Case Report

Abdominal ectopic pregnancy in a mixed-breed dog

Amelia Andersson,a Kasey Forton,a Tom Campbell,b Jeremy Shapero,b Jacob Shivley,b Brittany Baughmana

aDepartment of Pathobiology and Population Medicine, College of Veterinary Medicine, Mississippi State University, Starkville, MS, USA
bDepartment of Clinical Sciences, College of Veterinary Medicine, Mississippi State University, Starkville, MS, USA

Abstract

An intact, ~ 4-6 year female, mixed-breed dog was presented to an academic spay-and-neuter clinic for a routine ovariohysterectomy and transitioned to an abdominal exploratory after palpation of 2 intraabdominal, firm masses during surgical preparation. Intraoperatively, the masses appeared to arise from the small intestine with intimate association to the surrounding mesentery. Due to the level of communication between the masses and the small intestine, euthanasia and postmortem examination were elected. At postmortem evaluation, 3 highly vascularized and encapsulated masses were within the small intestinal mesentery; when excised, each contained a well-developed fetus and 2 were in the early stages of mummification. The largest fetus was free within moderate serosanguinous fluid, and had a thick vascular structure wrapped around the left forelimb. Histologically, this structure was composed of 2 vessels, consistent with an umbilical vein and artery. The fetal capsule contained moderate number of multinucleated basophilic cells, suspicious for placental trophoblasts. The uterus and ovaries had no gross lesions. Although limited in utility due to the postmortem and ex-vivo nature of image acquisition, computed tomography displayed appropriate late-pregnancy development of fetal skeletons and faint, mineral attenuating structures within the maxillary and mandibular alveoli consistent with developing dentition. Some changes consistent with fetal death were noted in the smallest fetal skeleton. The diagnosis was a full-term abdominal ectopic pregnancy. This case report describes a canine abdominal ectopic pregnancy diagnosed during postmortem examination, with additional characterization using advanced imaging and histopathology.

Keywords: Dogs, ectopic pregnancy, histopathology, imaging

 

Citation: Clinical Theriogenology 2025, 17, 11097, http://dx.doi.org/10.58292/CT.v17.11097

Copyright: © 2025 The Author(s). This is an Open Access article distributed under the terms of the Creative Commons Attribution-NonCommercial 4.0 International License (http://creativecommons.org/licenses/by-nc/4.0/), permitting all noncommercial use, distribution, and reproduction in any medium, provided the original work is properly cited.

Published: 03 March 2025

CONTACT: Amelia Andersson aia30@msstate.edu

Competing interests and funding: Authors have no conflict of interest to declare.

 

Introduction

The subject of reproduction is dynamic and although less is understood about pregnancy abnormalities in companion animals, knowledge from human medicine can be extrapolated and applied to veterinary cases to further our understanding. The normal pregnancy length in dogs is ~ 61 days.1 Fertilization of 1 or more ova occurs in the uterine tube and ~ 1 week later, the resultant zygote migrates through the uterine horn, with implantation as a blastocyte occurring ~ 2 weeks after fertilization.1 Approximately day 22, the embryo is developed and the fetal phase continues from ~ day 35 to parturition.1 Failure at any point in this process can result in a failed pregnancy. One such abnormality, termed ectopic pregnancy, occurs when pregnancy develops in an abnormal location, with the type of ectopic pregnancy based on the location of fetal development. Although this phenomenon is recognized in veterinary species, it is better described in human medicine where this pathology is more often diagnosed and studied.

In animals and humans, ectopic pregnancies are of 2 types, namely, tubal or abdominal.2-4 The former is described as fertilization and fetal development within the uterine tube and the latter is pregnancy in the abdominal cavity.2 Abdominal ectopic pregnancies are further subdivided into a primary form, where the fertilized oocyte adheres to the mesentery or viscera in the abdominal cavity, or a secondary form, when there is rupture somewhere along the reproductive tract, such as the uterine tube or uterus, after fetal implantation, with the fetus within the abdominal cavity.3,4

Various modalities exist to help diagnose pregnancy in small animals. Diagnostic imaging is particularly useful in estimating fetal development as mineralization of the fetal skeleton is apparent radiographically at or beyond 45 days of pregnancy.5 Radiographic alignment of the fetal skeleton can also be helpful in evaluating viability, as axial or appendicular skeletal malalignment or collapse of the fetal skull bones may suggest fetal death.5 Additionally, overlap or compression of fetal structures into smaller than normal dimensions is suggestive of mummification.5

In veterinary and human medicine, histopathology of the female reproductive tract and fetal structures in cases of ectopic pregnancies is another diagnostic modality contributing to the working knowledge of abnormalities during pregnancy. Albeit better reported in human literature, location of blastocoele-lining cells called trophoblasts is a key component in categorizing the type of ectopic pregnancy, as trophoblastic growth and neovascularization are microscopic components of primary abdominal pregnancies.6 Secondary abdominal pregnancies follow rupture of the uterus.2,4 Tubal abdominal pregnancies are the most common type of ectopic pregnancy in humans, given the female anatomy;6 however, this category is considered extremely rare, if not impossible, in companion animals, as the only reported cases in veterinary literature are in nonhuman primates.2

We describe an abdominal ectopic pregnancy in a shelter dog with an emphasis on postmortem diagnostics including advanced imaging, histopathology of the female reproductive tract and fetal tissue, and immunohistochemical staining of the fetal tissue.

Case presentation

An intact, ~ 4-6 year female mixed-breed dog was presented to the shelter medicine service for a routine ovariohysterectomy. During 4 months prior to presentation, the dog was cared for by another shelter. Dog gave birth to a litter of pups 5 months before first adoption. Dog’s reproductive cyclicity or breeding history was not known. As per staff, during the 4 months prior to surgery, the dog was timid but otherwise had a normal mentation, ate and drank normally, and maintained normal bodily functions. On arrival, spay/neuter clinic performed a cursory physical examination. Dog had a body condition score of 5/9 and weighed 22 kg. Temperature, pulse, and respiratory rates were within normal limits, and auscultation of the heart revealed normal heart sounds, rate, and rhythm. Palpation of the abdomen revealed 2, firm, mid- to cranial-abdominal masses. Due to financial limitations of the sheltering organization, preoperative bloodwork and imaging were not performed. The attending clinician, in conjunction with the sheltering organization, decided to proceed with ovariohysterectomy, in addition to an abdominal exploratory, to continue investigation of the abdominal masses.

Case management

After surgical preparations, ~ 15 cm skin incision was made on ventral midline extending 5 cm cranially to the umbilicus. The subcutaneous tissues were bluntly dissected using Metzenbaum scissors that facilitated entry into the body wall using a stab incision through linea alba and extension with Mayo scissors. Palpation of the internal organs revealed the masses to be unassociated with the retroperitoneum and instead were intimately associated with the intestinal tract. Intestines were gently moved for better visualization of the masses. In so doing, a third mass was identified and additionally, large portions of the jejunum and ileum were firmly adhered to the 3 masses. Based on the extent and severity of the adhesions, and particularly the degree of mesenteric vasculature adhesion, resection and anastomosis would be the most effective means to remove the masses, but at great cost to the length of the small intestinal tract. Uterus appeared grossly intact upon cursory evaluation.

Outcome

Surgical observations were relayed to the shelter coordinator and euthanasia was elected. Dog was euthanized intraoperatively using intravenous Euthasol with subsequent closure of the body wall and submitted for postmortem evaluation.

Postmortem findings

The body condition score was 4/9 (with 5/9 being ideal) and there was mild autolysis. A ventral midline incision (appropriately opposed) was noted consistent with the aforementioned abdominal surgery with no gross changes. A scant amount of yellow-tinged, clear mucoid material oozed from the vulva.

Within the thoracic cavity, the lungs were mottled pink to purple to dark red and were wet and heavy on palpation. On cut surface the lungs oozed a scant to moderate amount of serous fluid. A scant amount of white, stable foam was present at the tracheal bifurcation. Within the lumen of the right atrium and ventricle were ~ 10-15 long, slender, white adult nematodes morphologically consistent with Dirofilaria immitis.

Abdominal cavity contained ~ 75-100 ml of serosanguineous fluid. Liver was moderately enlarged with rounded margins and had an accentuated reticular pattern in addition to multifocal fluid-filled cysts ranging from 1-4 mm in diameter. Stomach contained a scant amount of yellow to white mucoid ingesta and there was a locally extensive area of reddened glandular mucosa. Within the mesentery, there were 3 large masses (Figure 1). The first, and largest mass (Figure 2) was red to brown, round, smoothly marginated, soft on palpation and measured ~ 12 x 10 x 8 cm. The second mass was red to brown, multilobulated, hard and measured ~ 11 x 6 x 5 cm. The third, and smallest mass was grossly similar to the medium-sized mass and measured ~ 10 x 7 x 5 cm. The largest mass had a thick, tan, fibrous capsule containing ~ 40-50 ml serosanguineous fluid and a fully developed, haired fetus with grossly normal external features. The fetus was not adhered to the inner capsular wall but appeared to have an umbilicus with an enlarged and congested umbilical artery and vein tightly wrapping around the left forelimb. Unfortunately, due to how friable the cord was, upon fetal manipulation, the umbilicus separated from the capsular wall. The second and third masses contained smaller fetuses intimately adhering to the capsular wall and were shrunken and appeared in the early mummification stages. No fetal capsules had any appreciable gross vasculature connecting the capsule to the mesentery; however, multiple jejunal arches were dilated and congested. On cut surface, the uterine lumen was empty. The uterine mucosa was mildly reddened and on palpation a slight depression between the left uterine horn and the uterine body was appreciable although no gross defects were present. The right uterine horn, ovaries, and uterine tubes were grossly normal. No connection between the reproductive tract and the fetal capsules were identified; remainder necropsy findings were within normal limits. Tissue from the uterine body was submitted for bacterial culture.

Figure 1.
Figure 1. Thoracic and abdominal contents (A), note 3 irregularly shaped multilobulated masses (arrows); gastrointestinal tract (B); and jejunal mesentery containing 3 fetal masses (C).

Figure 2.
Figure 2. Largest and most developed ectopic fetus (A) and is exposed (B); note thick vascular structure (arrow) is tightly wrapped around left forelimb; fetus after opened capsule (C); note fetus is covered by thin, friable, tan membrane (asterisk).

Bacteriology

Specimen type Culture type Results
Uterine stump Aerobic Mild growth of Klebsiella pneumoniae ssp. pneumoniae and Streptococcus bovis
Anaerobic Mild growth of Clostridium perfringens

Histopathology

Tissues collected during postmortem examination were fixed in 10% neutral buffered formalin for 24 hours, then sectioned and prepared for histologic evaluation following standard procedures utilizing hematoxylin and eosin stain.

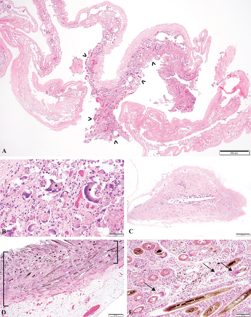
On histopathologic evaluation of the largest fetus, the capsule was composed of thick, mature dense fibrous connective tissue containing many haphazardly arranged, small-caliber vessels. The capsule was lined by simple squamous epithelial cells containing multifocal loose collagen attachments with scattered lymphocytes, plasma cells, and hemosiderophages, and had scattered hemorrhage. The thin membrane covering the fetus was multifocally hypercellular (Figure 3A). The luminal surface contained moderate numbers of variably sized, deeply basophilic multinucleated cells occasionally having intracytoplasmic tan material (Figure 3B). These multinucleated cells lined the luminal surface of multiple vessels and were suspected to be placental trophoblasts (Figure 3C). Evaluation of the vascular structure wrapped around the fetal forelimb (Figure 2B) was histologically hindered by severe autolysis but appeared to be composed of 2 tortuous luminal structures. One vascular structure had a thick smooth muscle wall and the other was lined by endothelium, and thus these structures were interpreted to be the umbilical artery and vein, respectively. In multiple longitudinal and cross sections of the uterine body, the endometrial interstitium was expanded by moderate fibrous connective tissue and clusters of lymphocytes, plasma cells, and hemosiderophages. Endometrial glands contained intraluminal eosinophilic material with cellular debris and chronic hemorrhage. Occasional clusters of amorphous basophilic material were also present at the luminal surface. No gross lesions were associated with the depression in the uterine body palpated during postmortem evaluation and there were no appreciable lesions consistent with a site of implantation or placentation.

Figure 3.
Figure 3. Light microscopic images of largest ectopic fetus stained with hematoxylin and eosin: (A) thick fetal capsule and multifocal hypercellular (caret) luminal surface with moderate numbers of variably shaped multinucleated cell (4 x); (B) multinucleated, deeply basophilic cells (asterisk) lining the luminal surface of the fetal capsule (40 x); (C) cross section of a vessel from the fetal membrane with intraluminal multinucleated cells (10 x); (D) locally extensive region of jejunal serosa (outlined in brackets) with numerous naked hair shafts situated within a collagenous stroma (4 x); and (E) hair shafts surrounded by low numbers of multinucleated cells (arrows [20 x]).

Immunohistochemical staining on tissue from the fetal capsule was performed to better characterize the cell origin of the multinucleated cells suspected to be trophoblasts. Majority of the multinucleated cells had intracytoplasmic immunoreactivity for histiocytic markers Iba-1 and CD18. Multinucleated cells were not immunoreactive for cytokeratin, an epithelial cell marker.

Within the serosa of the segment of jejunum intimately associated with the largest fetal capsule, was a small focus containing multiple naked hair shafts (Figure 3D) surrounded by multinucleated cells and fibroblasts (Figure 3E). Lamina propria was expanded by lymphocytes and plasma cells and contained dilated and congested vessels. Few crypts were expanded by scant cellular debris. One locally extensive focus contained large, prominent lymphoid follicles expanding and distorting overlying mucosa.

Other notable findings in other nonreproductive organs included neutrophilic and histiocytic bronchopneumonia with numerous intravascular and intraalveolar microfilaria, in addition to severe pulmonary edema and congestion. Pulmonary vessels were severely dilated and 1 focal, severely dilated artery was bisected by smooth muscle forming 2 vessels containing intravascular erythrocytes and degenerate neutrophils (neovascularization). Microfilaria were also present in multiple vessels, within the interstitium of the heart, and within multifocal renal glomeruli. The spleen had moderate lymphocytolysis and lymphoid depletion, possibly related to stress and chronic antigenic stimulation associated with heartworm disease.

Diagnostic imaging

Computed tomography (CT) was performed on the gastrointestinal tract after it was removed during postmortem evaluation. There were 3 fetal skeletons, each partially encircled by a thick, soft tissue to soft tissue-hyperattenuating capsule were noted amongst the small intestines (Figure 4). There was moderate amount of gas within the capsules and surrounding the fetuses (might have been entirely secondary to postmortem change and examination). Numerous small intestinal loops were closely associated and border effaced with the capsules, consistent with the adhesions noted during laparotomy. The 2 larger fetal skeletons displayed appropriate osseous development for a pregnancy of 42-45 days and all fetuses contained several, small, smoothly marginated, mineral attenuating structures within the maxillary and mandibular alveoli, consistent with developing dentition (Figure 5). The smallest fetal skeleton had mild cranial collapse with a step defect between the developing parietal bones and dorsoventral narrowing of the cranial cavity (Figure 6). This fetus also had an abnormal, mixed kyphotic and lordotic conformation of its vertebral column. These changes may suggest earlier fetal death than the other, larger fetuses or secondary to mummification. Additional information regarding blood supply to the fetuses and capsules could not be obtained due to the postmortem and ex-vivo acquisition of the images, in addition to the limitations in spatial resolution and contrast resolution in noncontract enhanced CT.

Figure 4.
Figure 4. Maximum intensity projection computed tomographic image (bone window) of the gastrointestinal tract and ectopic fetuses. The fetuses are surrounded by soft tissue to soft tissue-hyper attenuating (30-90 Hounsfield Unit) capsules and gas. Multiple loops of small intestine approximate and efface with these capsules.

Figure 5.
Figure 5. Maximum intensity projection computed tomographic image (bone window) of the largest fetal skeleton. Small, smoothly marginated, mineral attenuating structures are noted within the mandibular and maxillary alveoli (yellow arrows) consistent with developing teeth. The cranial structures and vertebral column (not entirely in plane) are normal.

Figure 6.
Figure 6. Transverse computed tomographic image (bone window) of the skull of the smallest fetus (left) and sagittal maximum intensity projection of the same fetus’s vertebral column (right). There is a small step defect between the developing parietal bones (yellow arrow) and dorso-ventral collapse of the cranium (yellow bracket). There is moderate lordosis of the lumbar spine and kyphosis of the thoracic spine (blue arrows). These changes coupled with its smaller size may indicate earlier demise of this fetus.

Discussion

There is limited information in veterinary literature outlining etiology and mechanism for canine ectopic pregnancies, with even fewer details characterizing prevalence, histopathology, and advanced imaging. There are no official criteria to classify ectopic pregnancies in animals; however, basic categories based on location of fetal implantation and mechanism of extrusion from the uterus have been developed for research and educational purposes. Despite differences in female reproductive anatomy between humans and domestic animals, the literature from both fields of medicine subcategorize ectopic pregnancies into 4 categories: cervical, ovarian, tubal, and abdominal or peritoneal,3,7 with the former 2 predominantly reported in human literature. In humans and veterinary species, tubal ectopic pregnancy refers to pregnancies in which the zygote adheres more cranially to the uterine body, usually in the uterine tube, thus hindering it from descending into the uterine body or implanting in the uterine horns, respectively.3,4,7 Abdominal ectopic pregnancies are significantly more uncommon in humans compared to domestic species and occur when the zygote implants outside of the reproductive tract, most commonly as a result of internal trauma, such as a uterine rupture, resulting in pregnancy occurring within the peritoneal cavity.7 Depending on the mechanism and location of implantation, abdominal pregnancies are further divided into primary and secondary abdominal ectopic pregnancies.

When implantation occurs within the mesentery or abdominal viscera by either a fertilized or unfertilized ovum (later fertilizes in the abdominal cavity), the pregnancy is categorized as a primary abdominal ectopic pregnancy. A true primary abdominal ectopic pregnancy is further characterized with histopathology by trophoblasts and neovascularization between the fetal capsule and supporting tissue structures.6 Secondary abdominal ectopic pregnancies occur after implantation when there is rupture of either the uterine tube or uterine body and expulsion of the fetus within the mesentery of peritoneal viscera of the abdomen.3

Various outcomes may occur depending on whether the fetal placenta is retained or detached, or if the conceptus is able to maintain a viable blood supply from the tissue in which it is implanted. Failure to maintain a viable vascular network for blood flow and fetal nutrient supply can result in mummification or fetal death. Studies on ectopic pregnancies in companion animals are limited, likely due to underdiagnosis. In many cases, especially in cases of adoptions, companion animals are obtained already spayed or if intact, have limited to no history regarding the animal’s reproductive history. This is especially important as a history of having had previous litters or a history of trauma increases the likelihood and suspicion for ectopic pregnancy. In the present case, prior to adoption, the dog was on the street with no history other than the information of having 1 previous litter. Due to this we speculate this case as a secondary abdominal ectopic pregnancy; however, there was no gross or histological evidence of a uterine horn or uterine body rupture.

Histopathology of the uterus had signs of chronicity, albeit minimal, based on lymphoplasmacytic inflammation, few hemosiderophages, and fibrosis throughout the endometrial interstitium. Although there was no evidence of rupture or trauma within the reproductive tract, previous trauma cannot be ruled out as the regions of fibrosis may indicate a site of past repair. Additionally, no infectious agents or neoplastic features were present histologically. Bacterial culture of the uterine stump was performed out of caution; however, given the degree of autolysis and low growth of mixed gram positive and negative bacteria, these findings were considered insignificant. A limitation is the largest, most well-developed fetus was the only fetal specimen examined histologically and neither the uterine tube nor the ovaries were evaluated histologically. To authors’ knowledge there are limited current literature reports detailing histopathology of ectopic pregnancies in dogs.

Dogs have a zonary and endotheliochorial type placentation and the normal histologic layers consist of the placental labyrinth, the junctional zone, and the glandular zone.8 The junctional zone is where trophoblasts reside and, early in pregnancy, they invade the maternal endothelium and endometrial glands.8 In human medicine, a histopathologic diagnosis of tubal ectopic pregnancy had villi, trophoblasts and embryos were within fallopian tubes.3 Abdominal ectopic pregnancies are difficult to diagnose as there has to be placentation and/or a mummified fetus with a ruptured uterine tube or uterus.2 This is especially difficult given the rapidly regenerative nature of the myometrium and the reason why rupture sites are not usually identifiable.2

In this case, villi were not appreciable; however, within the fetal membrane there were multifocal clusters of large, multinucleated, deeply basophilic cells.9 Differentials for multinucleated cells within fetal tissue included trophoblasts, with syncytiotrophoblasts favored over cytotrophoblasts given the large number of nuclei present within individual cells, versus a multinucleated histiocytic cell. Cytotrophoblasts are mononucleated giant cells whereas syncytiotrophoblasts are multinucleated giant cells; they serve as a connection between dam and fetus, based on their location within or around maternal vessels.8,10

Immunohistochemical (IHC) staining of the multinucleated cells in this case was largely immunoreactive for Iba-1 and CD18 and negative for cytokeratin. The IHC results identified the multinucleated cells to be of histiocytic rather than epithelial cell (i.e. trophoblast) origin, as initially suspected. However, the timeframe and degree of fetal development fits more closely with the cells being syncytiotrophoblasts. Other immunohistochemistry stains (positive identifiers of placental trophoblasts), CD31, CK7, CK8/18, and CKAE1/AE3 were not performed, thus these cells being true placental trophoblasts cannot be ruled out.10,11 Multinucleated histiocytes likely represent an inflammatory response to free fluid, keratin, or squamous epithelium, as similar histologic features were described in a case study involving a pregnant woman who underwent multiple intrauterine procedures during her third trimester, resulting in leakage of amniotic fluid.11 This is less likely in the current case since the degree of inflammation in the fetal tissue was minimal and there was no evidence of fluid leakage. The histiocytic infiltration in combination with the hair shaft granuloma was most likely a response to irritation from fetal hair, keratin, or amniotic fluid, thus, multinucleated cells can be speculated to be a secondary reaction to migration of fetal hair from the ectopic fetus.11 The former was more likely in this case as multifocal cells predominantly contained intracytoplasmic tan material, likely consistent with amniotic fluid, although this pigment can also be a feature of syncytiotrophoblasts.11 No apparent phagocytosis of keratin or squamous epithelial cells was appreciable in this case.

Trophoblasts may have an indirect role in vascular remodeling in the dam, as a study in mice reported evidence of vascular remodeling leading to spiral artery dilation.12 Although the source did not indicate remodeling as a direct result of trophoblast cell invasion into the uterus, the authors did not rule out an indirect association between trophoblasts and changes in the spiral arteries.12 This emphasizes the need to understand the role of vascular remodeling in association with the viability of small animal ectopic pregnancies, and the role of trophoblasts in the growth and development of an ectopic fetus. This dog had vascular remodeling of the pulmonary artery secondary to chronic heartworm disease but there was no evidence connecting these lesions to the ectopic pregnancy.

The normal CT features of canine fetuses are poorly described in literature. This is likely because CT incurs a higher dose of ionizing radiation than radiography and is generally contraindicated in pregnant dogs without cause to justify the risk to the developing fetuses.5 In pregnant human patients, CT is generally avoided when other modalities can be used to make a diagnosis and is considered inappropriate in the diagnosis of ectopic pregnancy.6 However, the dose of ionizing radiation for CT studies of the thorax and head are considered low risk to the developing fetus and guidelines for cross sectional imaging of pregnant people have been developed.2 Additionally, CT of human fetuses is used for diagnosis of certain conditions and has been documented to improve outcomes when indicated.1

Cross-sectional imaging in ectopic pregnancies have been described in humans; however, there is little published information on advanced imaging in canine ectopic pregnancy.6 A single case report of a presumed secondary abdominal ectopic pregnancy in a dog diagnosed via CT has been published.6 In this report, a heterogeneous rounded mass containing discontinuous, mineral attenuating structures and a discernable vertebral column was noted within the abdomen of an intact female Maltese dog. The mass was devoid of any connection or origin of any of the abdominal organs and was associated with the omentum and mesentery when surgically excised. Due to the more organized vertebral column, an abdominal ectopic pregnancy was diagnosed.6

In the current case, the ectopic fetuses were also closely associated with the mesentery, yet were far more organized and developed with respect to their skeletal structures. Additionally, only 2 had gross signs of mummification, with the largest being free within the capsule and surrounded by fluid. Small, developing teeth were noted on CT. When fetal teeth are observed radiographically in the pregnant dog, parturition can be expected within 8 days.5 However, with CT having superior contrast resolution and eliminating superimposition of structures compared to radiography, it is difficult to extrapolate the significance of observable, developing teeth; it may support the diagnosis of a full-term ectopic pregnancy in the current case. Additionally, a history of recent pregnancy with or without known trauma during pregnancy, may heighten the index of suspicion for ectopic pregnancy, especially when the mating history is unknown.4

In many human cases, patients diagnosed with abdominal ectopic pregnancies have a good prognosis as long as the mass or masses do not cause secondary complications such as torsion, altered peristalsis, or inflammation secondary to necrosis from fetal infection or fetal vascular occlusion.3 Complications are often accompanied by clinical signs such as anorexia, abdominal distention, diarrhea, or vomiting, although clinical presentations can vary depending on where the zygote implants and how much viscera is secondarily affected. As a result, surgical removal of the ectopic fetus(es) is considered the treatment of choice.

In this case, euthanasia was elected based on financial limitation and the extensive need for resection and anastomosis (might have resulted in prolonged time under anesthesia and postsurgical complications). Coinfection with Dirofilaria immitis in this dog might also have contributed to the decision to euthanize as higher worm burdens are cost- and time-intensive to treat and often associated with an overall compromised health status. Although clinical signs associated with heartworm infection were not reported in this dog, the number of microfilaria present histologically in the lung, heart, and kidneys would likely have resulted in further anesthetic and lifelong complications, such as cardiopulmonary or vascular compromise, if left untreated.

This case report characterized diagnostic findings associated with an ectopic pregnancy in a dog through the examination of advanced imaging, postmortem and histopathological evaluation with the goal to further understand this phenomenon and better develop management techniques when diagnosed. Taking into account the history and signalment, an abdominal ectopic pregnancy is a valid, albeit rare, differential diagnosis to consider in any intact female dog presenting with an abdominal mass.

Learning points

Acknowledgement

Authors thank the radiology, necropsy, histology, and microbiology laboratory technicians and support staff at Mississippi State University College of Veterinary Medicine for their contributions.

References

1. Pretzer SD: Canine embryonic and fetal development: a review. Theriogenology 2008;70:300-303. doi: 10.1016/j.theriogenology.2008.04.029
2. Corpa, JM: Ectopic pregnancy in animals and humans. Reproduction 2006;131:631-640. doi: 10.1530/rep.1.00606
3. Hayashi T, Sano K, Konishi I: Histopathological findings of ectopic pregnancy in contraceptive-wearing woman. J Clin Med Res 2023;15:384-389. doi: 10.14740/jocmr4924
4. Hughes K: Abdominal ectopic pregnancy and impaired postnatal mammary gland development, consistent with physiologic agalactia, in a wild European rabbit, Oryctolagus cuniculus. Front Vet Sci 2019;6:e254. doi: 10.3389/fvets.2019.00254
5. Kinns J, Nelson N: Uterus. In: Thrall DE: editor. Textbook of Veterinary Diagnostic Radiology. 7th edition, St. Louis, MO; Elsevier: 2018. p. 880-881.
6. Myung HW, Lee AJ, Kim JY, et al: Secondary abdominal pregnancy with foetal mummification diagnosed using computed tomography in a dog: a case report. Vet Med 2016;61:51-55. doi: 10.17221/8682-vetmed
7. Kopelman TR, Bogert JN, Walters JW, et al: Computed tomographic imaging interpretation improves fetal outcomes after maternal trauma. J Trauma Acute Care Surg 2016;81:1131-1135. doi: 10.1097/ta.0000000000001210
8. Sarli G, Castagnetti C, Bianco C, et al: Canine placenta histological findings and microvascular density: the histological basis of a negative neonatal outcome? Animals 2021;11:e1418. doi: 10.3390/ani11051418
9. Adamson SL, Lu Y, Whiteley KJ, et al: Interactions between trophoblast cells and the maternal and fetal circulation in the mouse placenta. Dev Biol 2002;250:358-373. doi: 10.1006/dbio.2002.0773
10. Mainenti M, Wettere AJ: Trophoblast emboli in the lung of a snowshoe hare (Lepus americanus). Vet Pathol 2022;59:353-357. doi: 10.1177/03009858211071011
11. Sheridan T, Askin FB, Ji H: Multinucleated foreign body giant cells in placental membrane. Pediatr Dev Pathol 2005;8:493-496. doi: 10.1007/s10024-005-0027-6
12. Chen CM, Fergus CV, Kaimal A, et al: Guidelines for computed tomography and magnetic resonance imaging use during pregnancy and lactation. Am J Obstet Gynecol 2008;112:333-340. doi: 10.1097/aog.0b013e318180a505