Case Report

Disorders of sexual development in small ruminants

Joaquin Paredes,a Luzasz Czochara,b,c Daniel Villagomez,b,c,d Allan Kingb,c

aDepartment of Population Medicine
bDepartment of Biomedical Sciences, Ontario Veterinary College, University of Guelph, Guelph, ON, Canada
cKaryotekk Inc, Guelph, ON, Canada
dDepartamento de Producción Animal, Universidad de Guadalajara, Zapopan, Mexico

Abstract

Intersex conditions, also known as disorders of sexual development (DSD), are uncommon in small ruminants. This report describes in detail, 2 cases of DSD in small ruminants, including clinical presentation, histopathological and cytogenetic analysis that led to the final diagnoses. Case 1, a mixed-breed ewe, was assessed due to a reported ram-like behavior at ~ 6 months of age. Physical examination revealed abnormal external genitalia with enlarged clitoris and bilateral inguinal gonads, histologically confirmed as testicular tissue. Karyotyping revealed sex chromosome blood chimerism (54XX, 54XY), implicating freemartinism as the cause of DSD. Case 2 was a 1-year Nigerian Dwarf cryptorchid male goat presented for castration. During surgery, bilateral ovoid gonads attached to a bicornuate uterus were identified. Histology revealed testicular tissue and uterus alongside vas deferens were consistent with persistent Müllerian duct syndrome. This report describes presentations, findings, and features of DSD, a rare occurrence in small ruminants.

Keywords: Intersex, small ruminant, gonadal differentiation, freemartinism, karyotyping

Citation line: Clinical Theriogenology 2024, 16, 10273, http://dx.doi.org/10.58292/CT.v16.10273

Copyright: © 2024 The Author(s). This is an Open Access article distributed under the terms of the Creative Commons Attribution-NonCommercial 4.0 International License (http://creativecommons.org/licenses/by-nc/4.0/), permitting all noncommercial use, distribution, and reproduction in any medium, provided the original work is properly cited.

Published: 23 January 2024

CONTACT Joaquin Paredes bparedes@uoguelph.ca

Competing interests and funding: None to declare.

 

Background

Intersex conditions are rare pathologies with severe impacts on reproductive function, often rendering affected animals infertile.13 These conditions originate due to abnormalities in the chromosomal, gonadal or phenotypic sex of affected individuals.4 Most disorders of sexual development (DSD) present challenging phenotypes, often prompting practitioners to consult theriogenologists regarding their cause and prognosis. Thus, knowing the ‘common features of uncommon conditions’ holds value for the accurate diagnostic workup in these clinical cases.

Freemartinism is the most common DSD reported in cattle and affects > 90% of females from a heterosexual twin pregnancy.5 Conversely, this condition is less common in sheep, where it affects ~ 1-5% of females from a male-bearing multiple pregnancy.6 However, freemartin ewes have a much wider range of phenotypes compared to cattle.7 In this context, we present a case of freemartinism in a sheep (Case 1) with extreme masculinization features. The presented case can assist readers to understand differences between sheep and cattle in the presentation of freemartins.3 In contrast to freemartinism, other DSDs such as persistent Müllerian duct syndrome (PMDS) are exceedingly rare in ruminants. Typical features of this condition have been mainly described in dogs,8 highlighting the relevance of a comparative approach for DSD diagnosis. Here we present a case of PMDS in a goat, with phenotypic, histologic, and cytogenetic features like those described in dogs.

Case 1: Intersex sheep

Case presentation

A 6-month, Rideau Arcott mixed-bred ewe, was evaluated ~ 2 months after purchase due to male-like behavior. External reproductive examination revealed small vulvar opening and enlarged clitoris (Figure 1, a). In the inguinal region, there were paired gonads near the abdominal wall, with the long axis of the gonad in horizontal position. No defined scrotal sac was detected (Figure 1, b). Gonads were symmetrical, ~ 5 cm in diameter and 9-10 cm long, with elastic consistency and freely movable in the inguinal region. Epididymis, spermatic cord, and testicular vascular cone were readily palpable. No other abnormalities were detected.

Fig. 1.
Figure 1. External genitalia of Case 1: a. abnormal vulva and enlarged clitoris; b. Inguinal bilateral gonads.

Outcome

Approximately 2 weeks after examination, a routine open castration was performed by the referring veterinarian. Inguinal gonads were removed; examination revealed tunica albuginea, epididymis, and testicular vascular cone. Excised tissues were fixed in 10% buffered formalin and submitted for histopathological examination. After surgery, blood and skin samples were submitted to our laboratory for cytogenetic analysis. Animal recovered uneventfully from surgery and no complications were reported by the owner in the following 2 weeks.

Histologic evaluation

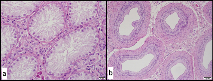
Excised tissues were processed, sectioned, routinely stained with hematoxylin and eosin (H&E) and evaluated under light microscopy. Gonadal parenchyma had hypoplastic seminiferous tubules, with Sertoli cells in the basal compartment and Leydig cells in the interstitial compartment with no spermatogonia (Figure 2, a). These findings supported testicular tissue but without evidence of spermatogenesis. Furthermore, there was no evidence of ovarian tissue. Epididymis tail was well-developed, with a pseudostratified ciliated columnar lining epithelium and a defined muscular layer but no sperm were visible in the lumen (Figure 2, b).

Fig. 2.
Figure 2. Histologic sections of gonadal tissue (H&E) from Case 1: a. seminiferous tubules without spermatogenesis (400 X magnification); b. epididymal tail had no extragonadal sperm reserves (100 X magnification).

Cytogenetic evaluation

Standard cytogenetic techniques were applied to obtain metaphase spreads from blood leukocytes and skin fibroblasts, as described.9 Karyotype composition and sex chromosome identification was performed either in Leishman and Giemsa stained or G-banded spreads (n = 50 cells) under light microscopy. Karyotyping results from blood leukocytes revealed 84% of cells with (2n = 54XX) karyotype (42/50 cells) and 16% of spreads with (2n = 54, XY) (8/50 cells), demonstrating the presence of blood chimerism (2n = 54XX/54XY) in this case (Figure 3, a-b). Karyotyping from skin fibroblast revealed a normal female karyotype (2n = 54XX) in all cells evaluated (50/50).

Fig. 3.
Figure 3. G-banding of leukocytes metaphase spreads from Case 1: a. 2n = 54XY; b. 2n = 54XX.

PCR results

Blood samples were collected in EDTA-coated blood collection tubes (BD – Canada, Oakville, ON, Canada) and DNA was extracted from blood leukocytes, as described.9 After incubation with red cell lysis buffer (140 mM ammonium chloride and 17 mM Tris pH 7.65), leukocytes were pelleted by centrifugation (10 minutes x 700 g), washed with 0.9% NaCl and resuspended in a solution containing 0.1 M Tris:40 mM EDTA. Cell lysis was performed in a lysis buffer (0.1 Tris, 40 mM EDTA, 0.5 mM NaCl, 0.2% SDS). Following tissue digestion and cell lysis, DNA was extracted using standard phenol-chloroform with phase separation technique.

Extracted DNA was used for polymerase chain reaction (PCR) for the sex determining region (SRY) gene, using primers designed for cattle, sheep, and goats, as described by our group (F: 5’-CCAATTAAGCCGGTCACAGT-3’ R: 5’-GCACAAGAAAGTCCAGGCTC-3’).9 The reaction yielded a 162 bp amplicon run through an electrophoresis gel; the PCR was positive for the SRY gene, confirming the presence of blood chimerism (54,XX/54,XY-SRY positive (Figure 8).

Case 2: Intersex goat

Case presentation

A 1-year, Nigerian Dwarf male cryptorchid goat was referred to the Ontario Veterinary College – Teaching Veterinary Hospital for castration. External examination of the genitalia revealed normal prepuce and penis, and small scrotum with no evidence of testis in either in scrotum or inguinal area, leading to a presumptive diagnosis of abdominal cryptorchidism. Animal’s head had 2 small horns (~ 1.5 - 2 cm long), ruling out polled intersex syndrome (PIS).

Outcome

Approximately 36 hours after admission, cryptorchidectomy was performed under general anesthesia. Surgery via inguinal approach revealed 2 round gonads ~ 2 cm in diameter in the inguinal canal, close to the internal inguinal ring. On exteriorization, well-developed smooth and bicornuate tubular tract attached to the gonads (Figure 4, a) was noticed. Gonads and tubular tract were surgically removed (Figure 4, b) and fixed in 10% formalin for histological examination. Blood (cytogenetic analysis) and samples were sent to our laboratory. Animal recovered uneventfully and was discharged from the hospital 3 days later.

Fig. 4.
Figure 4. Cryptochidectomy: a. gonad and attached bicornuate duct; b. excised ovoid gonads with extended bicornuate ducts.

Histologic evaluation

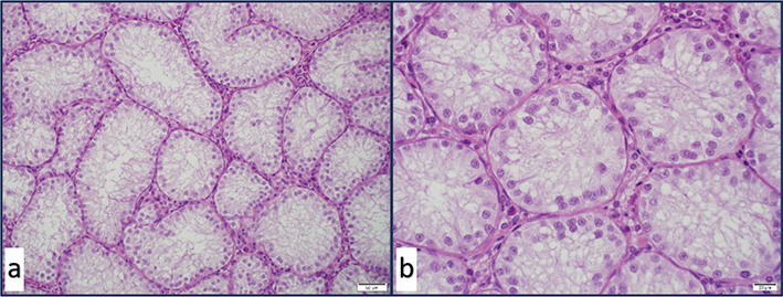
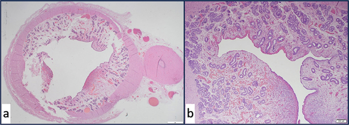
Histologic evaluation of the gonadal tissue revealed seminiferous tubules lined by Sertoli cells in the basal compartment and occasionally scattered spermatogonia. Findings were compatible with testicular tissue (Figure 5, a-b). However, there was no evidence of spermatogenesis nor ovarian tissue detected. The tubular bicornuate tissue had a well-develop endometrium, myometrium, and serosa, plus a vas deferens with a well-defined lumen, muscular and serosa layer (Figure 6, a-b). Based on these findings, a diagnosis of PMDS was made.

Fig. 5.
Figure 5. Histological examination of gonadal tissue (H&E) from Case 2: a. seminiferous tubules (200 x magnification); b. seminiferous tubules containing Sertoli cells and scattered spermatogonia without evidence of active spermatogenesis (400 x magnification).

Fig. 6.
Figure 6. Histologic section of the bicornuate ducts (H&E) from Case 2: a. uterus alongside a muscular vas deferens (right side of the image) (25 x magnification); b. endometrial tissue of the same specimen (200 x magnification).

Cytogenetic evaluation

G-banded karyotype from Case 2 revealed a normal male goat karyotype (2n = 60, XY) in all cells evaluated (n = 50 cells) (Figure 7).

Fig. 7.
Figure 7. G-banding of leukocytes metaphase spreads from Case 2 (2n = 60, XY).

PCR results

Case 2 PCR was positive for the SRY gene (Figure 8) and thus confirmed a normal male karyotype (2n = 60XY – SRY positive).

Fig. 8.
Figure 8. PCR results for SRY gene: lane 1. ladder (100 bp); lane 2. H2O control; lane 3. female control (bovine, blood); lane 4. male control (bovine, blood); lane C1. Case 1; lane C2. Case 2.

Discussion

Freemartinism has been reported far less frequently in sheep than in cattle. Case 1 was an ewe with extreme masculinization features including ambiguous genitalia and inguinal testes, whereas the blood chimerism (XX, XY) is a hallmark for freemartinism in all domesticated ruminant species. In our case, cell chimerism (2n = 54XX, 54XY) was only present in blood leukocytes but not in skin fibroblasts (2n = 54XX), leading to the final diagnosis of freemartinism. Despite no confirmation that the animal was born from a male-bearing twin or multiple pregnancy, all clinical, histologic and cytogenetic analyses were consistent with previous reports of freemartinism in sheep.10

In cattle, freemartinism affects > 90% of heifers born from a heterosexual twin pregnancy3 whereas in sheep, the incidence is as low as 1-5% in male-bearing multiple pregnancies.6,10 The more common development of vascular placental anastomosis between fetuses is responsible for the high incidence of freemartin in cattle11 but this phenomenon is less frequent in small ruminants.2,3 It has been suggested that in highly prolific sheep breeds, male-bearing pregnancies with 4 or 5 lambs might present an increased risk for freemartinism, potentially due to increased placental contact between fetuses.10 The presented case (Case 1) involved a mixed-Rideau Arcott sheep, a breed with an average of 2.6 lambs per birth.12 However, as information on the litter was not available, it is not known whether this factor had a role in this case. Some reports have suggested that certain rams have higher incidence of freemartin lambs than others.9 However, no information regarding the sire and half-siblings was available; therefore, it was not possible to determine what other predisposing factor might have had a role in the presented case.

Descended testes is a phenotypic feature rarely reported in freemartin cattle.13 Approximately 31% of freemartin sheep have descended testes-like gonads with epididymis and testicular vascular cone,10 and constitute the most extreme forms of masculinization of this condition. Perhaps the notable testicular gonadal differentiation observed in freemartin sheep was linked to development of placental vascular anastomosis between fetuses at an earlier stage.

DSD such as PMDS are exceedingly rare in ruminants. The presented case (Case 2) was a goat, and the main features included cryptorchidism, uterine development, and normal male goat karyotype (2n = 60XY). Interestingly, similar features have been described in other species (e.g. dogs) with PMDS. Affected individuals are XY, with male-like behavior, a well-developed penis and prepuce, bilateral cryptorchids and a concomitant development of the oviducts, uterine tubes, cervix and vagina connected to the prostate.14 In this species, ~ 50% of affected individuals have cryptorchidism,14 and it is common for these cryptorchid dogs to develop testicular neoplasms later in life. Consequently, the condition may remain unnoticed until signs of testicular tumors and estrogen exposure are present.8,15 Apart from testicular tumors, further complications of PMDS include hydrometra,16 pyometra,17 and uterine leiomyoma18 in dogs. This condition has been primarily described in Miniature Schnauzers and has a known genetic component.19 A mutation in the antiMüllerian hormone receptor 2 (AMHR2) is responsible for this condition and has an autosomal recessive mode of inheritance.19,20 There are few reports of this condition in ruminants and affected individuals present with male phenotype and bilateral cryptorchidism.21 The genetic basis and mode of inheritance has not been yet defined for goats and there is no known breed predisposition. Cryptorchidism, testicular tissue, and vas deferens along well-developed uterus are characteristic features of PMDS in goats21 and dogs.19

Other potential DSD in goats include the well-known PIS, considered a recessive inherited sex-reversal syndrome linked to the homozygous polledness trait. Affected animals have normal female karyotype (60, XX) with variable degrees of masculinization including external male genitalia and testicular gonadal development. This condition arises in homozygous females with a mutation in the FOXL2 gene that is responsible for the polledness trait and also responsible for ovarian development.22,23 In Case 2, the presence of small horns and XY karyotype ruled out PIS.

These cases demonstrated that DSD can have a wide range of phenotypes (e.g. freemartinism in small ruminants), whereas in contrast, other conditions such as PMDS may have typical features across species. Understanding the range of clinical presentations and key features of various DSDs is not only relevant for diagnostic workup, but also essential for understanding mechanisms driving reproductive development in mammals.

Learning points

Acknowledgement

Authors thank Dr Jeff Rau and Dr Camila Cantarelli for clinical management of these cases and Elizabeth St John for PCR preparations.

References

1. Christensen BW: Disorders of sexual development in dogs and cats. Vet Clin North Am Small Anim Pract 2012;42:515–526. doi: 10.1016/j.cvsm.2012.01.008
2. Albarella S, D’anza E, Galdiero G, et al: Cytogenetic analyses in ewes with congenital abnormalities of the genital apparatus. Animals 2019;9:1–10. doi: 10.3390/ani9100776
3. Peretti V, Ciotola F, Albarella S, et al: XX/XY chimerism in cattle: clinical and cytogenetic studies. Sex Dev 2008;2:24–30. doi: 10.1159/000117716
4. Villagómez DAF, Parma P, Radi O, et al: Classical and molecular cytogenetics of disorders of sex development in domestic animals. Cytogenet Genome Res 2009;126:110–131. doi: 10.1159/000245911
5. Eldridge FE, Blazak WF: Chromosomal analysis of fertile female heterosexual twins in cattle. J Dairy Sci 1977;60:458–463. doi: 10.3168/jds.S0022-0302(77)83888-5
6. Dain A: The incidence of freemartinism in sheep. J Reprod Fertil 1971;24:91–97. doi: 10.1530/jrf.0.0240091
7. Parkinson TJ, Smith KC, Long SE, et al: Inter-relationships among gonadotrophins, reproductive steroids and inhibin in freemartin ewes. Reproduction 2001;122:397–409. doi: 10.1530/rep.0.1220397
8. Vegter AR, Kooistra HS, Sluijs FJ van, et al: Persistent mullerian duct syndrome in a Miniature Schnauzer dog with signs of feminization and a sertoli cell tumour. Reprod Domest Anim 2010;45:447–452. doi: 10.1111/j.1439-0531.2008.01223.x
9. Brace MD, Peters O, Menzies P, et al: Sex chromosome chimerism and the freemartin syndrome in Rideau Arcott sheep. Cytogenet Genome Res 2008;120:132–139. doi: 10.1159/000118752
10. Smith KC, Parkinson TJ, Pearson GR, et al: Morphological, his tological and histochemical studies of the gonads of ovine freemartins. Vet Rec 2003;152:199–201. doi: 10.1136/vr.152.7.199
11. Kozubska-Sobocinska A, Smołucha G, Danielak-Czech B: Early diagnostics of freemartinism in polish holstein-friesian female calves. Animals 2019;9:1–11. doi: 10.3390/ani9110971
12. Shrestha JNB, Heaney DP, Parker RJ: Productivity of three synthetic Arcott sheep breeds and their crosses in terms of 8-mo breeding cycle and artificially reared lambs. Small Rumin Res 1992;9:283–296. doi: 10.1016/0921-4488(92)90157-Y
13. Esteves A, Båge R, Payan-Carreira R: Freemartinism in cattle. In: Mendes RE: editor. Ruminants: Anatomy, Behavior and Diseases. 1st edition, New York: Nova Biomedical; 2012:99–120.
14. Meyers-Wallen VN: Inherited disorders in sexual development. J Hered 1999;90:93–95. doi: 10.1093/jhered/90.1.93
15. Park EJ, Lee SH, Jo YK, et al: Coincidence of Persistent Müllerian duct syndrome and testicular tumors in dogs. BMC Vet Res 2017;13:4–9. doi: 10.1186/s12917-017-1068-6
16. Matsuu A, Hashizume T, Kanda T, et al: A case of persistent Müllerian duct syndrome with Sertoli cell tumor and hydrometra in a dog. J Vet Med Sci 2009;71:379–381. doi: 10.1292/jvms.71.379
17. Menezes Paz G De, Das N, Dorneles Coelho G, et al: Piometra associada a criptorquidismo em cão pseudo-hermafrodita masculino com síndrome da persistência dos ductos de Müller Pyometra associated to cryptorchidism in a male pseudohermaphrodite dog with persistent Müllerian duct syndrome. Rev Bras Reprod Anim 2018;4:727–731.
18. Dzimira S, Wydooghe E, Soom A Van, et al: Sertoli cell tumour and uterine leiomyoma in Miniature Schnauzer dogs with persistent Müllerian duct syndrome caused by mutation in the AMHR2 gene. J Comp Pathol 2018;161:20–24. doi: 10.1016/j.jcpa.2018.04.004
19. Pujar S, Meyers-Wallen VN: A molecular diagnostic test for persistent müllerian duct syndrome in miniature schnauzer dogs. Sex Dev 2009;3:326–328. doi: 10.1159/000273264
20. Smit MM, Ekenstedt KJ, Minor KM, et al: Prevalence of the AMHR2 mutation in Miniature Schnauzers and genetic investigation of a Belgian Malinois with persistent Müllerian duct syndrome. Reprod Domest Anim 2018;53:371–376. doi: 10.1111/rda.13116
21. Haibel GK, Rojko JL: Persistent müllerian duct syndrome in a goat. Vet Pathol 1990;27:135–137. doi: 10.1177/030098589002700214
22. Boulanger L, Pannetier M, Gall L, et al: FOXL2 is a female sex-determining gene in the goat. Curr Biol 2014;24:404–408. doi: 10.1016/j.cub.2013.12.039
23. Simon R, Lischer HEL, Pieńkowska-Schelling A, et al: New genomic features of the polled intersex syndrome variant in goats unraveled by long-read whole-genome sequencing. Anim Genet 2020;51:439–448. doi: 10.1111/age.12918