Case Report

Recurrent preputial sarcoids in a miniature donkey

Josefina Ghersa,a Alannah Friedlund,a Keri Thomas,a Bruce Wobeser,b Claire Carda

aDepartment of Large Animal Clinical Sciences
bDepartment of Veterinary Pathology, Western College of Veterinary Medicine, University of Saskatchewan, Saskatoon, SK, Canada

Abstract

Sarcoids are common dermal neoplasms that have predilection for paragenital tissues in jacks. Sarcoids have variable appearance, do not metastasize but may be locally invasive and certain forms may grow rapidly. Various treatment options are available for preputial sarcoids, including surgical excision for large masses. We describe a case of mixed sarcoid affecting the preputial tissues of a miniature donkey gelding that was excised, regrew, and required a second surgical procedure involving preputial ablation.

Keywords: Donkey, gelding, sarcoid, preputial lesions

 

Citation: Clinical Theriogenology 2025, 17, 12221, http://dx.doi.org/10.58292/CT.v17.12221

Copyright: © 2025 The Author(s). This is an Open Access article distributed under the terms of the Creative Commons Attribution-NonCommercial 4.0 International License (http://creativecommons.org/licenses/by-nc/4.0/), permitting all noncommercial use, distribution, and reproduction in any medium, provided the original work is properly cited.

Published: 29 May 2025

Competing interests and funding: Authors declare no conflict of interest.

CONTACT Josefina Ghersa josefina.ghersa@usask.ca

 

Background

Sarcoids are common type of dermal neoplasm that affect domestic equids. Compared to horses, donkeys have been overrepresented in diagnostic lab submissions of sarcoids.1 Sarcoids do not metastasize and vary in appearance. They may be classified into occult, verrucus, nodular, mixed, fibroblastic, and malevolent types. Compared to jennies, jacks are at increased risk for sarcoid formation; paragenital area is the most common location reported for sarcoids in jacks.2 Younger animals are more commonly affected; furthermore, there may be a genetic predisposition for sarcoids. The underlying etiology of most sarcoids is a cross-species infection with bovine papilloma type 1 or type 2 virus.3 Bovine papilloma viruses have been recovered from many donkey sarcoids, and the type varied by region.1,2 These viruses are very persistent in the environment.3 Other cutaneous tumors such as squamous cell carcinoma and melanoma may mimic some features of sarcoids.

Case presentation

A 12-year, grey miniature donkey gelding, weighing 140 kg, was presented for removal of a possible recurrent sarcoid mass in preputial tissues and penile sheath. Donkey was gelded at 1 year; for over 9 years had been housed in the same facilities with alpacas, sheep, pigs, and horses. In 2017, the gelding had undergone surgery for excision of 2 (4 cm) ulcerated nodular masses on the external penile sheath and 2 (1 cm) masses on the internal penile sheath. Histopathology confirmed mixed sarcoid with incomplete surgical excision.

In 2023, the gelding was examined for dropping some feed. A dental examination and corresponding treatment were performed and subsequently clinical signs of dropping feed resolved. On physical examination, gelding was bright alert and responsive, temperature was 36.9°C, heart rate was 48 beats per minute, and respiratory rate was 24 breaths per minute; cardiopulmonary auscultation was unremarkable. Gelding had a body condition score of 7.5/9 and a cresty neck score of 5/5. Firm, smooth masses were noted in relationship to the external preputial lamina: a large mass (8 x 4 cm) was located on the ventral aspect, multiple small nodules (2 x 2 cm) were present on the dorsal preputial aspect, and ~ 4 cm pedunculated mass was on the left ventral preputial side (Figure 1). The left superficial inguinal lymph node was palpable whereas the right was not palpable. The differential diagnosis from the gross appearance of the masses included recurrent mixed sarcoid, squamous cell carcinoma, and melanoma.

Figure 1.
Figure 1. Regrowth of the sarcoid masses following surgical resection in 2017: A. Gross appearance of sarcoid masses (white arrow heads and yellow arrow) in preputial area; B. 4 cm pedunculated sarcoid mass (yellow arrow); Cr: cranial and Ca: caudal side of gelding

A month later, the gelding was evaluated and surgical removal of the preputial masses was recommended. Masses observed earlier had coalesced into 1 large ulcerated caudo-ventral mass (12 x 9 cm) with firm and semi-firm areas. There was also an associated pedunculated ulcerated mass (2.7 x 3.3 cm) on the left side of the external preputial lamina. The gross appearance of the tissue (Figures 2A and 2B) was compatible with a mixed nodular fibroblastic type sarcoid. The urethra, glans penis, and penile shaft were not compromised by the masses.

Figure 2.
Figure 2. Mixed preputial sarcoid in 2023: A. Preoperative preputial region with a white piece of gauze wrapped around glans penis; B. Urinary catheter in penile urethra with preputial area prepared for surgery; C. Large circular area surgically resected cranial and caudal to preputial orifice; D. Postoperative surgical site after resection of sarcoid masses; E. Resected preputial sarcoid tissue; F. Postoperative lateral view of the surgical site with penis out of preputial cavity. In all figures, black arrows point glans penis (in B, C, D with urinary catheter in place); yellow arrows refer to pedunculated mass; white arrowheads point to large ulcerated preputial mass; Cr: cranial and Ca: caudal side of gelding

Surgical procedure

Three months later, gelding was prepared for surgery; feed was withheld for 8 hours, a jugular vein was catheterized, and 3 million IU of intravenous sodium penicillin (Fresenius Kabi Canada Ltd., Toronto, ON, Canada) diluted in 0.9% saline solution along with 4.4 mg/kg of phenylbutazone (Rafter 8 Products Inc., Calgary, AB, Canada) were given. Gelding was given 1.25 mg/kg intravenous xylazine (Rompun®, Elanco Canada Ltd., Mississauga, ON, Canada) as a premedication and general anesthesia was induced with ketamine 2.2 mg/kg (Narketan®, Vetoquinol, Lavaltrie, QC, Canada) and diazepam 0.1 mg/kg (Sandoz Canada Inc, Boucherville, QC, Canada), and was intubated and maintained with isoflurane (Aerrane, Baxter Corporation, Mississauga, ON, Canada) anesthetic gas. Gelding was placed in dorsal recumbency on the surgical table. Penis was extended by traction on gauze looped around the collum glandis; ventral abdomen including the prepuce was clipped and aseptically prepared. Penis was catheterized and gelding was moved into the operating room and draped for sheath ablation. An elliptical incision was made using a size 22 blade around the sheath from the preputial opening to the caudal extent of the mass. Dissection of the mass down to normal tissue was performed using mayo scissors (Figure 2C). Electrocautery was used as needed to control hemorrhage from smaller vessels. Large vessels were ligated using circumferential ligatures of 2-0 poliglecaprone 25 (Monocryl™, Ethicon) and then transected. Penis was palpated in its position underneath the mass during surgery in order to guide dissection. Preputial tissue and a margin of adjacent skin were excised with the mass. Cranial penile skin was closed using 1 and 0 polydioxanone suture (PDS™, Ethicon) using a combination of tension relieving and simple interrupted sutures. Remaining preputial tissue was sutured circumferentially to the scrotal tissue using 1 polydioxanone suture (PDS™, Ethicon) in a simple interrupted pattern. Dorsal penile skin was closed intradermally with 3-0 poliglecaprone 25 (Monocryl™, Ethicon). Five tension releasing incisions were made on each side of the suture line and 2 incisions were made on either side of the scrotum for drainage (Figure 2D). Gelding was moved to the recovery room and placed on a mat; recovered uneventfully from anesthesia.

Postoperative management

Postoperatively swelling was noted at the surgery site (Figure 2E). Every 6 hours, a hot pack was placed for 5 minutes in the swollen area. Penicillin at 22,000 IU/kg (Fresenius Kabi, Canada) was continued every 6 hours for 3 days. Antimicrobial treatment was continued with oral trimethoprim - sulfamethoxazole 30 mg/kg (Sulfatrim DS, AA Pharma Inc., Toronto, ON, Canada) twice daily for 5 days. For pain management, phenylbutazone at 4.4 mg/kg (Dominion Veterinary Laboratories Ltd., Winnipeg, MB, Canada) was continued once daily for 4 more days. Gelding was also hand-walked every 6 hours and fed hay 4 times daily at a total of 2% of body weight.

Gross and histopathologic evaluation

Combined weight of the excised masses was 800 g (Figure 2D). Masses were fixed in 10% buffered formalin. Specimens were obtained from various sections of the masses. Fixed tissues were embedded in paraffin, sectioned at 5 µm and stained with hematoxylin and eosin using an automated slide stainer at Prairie Diagnostic Services, Saskatoon, SK, Canada. Tissues had well-demarcated unencapsulated, moderately cellular focally infiltrative neoplastic mass. Epithelium was multifocally ulcerated and associated with long, thin rete peg-like skin extensions. Cells within the mass were arranged in short streams and arcs within a fibrovascular stroma. Mitotic figures were very rare (< 1/10 in 400 x magnification). There were occasional aggregates of inflammatory cells scattered through the mass. Surgical margins and complete excision of the mass could not be accurately assessed due to the size (Figure 3). The diagnosis was a mixed sarcoid.

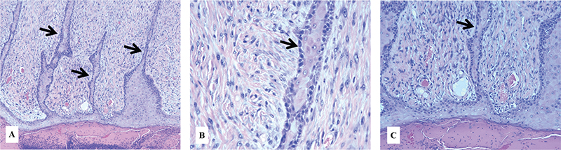
Figure 3.
Figure 3. Light microscopic images of preputial sarcoid: A. Superficial epithelial crusting and elongated, thin rete pegs (black arrows) with adjacent neoplastic cells (200 x magnification); B. and C. Higher magnification (400 x) of a rete peg showing a picket fence–like arrangement of neoplastic cells along the dermal-epidermal border (black arrow)

Outcome

End of the month gelding had a follow-up examination; surgical wound cranial to the prepuce had partially dehisced and had secondary bacterial infection. Surgical wound was washed with clorhexidine gluconate 4% (Stanhexidine®, Omega Laboratories Ltd., Montréal, QC, Canada) and water and dried. Silver sulphadiazine 1% cream (Flamazine®, Smith & Nephew, Mississauga, ON, Canada) was applied over the infected site once daily for 4 days, after washing and drying of the site. Systemic antimicrobial treatment was prescribed with oral trimethoprim - sulfamethoxazole 30 mg/kg (Sulfatrim DS, AA Pharma Inc.) twice daily for 7 days. Gelding was also stabled until complete healing of the infected wound. A week later, second examination was performed: surgical site has made favorable progress with no signs of continuing infection and closed suture wound. Three months later, owners reported complete healing of the suture wound and no resurgence of new masses. No urinary complications have been noted to that day. A follow-up examination 6 months later indicated that masses were recurring in the prepuce.

Discussion

Equine sarcoids represent 72% of all neoplasms in donkeys, and 82% of cutaneous neoplasms.4 The inguinal region is the second most common place of incidence of sarcoids in donkeys, and the prepuce is the most common location in jacks. Unlike horses, other cutaneous tumors such as squamous cell carcinoma, melanomas and lymphosarcomas are rare. Equine sarcoids are usually diagnosed by clinical appearance. A diagnostic protocol as a tool for the clinical workup and diagnosis of equine sarcoid has been developed.5 The gold standard is biopsy and histopathologic evaluation. However, biopsy-induced trauma or irritation might induce proliferation and aggravate the mass type and size.6 Consequently, other noninvasive diagnostic tools are studied. Fine needle aspiration (FNA), and subsequent polymerase chain reaction to detect bovine papilloma virus (BPV), has promising results for sampling ulcerated and nonulcerated masses.7 FNA creates less damage to the tissue than a biopsy sample and has less false positive results from latent BPV in superficial keratinocytes. Other complementary diagnostic tests such as microRNA biomarkers have been studied; however, they are not yet as sensitive.8

To the best of the authors’ knowledge, 5 preputial sarcoid cases have been reported in donkeys. A verrucus ulcerated mass on the lateral preputial area was associated with permanent paraphimosis.9 In Egypt, 2 preputial sarcoids were reported in donkeys.10 Treatment for all cases involved surgical excision of the masses, with no adjunctive therapy. Conventional surgical excision alone has been successful in 30-50% of the cases, and unsuccessful cases had recurrence within 6 months.6,10 One jack in Egypt had recurrence of sarcoid masses 3 months after first excision.10 On the contrary, successful surgical removal of a sarcoid from a teat has also been reported in a jenny, and 2 years after surgery the jenny has not had any relapses.11 In the present case, the exact time for recurrence of the masses from was unknown, as the owner only noted the masses when they had reached a considerable size. Nevertheless, the first excision did not have clear surgical margins and thus recurrence was expected. The second surgery was not successful either in obtaining clear surgical margins and resulted in recurrence of sarcoid masses after 6 months.

Various treatments for equine sarcoid have been described, with variable results. Sarcoid treatments that had regression rates > 90% were brachytherapy, radiation, cryotherapy, intralesional cisplatin, or electrochemotherapy.12 However, there is insufficient evidence to determine the efficacy of one above the other. Surgical debulking is often needed prior to forementioned therapies to reduce tumor volume and increase success rate. Other therapies that need further investigation are immunotherapy with intratumoral injections of Bacillus Calmette and Guerin, topical application of imiquimod cream, and therapeutic vaccines.6,12

Treatment selection primarily depends on resources available, economic factors, owners’ capability and predisposition, masses location in the body, and size and type of sarcoid. In the present case, mass size was the predominant factor taken into consideration to choose surgical removal. Adjunctive chemotherapy with biodegradable cisplatin beads was a therapeutic option; however, this was not performed due to cost. Moreover, the extent to which the tumor invaded adjacent tissues and compromised parts of the penis was not known prior to surgical procedure. Miniature donkey’s wellness, including the possibility to urinate without complications, was a major consideration for surgery. Masses were removed attempting to have as much margin as possible resulting in loss of considerable amount of abdominal skin, external sheath and part of internal sheath. Consequently, closure of the surgical wound was challenging. Edema and dehiscence were expected due to surgical wound location and surrounding skin tightness.

In Western Canada, donkeys are at higher risk than horses for developing sarcoids.1 BPV has also been widely associated with equine sarcoids. BPV type 2 was the predominant virus in sarcoids.1 Papillomavirus infections are mostly species-specific, and the natural host for BPV is cattle. However, BPV may also cause cross-species infection, most commonly in equids resulting in sarcoid lesions. In the present case, for the past 9 years the miniature donkey has not been in contact with any cattle but with other ruminants. BPV may persist in the environment. There was no history to the previous housing situation. It is noteworthy that BPV has been reported to produce wart-like lesions in sheep and that viral transmission can occur through fomites that contact open skin lesions.13,14

In conclusion, preputial ablation was used for treatment of recurrent sarcoid mass. Alternative therapies (e.g. injection of biodegradable cisplatin beads) should be pursued to treat smaller recurring masses.

Learning points

Authors’ contribution

All authors contributed to the writing of the manuscript; AL and KT performed surgery; BW performed histopathologic evaluation.

References

1. Wobeser BK, Davies JL, Hill JE, et al: Epidemiology of equine sarcoids in horses in western Canada. Can Vet J 2010;51:1103-1108. PMCID: PMC2942047
2. Reid S, Gettinby G, Fowler J, et al: Epidemiological observations on sarcoids in a population of donkeys (Equus asinus). Vet Rec 1994;134:207-211. doi: 10.1136/vr.134.9.207
3. Knottenbelt D, Edwards S, Daniel E: Diagnosis and treatment of the equine sarcoid. Practice 1995;17:123-129,199. doi: 10.1136/inpract.17.3.123
4. Davis CR, Valentine BA, Gordon E, et al: Neoplasia in 125 donkeys (Equus asinus): literature review and a survey of five veterinary schools in the United States and Canada. J Vet Diagn Invest 2016;28:662-670. doi: 10.1177/1040638716665659
5. Haspeslagh M, Gerber V, Knottenbelt DC, et al: The clinical diagnosis of equine sarcoids-Part 2: assessment of case features typical of equine sarcoids and validation of a diagnostic protocol to guide equine clinicians in the diagnosis of equine sarcoids. Vet J 2018;240:14-18. doi: 10.1016/j.tvjl.2018.08.010
6. Taylor S, Haldorson G: A review of equine sarcoid. Eq Vet Ed 2013;25:210-216. doi: 10.1111/J.2042-3292.2012.00411.X
7. Gysens L, Martens A, Haspeslagh M: Cross-sectional comparison of superficial swab and fine-needle aspiration: improving the diagnostic workup of horses with sarcoids. Vet J 2022;289:105916. doi: 10.1016/j.tvjl.2022.105916
8. Unger L, Abril C, Gerber V, et al: Diagnostic potential of three serum microRNAs as biomarkers for equine sarcoid disease in horses and donkeys. J Vet Intern Med 2021;35:610-619. doi: 10.1111/jvim.16027
9. Oliveira M, Moreira AR, Melo-Franco, et al: Surgical resolution of preputial sarcoid in a donkey. Equine Vet J 2013;33:809-812. doi: 10.1016/j.jevs.2012.12.009
10. Rizk A, Mosbah E, Karrouf G, et al: Surgical management of penile and preputial neoplasms in equine with special reference to partial phallectomy. J Vet Med 2013;891413. doi: 10.1155/2013/891413
11. Rizk A: Unilateral amputation of the teat for treatment of equine sarcoid in a she-donkey. J Eq Vet Sci 2016;46:15-17. doi: 10.1016/j.jevs.2016.07.010
12. Offer KS, Dixon CE, Sutton DGM: Treatment of equine sarcoids: a systematic review. Equine Vet J 2024;56:12-25. doi: 10.1111/evj.13935
13. Mazzuchelli-de-Souza J, de Carvalho RF, Módolo DG, et al: First detection of bovine papillomavirus type 2 in cutaneous wart lesions from ovines. Transbound Emerg Dis 2018;65:9. doi: 10.1111/tbed.12892
14. Savini F, Gallina L, Prosperi A, et al: Bovine papillomavirus 1 gets out of the flock: detection in an ovine wart in Sicily. Pathogens 2020;9:429. doi: 10.3390/pathogens9060429