Case Report

X chromosomal monosomy with bilateral ovotestes in a Labrador Retriever dog

Hayley Hunt,a Michael Yaeger,b Amanda Fales-Williams,b Sharon Wagner,a Eleas Wu,c Theresa Beachlerc

aVeterinary Clinical Sciences, College of Veterinary Medicine, Iowa State University, Ames, IA, USA
bVeterinary Pathology, College of Veterinary Medicine, Iowa State University, Ames, IA, USA
cVeterinary Diagnostic and Production Animal Medicine, College of Veterinary Medicine, Iowa State University, Ames, IA, USA

Abstract

A 2 year intact, phenotypically female Labrador Retriever dog was presented for evaluation of persistent white vaginal discharge after a perceived normal estrous cycle. On repeat evaluations, the dog was determined to be in persistent cytologic estrus ~ for 2 months. Abdominal ultrasonography revealed suspected bilateral ovarian cysts and cystic endometrial hyperplasia. After ultrasound-guided cystic aspiration, the dog was treated with a 3 day course of gonadotropin-releasing hormone (GnRH). Four months after initial treatment, the dog developed behavioral and physical signs of estrus that lasted ~ for 4 weeks; systemic progesterone concentrations never increased > 1.0 ng/ml. Repeat abdominal ultrasonography revealed another cyst-like structure on the right gonad. Similar treatment (cyst aspiration and GnRH treatment) was given. Paired cystic fluid and blood serum hormone concentrations were analyzed at each aspiration; testosterone concentrations were higher in serum and cystic fluid. Ovariohysterectomy and karyotyping diagnoses were bilateral ovotestis and X chromosomal monosomy (77, XO).

Keywords: Dogs, sexual development, ovotestis, X chromosomal monosomy

 

Citation: Clinical Theriogenology 2025, 17, 11198, http://dx.doi.org/10.58292/CT.v17.11198

Copyright: © 2025 The Author(s). This is an Open Access article distributed under the terms of the Creative Commons Attribution-NonCommercial 4.0 International License (http://creativecommons.org/licenses/by-nc/4.0/), permitting all noncommercial use, distribution, and reproduction in any medium, provided the original work is properly cited.

Published: 18 February 2025

Competing interests and funding: None to declare.

CONTACT Theresa Beachler beachler@iastate.edu

 

Background

Disorders of sexual development are uncommon findings that contribute to infertility or altered reproductive characteristics and behaviors. Sex chromosome aneuploidies are well-known causes of chromosomal sex abnormalities in domestic animals and have been reported in dogs.17 Dogs have 78 total chromosomes compromised of 76 autosomes and 2 sex chromosomes (XX versus XY). X chromosomal monosomy (77, XO) or a single X chromosome has been diagnosed in multiple breeds, including Doberman Pinschers, Miniature American Eskimos, and Miniature Poodles, and mosaicism of the condition in a limited number of others.17 X chromosomal monosomy, also referred as Turner’s Syndrome in people; common clinical findings were small stature, webbing on the skin of the neck, congenital heart disease, metabolic and endocrine disturbances, and infertility due to hypergonadotropic hypogonadism.8 Affected dogs with X chromosomal monosomy were infertile with frequent hypoplastic afollicular gonads, small stature, and excessive skin along the ventrum.1,2 We describe a case of X chromosomal monosomy in an externally phenotypic female dog with bilateral ovotestes.

Case presentation

A 2 year, intact maiden female Labrador Retriever dog was presented for evaluation of persistent scant white vaginal discharge of ~ 2 months duration, 3 months after an apparently normal estrous cycle (Figure 1). This cycle was the second estrous cycle with external signs of vulvar swelling and serosanguinous vulvar discharge lasting ~ for 4 weeks after a cycle that had similar signs for 3 weeks. Dog was initially evaluated by the primary care veterinarian and started on a week’s course of twice-daily oral amoxicillin trihydrate/clavulanate potassium (13.75 mg/kg) and once daily oral enrofloxacin (10 mg/kg) for suspected vaginitis. Clinical signs of intermittent vaginal discharge appeared after cessation of treatment.

Figure 1.
Figure 1. Physical appearance (A) and genital mucoid discharge (B)

Dog weighed 23 kg with a body condition score of 4/9. Physical examination revealed minimal to no vulvar edema with no vulvar discharge. Mammary glands palpated within normal limits with 5 nipples on the left mammary chain and 4 nipples on the right mammary chain. All other physical examination findings were unremarkable. Digital vaginal examination was normal (no abnormalities in the caudal vaginal vault nor evidence of foreign material) and vaginal lavage appeared normal. Serial vaginal cytologic examinations over the next 2 months identified cytological estrus (vaginal epithelial cells exhibiting > 80-90% cornification of superficial and anuclear epithelial cells) without evidence of inflammation (Figure 2A).9 Serum progesterone concentrations were 0.336 ng/ml. Abdominal ultrasonography revealed bilateral cystic structures within gonads; right gonad had a 2.1 x 1.6 cm ovoid anechoic cyst and left gonad had an 8 mm cystic structure. Uterus was identified from the cervix to the uterine horns and demonstrated diffuse endometrial hyperplasia with multifocal cystic structures throughout the endometrial wall. Proximal right uterine horn additionally contained a focal amount of anechoic intraluminal fluid (Figure 2B).

Figure 2.
Figure 2. Vaginal cytology (A) and transabdominal ultrasonography image (B) at initial cystic aspiration; note cornified vaginal epithelial cells composed of superficial and large intermediate cells (20 x magnification; bar = 200 µm) and large cystic structure in right gonad and intrauterine fluid in right uterine horn.

Differential diagnoses

Initial differential diagnoses primarily for the clinical finding of persistent cytologic estrus included cystic ovarian disease, exposure to exogenous hormones, or ovarian neoplasia. As per owner there was no exogenous hormonal exposure (e.g. topical hormone replacement therapy). Diet consisted of a commercial dry adult dog food with no known source of elevated phytoestrogens. Abdominal ultrasonography suggested cystic ovarian disease with concurrent endometrial hyperplasia.

Treatment

Ultrasound-guided aspiration utilized an extension set attached to a 3 ml syringe and a needle (22 G X 1.5”); 1.5 ml of translucent, gold color fluid was collected from the larger right cystic structure. Immediately after aspiration, cystic structure collapsed. Dog was treated with intramuscular gonadorelin (Cystorelin®, Boehringer Ingelheim, Ridgefield, CT) at 75 µg/kg once a day for 3 days. Paired hormonal analyses of aspirated cysts (University of California, Davis Endocrinology Laboratory) had marked increases in estradiol, progesterone, and inhibin B in cystic fluid compared to serum (Table 1). Serum progesterone remained at basal concentrations (0.75 ng/ml), and serum antimüllerian hormone (AMH) was 0.18 ng/ml. Dog was closely monitored at home with no reoccurrence in vaginal discharge and returned to vaginal cell populations consistent with cytologic anestrus within a month of initial therapy. Abdominal ultrasonography (2 months after initial treatment) revealed gonads with no apparent follicular or cystic activity and marked improvement in endometrial hyperplasia and size of gross intramural cysts.

Table 1. Hormonal analysis of paired serum and cystic fluid at initial cystic gonadal aspiration
Hormone Serum Cystic fluid
Progesterone (ng/ml) 0.75 15.1
Estradiol (pg/ml) 21.8 3,689.7
AMH (ng/ml) 0.18 2.8
Inhibin B (pg/ml) 6 155,700

Approximately 4 months after initial treatment, dog entered behavioral estrus (vulvar swelling, serosanguinous vulvar discharge, and attraction to and from an intact male dog) within the household. It was elected to pursue breeding management, and the dog was presented for serial vaginal cytology and progesterone assays. During next 20 days, dog was assessed every 3-5 days. She remained within cytological proestrus; vaginal epithelial cell populations never increased > 50-70% cornification and progesterone concentrations remained < 1.0 ng/ml. After 3 weeks, the owner elected to discontinue breeding management and continued to monitor her closely. Although bodily signs of estrus diminished during the following days with reduced vulvar edema and cessation of serosanguinous discharge, dog remained attractive to the intact male dog within the household. Repeat examination 2 months later (6 months after initial treatment) revealed > 90% cornification on vaginal cytology, consistent with cytological estrus. Focused reproductive ultrasonography findings were similar to earlier one; a large right gonadal cyst (1.4 x 1.0 cm) with no significant cystic changes in the left gonad. Right gonadal cyst was again aspirated (ultrasound-guided) and the dog was again treated with intramuscular gonadorelin (Cystorelin®). Aspirated cystic fluid and serum were submitted for paired hormonal analysis. Due to the unusual nature of the case, testosterone was also analyzed in addition to progesterone, estradiol, AMH, and inhibin B; there were marked increases in cystic fluid progesterone and estradiol compared to serum with relatively high testosterone concentrations in cystic fluid and serum (Table 2).

Table 2. Hormonal analysis of paired serum and cystic fluid at second (6 months after initial treatment) aspiration
Hormone Serum Cystic fluid
Progesterone (ng/ml) 1.6 > 30
Estradiol (pg/ml) 14.2 9,750.7
AMH (ng/ml) 0.84 > 12
Inhibin B (pg/ml) < 6 73,640
Testosterone (pg/ml) 179.7 3,188.1

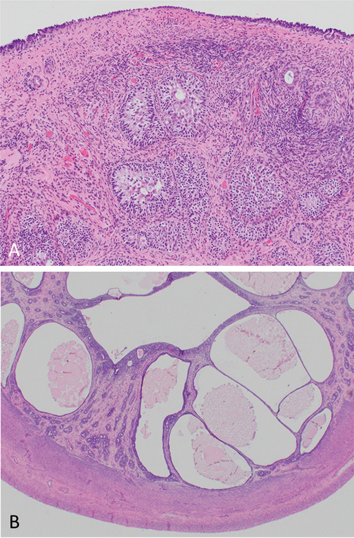
Ovariohysterectomy was performed and hormone analysis was not repeated. Gonads and surrounding tissues did not have overt cystic lesions (Figure 3). Histopathology of gonads was consistent with bilateral ovotestes with central area with a solid sheet of interstitial cells that was multifocally interrupted by scattered seminiferous tubules lined by Sertoli cells, and occasional primary spermatogonia noted in the left gonad (Figure 4A). Surrounding the seminiferous tubules, small spindle cells were present, consistent with thecal cells, and the gonads were covered by simple cuboidal epithelium. No follicles or ova were observed in either gonad. Left ovotestis was surrounded by a tubular structure, most consistent with an oviduct. Right ovotestis was surrounded by several tubules lined by columnar epithelium supported by a moderately cellular fibrovascular stroma, most consistent with epididymis. Uterus contained diffuse cystic endometrial hyperplasia with moderate to markedly dilated endometrial glands (Figure 4B). Karyotyping (Texas A&M Molecular Cytogenetics Laboratory) had a total of 77 chromosomes characterized by a single X chromosome consistent with X chromosomal monosomy (77, XO). Concurrent PCR testing for the sex determining region Y (SRY) gene was negative (Figure 5).

Figure 3.
Figure 3. Gross appearance of the gonads at ovariohysterectomy; right gonad (A) and left gonad (B). Note thumb and index finger grasping the tip of each respective uterine horn.

Figure 4.
Figure 4. Light microscopic images of reproductive tract stained with hematoxylin and eosin; scattered seminiferous tubules within stroma of left ovotestis (A [10 x magnification]) and diffuse endometrial hyperplasia and glandular dilation (B [20 x magnification]).

Figure 5.
Figure 5. Blood karyotype analysis of 30 cells; representative cytogenetic analysis from 1 depicted cell (A) and molecular analysis of sex chromosomes (B).

Discussion

Normal sexual development in mammals involves 3 stages; chromosomal or genetic sex as determined at fertilization (XX versus XY), gonadal sex (ovaries versus testes), and the expression of the internal and external phenotypic sex through the internal reproductive tract and external genitalia.3 Errors or alterations in any of the 3 components of sexual development cause disorders of sexual development in the dog and result in a wide range of anatomical abnormalities, physiologic behaviors, and infertility. Initially, the dog in this case report was believed to have cystic ovarian disease due to the appearance of a large gonadal cystic structure on abdominal ultrasonography and signs of concurrent estrogenization of tubular genitalia, with the development of endometrial hyperplasia and prolonged cytologic estrus on vaginal cytology. Ultimately, histopathology and chromosomal analysis were crucial for diagnosis of a disorder of sexual development, with an abnormality in both the chromosomal and gonadal sex.

Karyotype analysis suggested a pure X chromosomal monosomy within blood-derived cells (n = 30 cells). Although a pure X chromosomal monosomy and aneuploidy explained the lack of follicular development, many of the internal and external physical characteristic, ovotestes (histopathology) is uncommon, with negative expression of the SRY gene. Unilateral or bilateral ovotestes were reported in XX/XY mosaicism or chimerism cases.1012 In this case, karyotyping was performed on blood-derived leukocytes, not fibroblasts. The ultimate cause of ovotestis formation is unknown in this case and there was no evidence of mosaicism, chimerism, or even a mixoploidy in cell lines. SRY-negative XX sex reversal (78, XX) with testes or ovotestes, has also been reported in multiple breeds of dogs, such as the American Cocker Spaniel, Kerry Blue Terrier, and English Cocker Spaniel.3 Similar findings have not yet been described to authors knowledge in a case of pure X chromosomal monosomy.

The initial presenting complaint was persistent scant mucoid vaginal discharge. A 6 month, Doberman Pinscher pup that had mucopurulent vulvar discharge was diagnosed as X chromosomal monosomy at prophylactic spay.5 Unlike this case (had evidence of virilization with an enlarged clitoris) our case did not have enlarged clitoris despite bilateral ovotestes. Abnormal estrous cycles have also been noted in other cases of X chromosomal monosomy, similar to this case with signs of hyperestrogenism.1,5,6 In our case, diffuse endometrial hyperplasia was also present and likely related to altered hormonal milieu. However, other findings of systemic hyperestrogenism were not noted on physical examination nor the comprehensive bloodwork prior to ovariohysterectomy.

The ultimate origin of observed gonadal cystic structures was not fully determined on histopathological analysis at ovariohysterectomy since there were no gross cystic dilations of the ovary or surrounding structures. We hypothesized that dilation of the tubular structures within or surrounding the right ovotestis were most consistent with mesonephric ducts or epididymis, especially due to concurrent high testosterone concentrations. Dog’s external characteristics and behavior, including intermittent vulvar edema, serosanguinous vulvar discharge, and attraction to and from intact males, may also be attributable to both the localized and systemic hormonal milieu.

Serum AMH concentrations were correlated to follicular reserve and litter size in 78, XX intact female dogs, and were used for diagnosing testicular tissue in 78, XY intact males.13,14 Increases in AMH have also recently been examined to identify testicular tissue in cases of canine disorders of sexual development.15 Serum AMH concentrations obtained at the second cystic aspiration were consistent with the laboratories current reference intervals for both intact females and intact males, whereas serum AMH remained within the inconclusive interval for both intact females and males at the first cystic aspiration. The AMH concentrations detected in this case most likely due to the duality of the internal gonads and Sertoli cell AMH production, as no follicles were observed in either gonad. We presented a case of X chromosomal monosomy with bilateral ovotestis in a phenotypic female dog using karyotype analysis and histopathology of gonadal tissue.

Acknowledgement

Authors thank the UC Davis Endocrinology Laboratory and Dr. Allen Conley for interpreting hormone results.

Learning points

References

1. Szczerbal I, Malek E, Rigillo A, et al: Non-mosaic X monosomy (77,X) in a female dog with signs of virilization. J Appl Genet 2023;64:169-172. doi: 10.1007/s13353-022-00739-3
2. Szczerbal I, Switonski M: Clinical cytogenetics of the dog: a review. Animals 2021;11:947. doi: 10.3390/ani11040947
3. Poth T, Breuer W, Walter B, et al: Disorders of sex development in the dog-adoption of a new nomenclature and reclassification of reported cases. Anim Reprod Sci 2010;121:197-207. doi: 10.1016/j.anireprosci.2010.04.011
4. Noto NT, Raudsepp T, Kolb E, et al: A rare finding of double Barr bodies and X-monosomy/X-trisomy mosaicism in a dog with presumed idiopathic epilepsy. Vet Clin Pathol 2023;52:583-587. doi: 10.1111/vcp.13261
5. Smith FW, Buoen LC, Weber AF, et al: X-chromosomal monosomy (77, XO) in a Doberman Pinscher with gonadal dysgenesis. J Vet Intern Med 1989;3:90-95. doi: 10.1111/j.1939-1676.1989.tb03085.x
6. Lofstedt RM, Buoen LC, Weber AF, et al: Prolonged proestrus in a bitch with X chromosomal monosomy (77, XO). J Am Vet Med Assoc 1992;200:1104-1106. doi: 10.2460/javma.1992.200.08.1104
7. Mayenco Aguirre AM, Padilla JA, Flores JM: Canine gonadal dysgenesis syndrome: a case of mosaicism (77,XO-78XX). Vet Rec 1999;145:582-584. doi: 10.1136/vr.145.20.582
8. Gravholt CH, Viuff MH, Brun S, et al: Turner syndrome: mechanisms and management. Nat Rev Endocrinol 2019;15:601-614. doi: 10.1038/s41574-019-0224-4
9. Johnston SD, Root Kustriz MV, Olson PNS: Vaginal cytology. In: Johnston SD, Root Kustriz MV, Olson PNS: editors. Canine and Feline Theriogenology. Philadelphia, PA; Saunders: 2001. p. 32-40.
10. Hare WC: Intersexuality in the dog. Can Vet J 1976;17:7-15. PMID: 769934.
11. Bosu WT, Chick BF, Basrur PK: Clinical, pathological and cytogenetic observations on two intersex dogs. Cornel Vet 1978;68:375-390.
12. Wright S, Lago-Alvarez, Y, Champion C, et al: Sexual development disorder in a dog. Clinical Theriogenology 2024;16:10439. doi: 10.58292/CTv16.10439
13. Hollinshead FK, Walker C, Hanlon DW: Determination of the normal reference interval for antimullerian hormone (AMH) in bitches and use of AMH as a potential predictor of litter size. Reprod Domest Anim 2017;15:35-40. doi: 10.1111/rda.12822
14. Prapaiwan N, Manee-in S, Thanawongnuwech, et al: Anti-Mullerian hormone levels in serum and testes of male dogs: relations with neuter status and bilateral abdominal cryptorchidism. Theriogenology 2023;208:171-177. doi: 10.1016/j.theriogenology.2023.06.015
15. Walter B, Flock U, Leykam C, et al: Serum anti-Mullerian hormone concentrations as a diagnostic tool to identify testicular tissue in canine disorders of sexual development. Domest Anim Endocrinol 2022;78:106654. doi: 10.1016/j.domaniend.2021.106654