagnosed in mammalian species but has been documented in domestic animals and in women.3,5-8 In women, luteoma is specific to pregnancy and produces excess androgens, specifically testosterone.5 True incidence is unknown due to varying clinical signs and most of them are identified at cesarian surgery; however it is rare.5 Increased hormone concentrations cause changes such as hirsutism and virilization during the second half of pregnancy, and 50% of female infants may experience virilization.5 Dissimilar to other species, luteomas in women regress spontaneously following parturition.5 In cattle, the incidence is low (2.2%).6 In cattle, luteomas are typically unilateral and produce progesterone, causing the cow to enter a state of prolonged diestrus that is perceived by owners as a period of anestrus.7 However, if the luteoma is minimally hormonally active, the cow may continue to cycle and conceive.7 After removal of the affected ovary, the cow may return to cyclicity but it is not guaranteed.7 In the female dog, the incidence is also reported to be low, with a single case reported that had clinical signs of abdominal distension and signs associated with hyperadrenocorticism.8 Ovarian hormone profile has not been described in the dog and the mechanism for which luteoma induced hyperadrenocorticism is unclear. However, following removal of the ovary and treatment for a subsequent hypoadrenal crisis, the dog’s condition was normalized.8

Mares diagnosed with a luteoma typically present with aggressive behavior leading to difficulty in management.4 Hormone profiles of documented mares indicated 2 mares with increases in inhibin B with varying increases in AMH concentrations and no deviation in plasma testosterone, and an additional mare with no deviations in ovarian hormone profile.3,4 Our objective is to describe a luteoma case in a mare that subjectively displayed no aggressive behavior, yet had increases in serum testosterone and AMH concentrations with no increase in inhibin.

Case presentation

A 5-year, maiden recipient mare used for commercial embryo transfer was noted to have an enlarged left ovary during routine reproductive transrectal ultrasonography. Prior to the development of the abnormal structure, the mare’s reproductive cycles appeared normal with appropriate follicular dynamics and ovulations. Following a successful embryo transfer with subsequent development of an anembryonic vesicle, the mare was reported to ovulate appropriately over the subsequent estrous cycle. Mare was evaluated by transrectal ultrasonography to determine the possibility of prostaglandin F treatment; a 35 mm follicle and a corpus luteum were identified on the left ovary, follicles (20 mm) were present on the right ovary, no uterine edema or intraluminal fluid was observed, and cervix was closed and toned. Intramuscular prostaglandin F (250 μg; Estrumate, Merck Animal Health, Rahway, NJ) was given and mare was evaluated 2 days later. Mare had a 52 mm follicle on the left ovary and a 32 mm follicle on the right ovary; however, there was no uterine edema or intraluminal fluid, and the cervix remained closed. Mare’s reproductive tract was evaluated daily by transrectal palpation and ultrasonography. Over the next 5 days, the follicle on the right ovary continued to enlarge, grew to 48 mm with firm tone, moderate uterine edema developed, and the follicle ovulated appropriately. The follicle on the left ovary continued to grow to 52 mm and remained firm but did not ovulate. Embryo transfer was not possible due to lack of in vivo embryo production by the anticipated donor mares. Mare was evaluated 9 days later for prostaglandin treatment. Mare’s enlarged follicle on the left ovary measured 93 mm. Normal follicular dynamics were observed on the right ovary throughout the examination period. Approximately 30 days after initial observation, the structure on the left ovary measured 152 mm with hypoechoic contents and a subjectively thickened rim. On initial examinations, transrectal palpation findings of the left ovary were consistent with a normal ovary with a large dominant follicle and ovulation fossa. However, as the abnormal structure continued to grow to its final diameter of 152 mm, palpation of structures such as the ovulation fossa became less defined and more difficult to appreciate due to the gross size of the ovary and difficulty in manipulation. On day 30, serum was submitted (Clinical Endocrinology Laboratory at UC Davis) for GCT endocrine profile (AMH, inhibin, and testosterone). Serum testosterone concentrations (49.5 pg/ml; normal range: 20-45 pg/ml) and AMH concentrations (> 14 ng/ml; normal range: 0.1-6.9 ng/ml) were higher, and inhibin B concentrations were normal (61.9 pg/ml; normal range: 60.1-100 pg/ml).

Treatment

Due to the persistence and continued growth of the structure on the left ovary combined with the results of the GCT panel, the decision was made to remove the left ovary. Transrectal ultrasonography was conducted before surgery. What was earlier described as an anechoic follicular structure appeared hyperechoic and had hyperechoic strands (Figure 1). Standing unilateral left ovariectomy was performed with a flank approach. Ovary had to be drained (500 ml of fluid was drained via suction) before removal. Ovary was large (~ 10 x 5 cm) and had a well demarcated unencapsulated mass (Figure 2); there was hemorrhage within its stroma. Ovary was submitted for histopathology.9

Figure 1.
Figure 1. Transrectal ultrasonographic images of the abnormal structure on the left ovary immediately prior to ovariectomy. Both images are from the same evaluation of the structure but are different planes of view; note the hyperechoic appearance of the antral fluid in some fields and thin hyperechoic strands in others (only 12 cm depth is depicted, but the structure extended beyond this field)

Figure 2.
Figure 2. Removed left ovary (A) and cut section (B); note large cavity previously filled with fluid

Outcome

Mare recovered from surgery and was returned to the recipient herd. An incisional infection developed at the site of the flank laparotomy ~ 3 weeks after surgery, with swelling at the most ventral part of the incision site. A focal ultrasonographic examination of the swelling was performed that was suspicious for abscess formation. The swelling was aspirated, and 23 ml of purulent discharge was recovered and submitted for aerobic culture. The culture recovered 2 bacteria: Streptococcus dysgalactiae ssp equisimilis and Escherichia coli. This infection was treated (2 treatments 4 days apart) with intramuscular ceftiofur crystalline free acid (3,200 mg; Excede, Zoetis Servies LLC, Parsippany, NJ). Since ovariectomy was in September, routine transrectal palpation and ultrasonography were not performed due to low numbers of possible embryo transfers at that time of year. Following complete recovery from surgical site infection, prior to winter, mare was evaluated for 1 cycle (culture and cytology were obtained); mare was cycling appropriately with 1 (right) ovary. To date, mare has not yet had an embryo transfer.

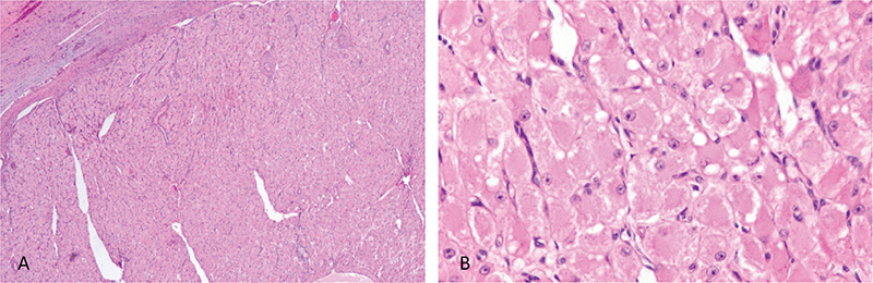
On histopathologic examination, the mass consisted of polygonal cells with abundant, finely vacuolated to granular eosinophilic cytoplasm. Nuclei were round with stippled chromatin and 1-3 nucleoli (Figure 3). No mitotic figures were observed; based on histopathologic findings, the mass was identified as luteoma.

Figure 3.
Figure 3. Light microscopic images of the mass at 20 x magnification (A) and 400 x magnification (B) stained with hematoxylin and eosin; note polygonal cells with abundant, finely vacuolated to granular eosinophilic cytoplasm, round nuclei with stippled chromatin and 1-3 nucleoli and no mitotic figures

Discussion

The presentation and diagnostic findings of this equine luteoma case differed from those reported3,4 with regards to ovarian hormone profiles, ovarian appearance, and clinical signs. Although the most classic clinical sign associated with reported luteomas was aggressive behavior, our mare had no history of this type of behavior. This could provide a discrepancy in indicators for this abnormality, or it was possible that tumor was identified early and was removed before behavior changes started to develop. Previous assumptions that testosterone is the driving factor for aggression and stallion-like behavior have recently been challenged by ovarian hormone panel results that do not indicate increases in testosterone or other hormones, despite stallion-like aggression being displayed by the mare in question.3 This suggests that there may be other factors driving the behavior that require more research and evaluation to determine the cause.

Reports have documented that luteomas rarely cause ovarian enlargement with minimal ultrasonographic notable abnormalities.3,4 This mare differed from reported cases in that the affected ovary was substantially larger than the other. In a mare, bilateral ovariectomy was performed due to lack of diagnostic evidence to support removal of one ovary over the other.4 In this case, the left ovary was clearly abnormal, with the right ovary demonstrating normal follicular development, ovulation, and luteal formation. Because of this, unilateral left ovariectomy was performed. Bilateral ovariectomy, as performed in previous cases, aimed to remove the body’s main source of estrogen and decrease or eliminate clinical and behavioral signs associated with estrus.10 However, 35% of mares undergoing bilateral ovariectomy are reported to continue to have mild signs of behavioral estrus.10 It is unclear as to whether another source of estrogen, purely behavioral components, or if the removal of progesterone and its inhibition on expression of estrus contributed to continued low-level estrus behaviors.10 Bilateral ovariectomy successfully resolved behavioral concerns in 64-86% of cases, as reported from the perspective of the owners.11 However, in these cases, mares that had no histologic evidence of GCT were also reported to have an improvement in behavior.11 It should be noted that this reference was published based on the results of a survey given to mare owners, so false positives due to subjective bias had the potential to affect results. These authors proposed that this may indicate normal concentrations of reproductive hormones in some mares with behavioral concerns (as assessed by owners).11 Classification of ovarian sex cord tumors is based upon the predominant cell population compared to the rest of the surrounding tissue. Similarly to previously excised luteomas, this tumor featured polygonal cells with finely vacuolated to granular eosinophilic cytoplasm. Absence of spindle cells and Call-Exner bodies further supported the diagnosis of luteoma, as either of these cell types would indicate granulosa cell tumor or thecoma.2 Call-Exner bodies are identified as eosinophilic proteinaceous deposits that are surrounded by granulosa cells that are commonly, but not always observed in histologic examination of a GCT.2 Thecomas, although rare, have been documented to be macroscopically yellow due to lipid and microscopically composed of spindle cells with vacuolated cytoplasm containing lipids.12

It is commonly accepted that a serum ovarian hormone profile demonstrating increases in testosterone, AMH and/or inhibin B is associated with GCT, with AMH being more specific for GCT than either inhibin B or testosterone.1,13 The sensitivity of increased serum inhibin concentrations in GCT was as high as 96%; however in this study, 74% of mares with other ovarian abnormalities also had increased concentrations.13 Other studies cited sensitivity of inhibin to be 60,14 73,15 85,16 and 87%.17 In the same study, the sensitivity of an increase in serum AMH was 100% sensitive for a GCT, with only 4.8% of mares with another ovarian abnormality having an increase.13 A second study determined the sensitivity of AMH to be 98%.18 In the case of testosterone, the sensitivity of increased testosterone concentrations in GCT was 55%.16 In contrast to the hormone profiles associated with GCT, the changes in AMH, testosterone, and inhibin B serum concentrations in luteomas remains unclear. In 3 reported cases, serum AMH was increased in 2 cases, serum inhibin B increased in 1 case, but no change in testosterone in any cases.3,4 The mare presented in this case had increases in AMH and testosterone. The findings in this case demonstrated that the diagnosis of a specific ovarian neoplasm cannot be based solely on diagnostic imaging and AMH, testosterone or inhibin concentrations.

In the mare, the corpus luteum is comprised of large luteal cells that are almost completely derived from granulosa cells.19 This is in contrast to ruminants in which the luteal cells originate from both the theca and granulosa cells as small and large luteal cells, respectively.19 The luteal cells are responsible for production of progesterone in diestrus and maintenance of pregnancy until placental progesterone is produced ~ day 180 of pregnancy.19 One might suspect that progesterone would also be increased in the case of a luteoma due to its structure; however, this is currently unknown as it was not reported. In this case, progesterone was not tested; however, it is believed that it was not abnormally elevated due to the presence of estrous signs such as uterine edema. In these cases, histopathology is required in order to classify the tumor. However, the varying presentation can suggest that clinical signs with no other explanation of cause may be sufficient to warrant ovariectomy, despite no aberrations in serum ovarian hormone concentrations.

Following unilateral ovariectomy in the Fall, the mare continued to cycle appropriately on the right ovary. Routine transrectal palpation and ultrasonography will resume in the spring, and it is uncertain whether the mare will continue or resume cycling following transition and retain fertility. This is the only known published case of luteoma treated with unilateral ovariectomy.3,4 Additional case studies would be required to determine future fertility after unilateral ovariectomy in mares diagnosed with luteoma. In theory, the affected ovary could have been left since mare was cycling; however, it is likely that mare would eventually stop cycling due to the negative feedback from hormones produced by the luteoma. This factor had a role in the decision to ovariectomize, due to recovery time and the desire to use the mare as an embryo recipient in the following breeding season.

Learning points

References

1. McCue PM, Roser JF, Munro CJ, et al: Granulosa cell tumors of the equine ovary. Vet Clin North Am Equine Pract 2006;22:799-817. doi: 10.1016/j.cveq.2006.08.008
2. Agnew DM, MacLachlan NJ: Tumors of Domestic Animals. Hoboken; John Wiley & Sons: 2017. p. 689-701.
3. Renaudin CD, Kelleman AA, Keel K, et al: Equine granulosa cell tumors among other ovarian conditions: diagnostic challenges. Equine Vet J 2020;53:60-70. doi: 10.1111/evj.13279
4. Combs E, Beachler T, Troy JR, et al: Luteoma in two mares treated by ovariectomy. Equine Vet Educ 2021;38:318-322. doi: 10.1111/eve.13582
5. Korenaga TRK, Tewari KS: Gynecologic cancer in pregnancy. Gynecol Oncol 2020;157:799-809. doi: 10.1016/j.ygyno.2020.03.015
6. McEntee K: Ovarian neoplasms. In: Reproductive Pathology of Domestic Mammals. Burlington; Elsevier Science: 1990. p. 69-93.
7. Grunert E: Ovarielle dysfunktionen [Ovarian disfunction]. In: Grunert E, Berchtold M, de Kruif A, et al: editors. Fertilitätsstörungen beim weiblichen Rind [Fertility Disorders in Female Cattle]. 3rd edition, Berlin; Parey: 1999. p. 111-142. German.
8. Yamini B, VanDenBrink PL, Refsal KR: Ovarian steroid cell tumor resembling luteoma associated with hyperadrenocorticism (Cushing’s Disease) in a dog. Vet Pathol 1997;34:57-60. doi: 10.1177/030098589703400112
9. McKinnon AO, Voss JL, Colburn, GT: Ovariectomy. In: McKinnon AO, Voss JL: editors. Equine Reproduction. 1st edition, Media; Williams & Wilkins: 1993. p. 452-453.
10. Hooper RN, Taylor TS, Varner DD, et al: Effects of bilateral ovariectomy via colpotomy in mares: 23 cases (1984-1990). J Am Vet Med Assoc 1993;203:1043-1046.
11. Stratico P, Hattab J, Guerri G, et al: Behavioral disorders in mares with ovarian disorders, outcome after laparoscopic ovariectomy: a case series. Vet Sci 2023;10:1-11. doi: 10.3390/vetsci10080483
12. Prestes NC, Nogueira de Moraes C, Maia L, et al: Ovarian tumor in a mare—thecoma—case report. J Equine Vet Sci 2013;33:196-200. doi: 10.1016/j.jevs.2012.06.007
13. Murase H, Ball B, Tangyuenyong S, et al: Serum anti-Mullerian hormone concentrations in mares with granulosa-cells tumors versus other ovarian abnormalities. J Equine Vet Sci 2018;60:6-10. doi: 10.1016/j.jevs.2017.10.012
14. Sherlock CE, Lott-Ellis K, Bergren A, et al: Granulosa cell tumours in the mare: a review of 52 cases. Equine Vet Educ 2016;28:75-82. doi: 10.1111/eve.12449
15. Almeida J, Ball BA, Conley AJ, et al: Biological and clinical significance of anti-Mullerian hormone determination in blood serum of the mare. Theriogenology 2011;76:1393-403. doi: 10.1016/j.theriogenology.2011.06.008
16. Ball BA, Conley AJ, Almeida J, et al: A retrospective analysis of 2,253 cases submitted for endocrine diagnosis of possible granulosa cell tumors in mares. J Equine Vet Sci 2014;34:307-313. doi: 10.1016/j.jevs.2013.07.005
17. McCue PM: Equine granulosa cell tumors. Proc Am Assoc Equine Pract 1992. p. 587-593.
18. Ball BA, Almeida J, Conley AJ: Determination of serum anti-Mullerian hormone concentrations for the diagnosis of granulosa-cell tumours in mares. Equine Vet J 2013;45:199-203. doi: 10.1111/j.2042-3306.2012.00594.x
19. Niswender D, Nett TM: Luteal phase. In: McKinnon AO, Voss JL: editors. Equine Reproduction. 1st edition, Media; Williams & Wilkins: 1993. p. 172-175.