Case Report

Sperm granuloma in a buck

Seiya Kanzawa, Jonathan Samuelson, Edgar Garrett

Department of Veterinary Clinical Medicine, University of Illinois, Urbana, IL, USA

Abstract

A 7-month, Saanen buck was presented for evaluation after failing to produce sperm during 2 attempts. Physical examination revealed a firm and smooth mass, dorsal to each testis, with no other abnormalities. Semen sample obtained with an electroejaculator had very small number of nonmotile sperm. Ultrasonographic examination revealed a predominantly hypoechoic mass on the testis’ dorsal aspect and a normal echogenic pattern of the testicular parenchyma. Future breeding potential of the buck was deemed to be poor; therefore, the buck was castrated. Epididymal heads were occupied by sperm granuloma and the remainder of the testes was normal.

Keywords: Oligospermia, granuloma, epididymis, goat

 

Citation: Clinical Theriogenology 2025, 17, 12181, http://dx.doi.org/10.58292/CT.v17.12181

Copyright: © 2025 The Author(s). This is an Open Access article distributed under the terms of the Creative Commons Attribution-NonCommercial 4.0 International License (http://creativecommons.org/licenses/by-nc/4.0/), permitting all noncommercial use, distribution, and reproduction in any medium, provided the original work is properly cited.

Published: 07 October 2025

Competing interests and funding: None to report.

CONTACT: Edgar Garrett efg@illinois.edu

 

Background

Physical examination, including examination of external reproductive organs, is integral in breeding soundness examination. Gross testicular abnormalities detected during a physical examination can enable clinicians to decide on proper diagnostic procedures. The work up for the present case was guided by physical examination findings (firm and smooth swelling immediately dorsal to both testes). A range of differential diagnoses were considered for a young buck that was not producing sperm; however, we were able to quickly move towards a diagnosis of an extragonadal obstruction. Buck was castrated; final diagnosis was sperm granuloma (based on gross testicular lesions and histopathology).

Case presentation

A 7-month, Saanen buck was presented that was diagnosed azoospermic 1 month prior to presentation; buck was born on the farm and had no history of health problems. On general physical examination, buck had normal attitude, gait, and rectal temperature; weighed 69 kg and was in moderate body condition (BCS = 3/5). Scrotal circumference (26.5 cm) was normal. Palpation of the scrotum revealed a firm, ~ 3 x 1 cm, smooth swelling immediately dorsal to both testes. Digital rectal examination was unremarkable. Semen was collected with an electroejaculator (Lane Pulsator IV, Lane Manufacturing, Denver, USA); ~ 2 ml of clear fluid was obtained. Examination of a wet mount at 400 x with phase contrast (Olympus BX50) revealed a very small number of nonmotile sperm (< 50 total cells per 20 µl). Given the paucity of sperm in the sample, further evaluation of the morphology of the sperm present was not pursued.

Testes ultrasonography (Sonoscape S8 Exp, 3.2 MHz probe) revealed a parenchyma that was normal, homogeneous, moderate echogenic in appearance; epididymal heads were dilated and predominantly anechoic (Figure 1). Epididymal tails were small and predominantly anechoic. Brucellosis card agglutination test was negative.

Figure 1.
Figure 1. Ultrasonogram of left epididymal head; note anechoic dilation

Differential diagnoses were epididymitis, sperm granuloma, ampullary blockage, orchitis, testicular congenital abnormality, testicular degeneration, and sexual immaturity.

Treatment and outcome

Based on palpable and ultrasonographic abnormalities and the paucity of sperm in the ejaculate, a presumptive diagnosis of an extragonadal duct obstruction was made. Buck was surgically castrated because it was deemed unsuitable for breeding. Testes were of similar size and there was a prominent, raised, white, moderately firm ~ 5 x 2 cm swelling involving epididymal heads (Figure 2). On cut section, epididymal head was expanded by yellow, caseous material contained by tough fibrous tissue (Figure 3). Testes and epididymides were submitted for histologic examination; representative histology images are presented (Figure 4). Yellow caseous material observed grossly was innumerable sperm mixed with and bordered by epithelioid macrophages and multinucleate giant cells. The mixed population (sperm granuloma) was encapsulated by a segmentally mineralized band of fibrosis that separated the granuloma from the adjacent atrophic epididymal tissue. Both testes had mild to moderate germinal atrophy but were otherwise unremarkable. Epididymal heads’ content was negative for Brucella spp. and Mycoplasma spp. but yielded a light growth of Staphylococcus auricularis.

Figure 2.
Figure 2. Gross appearance of granulomatous left epididymal head; note marked and asymmetrical expansion

 

Figure 3.
Figure 3. Cut section left epididymal head; note abundant, yellow, caseous material

 

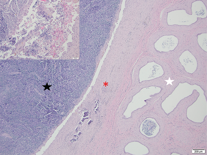
Figure 4.
Figure 4. Light microscopic image of left epididymal head; sperm granuloma (black star) and remaining epididymal tissue (white star), bordered by a thick band of fibrosis (red asterisk) that contains some mineralization (hematoxylin and eosin stain; 40 x). Inset: interface is segmentally lined by epithelioid macrophages and giant cells; evidence of active phagocytosis of sperm (hematoxylin and eosin stain; 200 x)

Discussion

Sperm granulomas occur at a low frequency in a wide variety of breeds and ages of sheep and goats.1,2 In observational studies, sperm granuloma was diagnosed in 0.3% of 1,0001 and 1.5% of 4042 bucks; this condition can be unilateral or bilateral. It can be a heritable trait and is associated with the polled condition in goats but also occurs in horned animals.3 Efferent ducts join to form epididymal head and obstruction of the ducts would lead to accumulation of sperm in the area and eventual rupture followed by the formation of the sperm granuloma due to the inflammatory reaction in response to sperm presence in the epididymal stroma.3

An extragonadal duct obstruction such as sperm granuloma should be considered a differential diagnosis when oligospermia or azoospermia is encountered during a breeding soundness examination. Palpation of the scrotum and testes is a critical part of the routine breeding soundness examination. Abnormal size, variation in size between testes, change in contour of the testis, or mobility of the testis within the scrotum are reasons for more detailed examination. Ultrasonography of the scrotum and testes is a very useful and accessible diagnostic modality when abnormalities in the scrotum or testes have been identified on physical examination. The parenchyma, epididymis, and vaginal space should be evaluated. In this case, the ultrasonographic appearance of testicular parenchyma was normal and epididymal heads had the characteristic appearance of a sperm granuloma.4 There can be changes in testicular parenchyma or the mediastinum of the testis secondary to the occlusion of the outflow obstruction caused by the sperm granuloma.4 The lack of changes in the parenchyma and mediastinum was likely due to the young age and therefore relatively short duration of the condition.

Bilateral sperm granuloma affecting epididymal heads at a young age suggested a development abnormality, but this could not be proven. Trauma could not be ruled out; however, lack of evidence of trauma, lack of history of trauma and the bilateral, symmetrical nature of the changes made trauma unlikely. Epididymal head obstruction is associated with polled phenotype in goats3 but this was ruled out as a contributing factor because the buck was horned. It is possible that an infectious process contributed to the development of the sperm granuloma. Bacterial epididymitis has been reported in bucks but is more common in rams.2,3 Although only Staphylococcus auricularis grew in the culture, it was possible that other bacteria failed to grow. Actinobacillus seminis has been reported as a cause of unilateral epididymitis in a buck in a herd of comingled sheep and goats.5 Brucella spp. (B. abortus, B. ovis and B. melitensis) and Mycoplasma were ruled out with PCR. Bilateral, symmetrical nature of the granulomas, negative tests for Brucella spp., and Mycoplasma spp., low level of growth of bacteria from the granuloma and lack of evidence of bacterial involvement in the granuloma on histology made an infectious cause unlikely. There is no treatment for sperm granuloma so the only option for a production animal is culling. In this case, the buck was castrated prior to culling to increase the market value of the animal.

Learning points

References

1. Tarigan S, Ladds PW, Foster RA: Genital pathology of feral male goats. Aust Vet J 1990;67:286–290. doi: 10.1111/j.1751-0813.1990.tb07798.x
2. Regassa F, Terefe F, Bekana M: Abnormalities of the testes and epididymis in bucks and rams slaughtered at Debre Zeit abattoir, Ethiopia. Trop Anim Health Prod 2003;35:541–549. doi: 10.1023/A:1027348900286
3. Mickelsen WD, Memon MA: Infertility and diseases of the reproductive organs of bucks. In: Youngquist RS, Threlfall WR: editors. Current Therapy in Large Animal Theriogenology. 2nd edition, St. Louis; Saunders: 2007. p. 519–523. doi: 10.1016/B978-0-7216-9323-1.X5001-6
4. Karaca F, Aksoy M, Kaya A, et al: Spermatic granuloma in the ram: diagnosis by ultrasonography and semen characteristics. Vet Radiol Ultrasound 1999;40:402–406. doi: 10.1111/j.1740-8261.1999.tb02132.x
5. Santos F, Azevedo E, Azevedo S, et al: Isolation of Actinobacillus seminis from a goat with clinical epididymo-orchitis in Brazil. Braz J Microbiol 2014;45:205–209. doi: 10.1590/S1517-83822014005000024